Pátrání po příčině srdečního selhání by nemělo vést k odkládání léčby

Komentář ke kazuistice aneb jak se promítly výsledky klinických studií do léčby srdečního selhání

Zapněte si prosím zvuk a klikněte na tlačítko „play“.

euni
08 Dub 2025
3 mins 22 secs
Kazuistiky z III. Cyklu - Nechme srdce bít_5_kazuistika_podcast_Dr_Hlubocka AUDIO

Medailonek autorky

MUDr. Zuzana Hlubocká, Ph.D.
II. interní klinika – klinika kardiologie a angiologie 1. LF UK a VFN v Praze

Pracuji na II. interní klinice – klinice kardiologie a angiologie 1. LF UK a VFN v Praze. Mám atestaci z vnitřního lékařství a kardiologie. Jsem vedoucím lékařem Ambulance chlopenních vad, pracuji na lůžkových odděleních kliniky i v soukromé kardiologické ambulanci mimo nemocnici. Zajímám se zejména o péči o nemocné s chlopenními vadami, echokardiografii a další zobrazovací metody v kardiologii a strukturální srdeční intervence.

70letá nemocná byla odeslána k ambulantnímu kardiologickému vyšetření pro progredující námahovou dušnost a bolesti na hrudi. Pacientka je dlouhodobě léčena pro arteriální hypertenzi a hyperlipidémii, před 7 lety prodělala žilní trombózu. Před 6 lety byl nemocné diagnostikován karcinom prsu, podstoupila kvadrantektomii a exenteraci axily s následnou chemoterapií antracykliny a radioterapií. Nádorové onemocnění je od dokončení léčby v remisi. Echokardiografické vyšetření, provedené 6 měsíců po ukončení léčby karcinomu prsu, bylo bez dysfunkce levé komory (LK), EF 56 %, bez jiné závažné patologie.

V posledních 3 měsících nemocná pozoruje zhoršování dechu, zpočátku při chůzi do kopce, v posledních 3 týdnech musí odpočívat i při pomalé chůzi a běžných denních činnostech a měla i několik epizod noční klidové dušnosti. Pro otoky dolních končetin zahájil její praktický lékař diuretickou léčbu furosemidem 40 mg denně, která zlepšila otoky a mírně i dušnost. Na cílený dotaz udává pacientka také bolesti na hrudi charakteru tlaku za dolním sternem, které se objevují v klidu i při námaze, asi jednou týdně, trvají minuty i hodiny. Současná medikace zahrnuje dále ramipril 5 mg/d, atorvastatin 20 mg/d, kalium chloratum 500 mg/d a diosmin 450 mg + flavonoid 50 mg dvakrát denně.

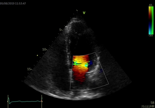
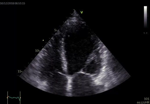
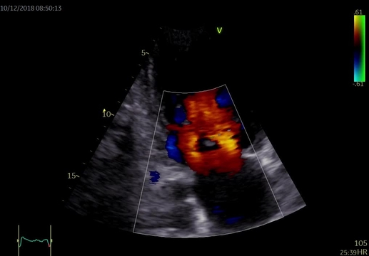
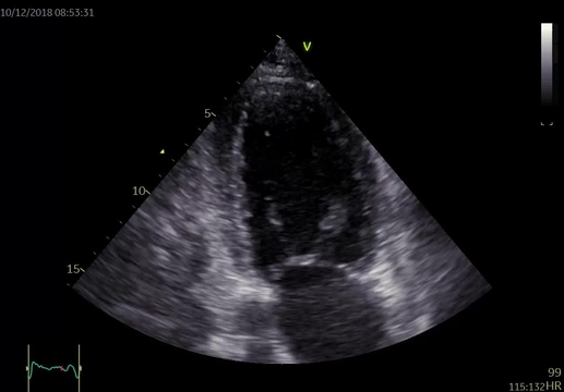
Při fyzikálním vyšetření měla nemocná TK 115/70 mm Hg, pravidelný puls 100/min, poslechově na plicích inspirační chrůpky při bázích a systolický šelest v prekordiu s maximem na hrotu, bez jasné propagace, intenzity 3/6. Dolní končetiny jsou se symetrickými perimaleolárními otoky, klidné varixy. Na EKG byla přítomna sinusová tachykardie 105/min, EKG kritéria hypertrofie levé komory s mírnými repolarizačními změnami, bez signifikantní ST denivelizace a abnormalita levé síně (obrázek 1). Echokardiografie prokázala dilataci a excentrickou hypertrofii levé komory (LVEDD 63 mm, LVMI 102 g/ m2, relativní tloušťka stěn 0,35), difúzní hypokinezi stěn výraznější v oblasti septa a těžkou systolickou dysfunkci levé komory s EF 24 %. Diastolická funkce měla charakter pseudonormalizace se zvýšenými plnicími tlaky levé komory (E/e'průměr 13). Dále byla zjištěna středně významná sekundární mitrální regurgitace 2–3+ při dilataci anulu a restrikci cípů v důsledku remodelace levé komory a sekundární trikuspidální regurgitace 2–3+ při dilataci anulu (video 1 a 2). Levá síň byla dilatována s indexovaným objemem 48 ml/m2 a zvýšena byla tenze v plicnici s odhadem PASP 49 mm Hg. Laboratorně prokázána elevace NT-proBNP 4 170 ng/l, mírná hypokalémie 3,6 mmol/l, kreatinin 112 μmol/l s mírně sníženou glomerulární filtrací 70 ml/min/1,73 m2 dle MDRD.

Ambulantní vyšetření jsme uzavírali jako nově diagnostikované srdeční selhání se sníženou EF, symptomatickou dušností NYHA III–IV a otoky DK. Jako možná etiologie srdečního selhání byla zvažována ICHS (atypické bolesti na hrudi) a dilatační kardiomyopatie (DKMP) – při pozdní kardiotoxicitě (léčba antracykliny v minulosti), zánětlivá, popř. idiopatická DKMP.

Image
image

Obr. 1. EKG – sinusová tachykardie, LAH, EKG kritéria hypertrofie LK, nespecifické repolarizační změny, abnormalita levé síně

 

Kazuistiky z III. Cyklu - Nechme srdce bít_5_kazuistika_Video_1A_Dr_Hlubocka VIDEO
Kazuistiky z III. Cyklu - Nechme srdce bít_5_kazuistika_Video_1B_Dr_Hlubocka VIDEO

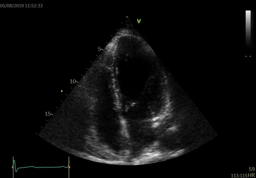
Video 1. Echokardiografické vyšetření, apikální čtyřdutinová projekce (1A) a dvoudutinová projekce (1B) – dilatace a významná systolická dysfunkce levé komory s EF 24 %

 

Kazuistiky z III. Cyklu - Nechme srdce bít_5_kazuistika_Video_2_Dr_Hlubocka VIDEO

Video 2. Echokardiografické vyšetření – středně významná sekundární mitrální regurgitace 2–3+

 

Jaký postup diagnostiky a léčby byste nyní doporučili?

Vyberte správnou odpověď:

Navýšil/a bych diuretickou léčbu (navýšení furosemidu, přidání spironolaktonu), do terapie přidal/a beta-blokátor a indikoval/a nemocnou k implantaci CRT-D (resynchronizační terapie s defibrilátorem).

Nesprávná odpověď.

Zahájil/a bych titraci léků srdečního selhání (výměnou ramiprilu za sacubitril/valsartan, přidáním beta-blokátoru, spironolaktonu a inhibitoru SGLT2) a objednal/a koronarografii, popř. MRI srdce.

Správná odpověď.

Vysvětlení:
Optimální je možnost číslo 2. Vždy je nutné pátrat po etiologii srdečního selhání, to by ale nemělo vést k odkládání léčby. Okamžitě jsme zahájili léčbu základními léky srdečního selhání – do terapie jsme přidali beta-blokátor (bisoprolol 2,5 mg/den), spironolakton 25 mg/d. Po 36hodinovém vysazení ramiprilu jsme podali sacubitril/valsartan v dávce 24/26 mg/den. Při dobré toleranci léčby jsme po 2 týdnech přidali inhibitor SGLT2 (dapagliflozin 10 mg/den). Léčbu jsme postupně navyšovali do cílových nebo maximálně tolerovaných dávek za pravidelné kontroly krevního tlaku, tepové frekvence a základní laboratoře, zejména kreatitinu a kalémie. Pacientku jsme objednali ke koronarografii.

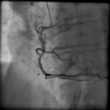
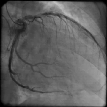
Koronarografické vyšetření provedené cestou stacionáře prokázalo hemodynamicky nevýznamné stenózy koronárních tepen – 30% stenózu RIA II a 50% stenózu odstupu RD1 (video 3). Pro nález koronární aterosklerózy byla do terapie přidána kyselina acetylsalicylová 100 mg/d.

Kazuistiky z III. Cyklu - Nechme srdce bít_5_kazuistika_Video_3A_Dr_Hlubocka VIDEO
Kazuistiky z III. Cyklu - Nechme srdce bít_5_kazuistika_Video_3B_Dr_Hlubocka VIDEO

Video 3. Selektivní koronarografie. 3A – zobrazení levé koronární tepny, 3B – zobrazení pravé koronární tepny. Nález bez hemodynamicky významných stenóz

 

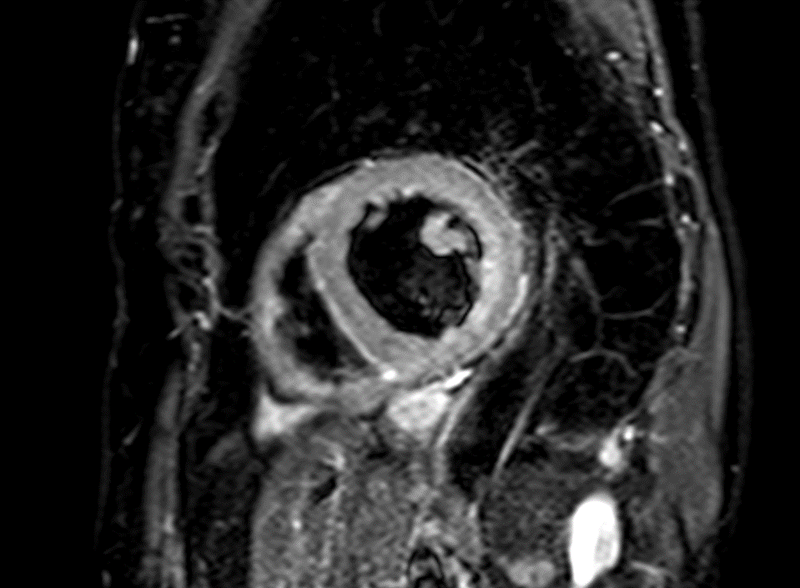
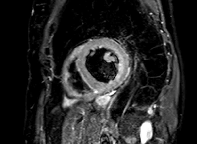
Při ambulantní kontrole po 8 týdnech byla nemocná léčena bisoprololem 5 mg/d, spironolaktonem 25 mg/d, sacubitrilem/valsartanem 93/103 mg/d, furosemidem 20 mg/obden, ASA 100 mg/d a atorvastatinem 40 mg/d. Klinicky udává mírné zlepšení dušnosti, t. č. NYHA II–III, vymizení otoků dolních končetin, je bez bolestí na hrudi. Laboratorní nálezy jsou příznivé, kreatinin 114 μmol/l, normální kalémie, Hgb 128 g/l. Holterovská EKG monitorace nezjistila významné supraventrikulární či komorové arytmie, po dobu monitorace trvá sinusový rytmus s průměrnou frekvencí 62/min. Kontrolní echokardiografické vyšetření ukazuje nadále významnou systolickou dysfunkci mírně zvětšené LK s EF 33 %, mitrální a trikuspidální regurgitaci 2+, hraniční tenzi v plicnici. Vzhledem k trvající významné dysfunkci LK je zvažována implantace ICD, pokud nedojde do 3 měsíců ke zlepšení funkce LK. K vyloučení zánětlivé či jiné kardiomyopatie, posouzení strukturálních změn myokardu levé komory a přesné kvantifikaci systolické funkce LK bylo objednáno vyšetření srdce magnetickou rezonancí (MRI)

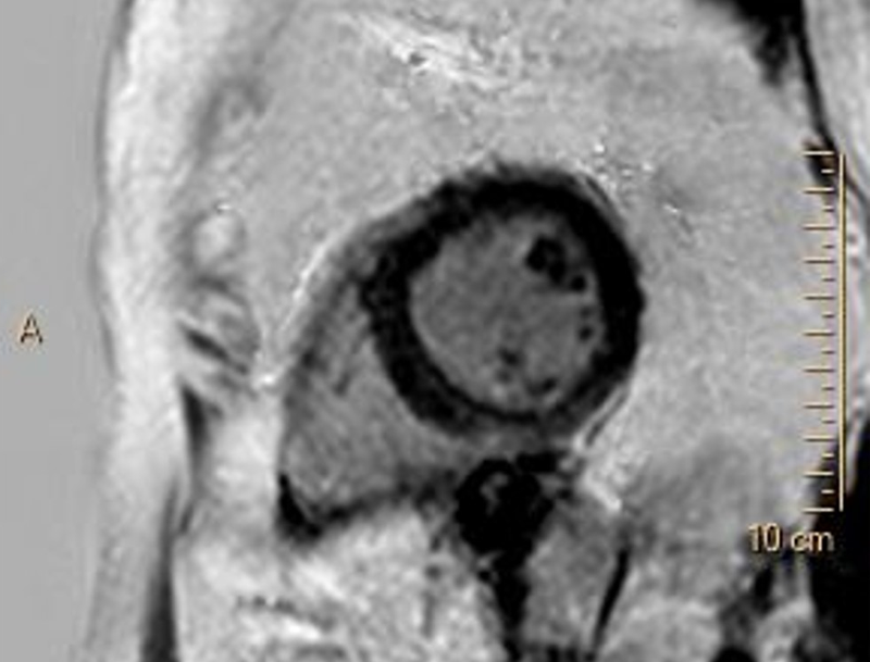
Vyšetření MRI srdce je bez známek edému myokardu a pozdního gadoliniového sycení (LGE) – nezjistilo tedy přítomnost zánětu, nekrózy, nahrazující fibrózy či infiltrace myokardu. Levá komora hodnocena při MRI jako mírně dilatovaná s EF 39 % (obrázek 2, video 4). Laboratorní vyšetření CK, LDH a železa, provedené k vyloučení dalších možných etiologií DKMP, bylo bez významné patologie, hodnota NT-pro BNP poklesla na 1 120 ng/ml.

Image
image
Image
image

Obr. 2. MRI srdce. 2A – nepřítomnost edému myokardu v T2 STIR TSE sekvenci v krátké ose, 2B – IR TFE sekvence v krátké ose – bez detekce pozdního sycení myokardu (LGE)

 

Kazuistiky z III. Cyklu - Nechme srdce bít_5_kazuistika_Video_4_Dr_Hlubocka VIDEO

Video 4. MRI srdce, B-TFE sekvence v dlouhé ose – mírná dilatace a difúzní hypokineze stěn LK s EF 39 %

 

Na základě provedených vyšetření se domníváme, že etiologií srdečního selhání je u nemocné nejspíše dilatační kardiomyopatie na podkladě kardiotoxického postižení myokardu protinádorovou léčbou antracykliny – pozdní kardiotoxicita. Vzhledem ke zlepšující se systolické funkci LK s EF 39 % dle MRI jsme ustoupily od přístrojové léčby – implantace ICD.

Pacientka byla dále pravidelně sledována, s postupným zlepšováním klinického stavu i echokardiografického nálezu. Po 12 měsících léčby je nemocná ve funkční třídě NYHA I–II, bez známek městnání i po vysazení furosemidu. Echokardiograficky došlo k normalizaci velikosti i systolické funkce LK (LVEDD 52 mm, EF 55 %), přítomna je lehká diastolická dysfunkce s normálními plnicími tlaky levé komory a pouze lehká mitrální a trikuspidální regurgitace a hraniční velikost levé síně (video 5). Laboratorně jsou hodnoty iontogramu a kreatininu v normě, došlo k výraznému poklesu NT-proBNP na 290 ng/l.

Kazuistiky z III. Cyklu - Nechme srdce bít_5_kazuistika_Video_5A_Dr_Hlubocka VIDEO
Kazuistiky z III. Cyklu - Nechme srdce bít_5_kazuistika_Video_5B_Dr_Hlubocka VIDEO

Video 5. Echokardiografické vyšetření po 12 měsících. 5A – reverzní remodelace LK s normální velikostí a systolickou funkcí, EF 57 %, 5B – lehká mitrální regurgitace

 


Shrnutí

Srdeční selhání se sníženou systolickou funkcí je závažné onemocnění, jehož výskyt v populaci stále stoupá. Základem terapie je v současnosti farmakologická léčba – zlepšuje symptomy, snižuje hospitalizace pro srdeční selhání a příznivě ovlivňuje prognózu pacientů. Podle doporučení Evropské kardiologické společnosti (ESC) z roku 2021 jsou základem medikamentózní léčby 4 lékové skupiny – beta-blokátory, inhibitory receptorů pro angiotensin a neprilysin (ARNI), inhibitory aldosteronu a inhibitory sodíko-glukózového kotransportéru (inhibitory SGLT2). Všechny uvedené léky prokázaly v randomizovaných studiích významné snížení celkové a kardiovaskulární mortality a hospitalizací pro srdeční selhání.

V naší kazuistice jsme u nemocné s nově zjištěným srdečním selháním se sníženou EF na podkladě kardiotoxické léčby pozorovali poměrně rychlé klinické zlepšení stavu a výraznou reverzní remodelaci srdce při časně zavedené optimální farmakologické léčbě. Došlo ke zmenšení rozměrů levé komory, zlepšení EF, ústupu sekundární mitrální regurgitace a zlepšení diastolické funkce s normalizací plnicích tlaků levé komory. Randomizované klinické studie (PIONEER-HF a TRANSITION) prokázaly profit z časného zahájení léčby sacubitrilem/valsartanem u nově vzniklého srdečního selhání a příznivý efekt léčby na reverzní remodelaci (studie PROVE-IT).

Velmi důležitou součástí péče o nemocné s nově diagnostikovaným srdečním selháním se sníženou EF je zjištění etiologie onemocnění, aby byla možná specifická léčba. Provedení koronární revaskularizace u ICHS, léčba arytmií u kardiomyopatie indukované tachykardií, specifická léčba některých kardiomyopatií nebo přerušení kardiotoxické léčby mohou zásadním způsobem ovlivnit průběh onemocnění.

U pacientů s přetrvávajícími symptomy, dysfunkcí levé komory s EF < 35 % nebo s významnou sekundární mitrální a trikuspidální regurgitací má důležité místo nefarmakologická léčba srdečního selhání. Zahrnuje implantaci kardioverteru-defibrilátoru, resynchronizační léčbu srdečního selhání (CRT), operaci či katetrizační plastiku cípů při významné mitrální a trikuspidální regurgitaci, popř. i zvážení transplantace či mechanické podpory oběhu.

Nejprve je nutné zjistit etiologii srdečního selhání – provést koronarografii, popř. MRI srdce, abychom mohli zvolit adekvátní léčbu.

Nesprávná odpověď.

 Znalosti zde získané můžete zúročit získáním 2 kreditů ČLK do systému celoživotního vzdělávání po správném zodpovězení alespoň 16 otázek z 20 zde: EUNI.cz/Kazuistiky z kardiologie ‑ Nechme srdce bít III

Reference

.

Nechme srdce bít III ‑ Kazuistiky v kardiologii

Zveme Vás k prostudování třetí série akreditovaných edukačních kazuistik zaměřených na problematiku léčby chronického srdečního selhání. Případy zahrnují praktické návody, ukázky EKG a echokardiografie, a přibližují diagnostiku a léčbu srdečního selhání v klinické praxi.

entresto
Kardiologie
Entresto™ - sacubitril/valsartan
Image
HTML

Zkrácená informace o přípravku ENTRESTO™

Web Link

Jak nás můžete kontaktovat

V případě odborných dotazů, hlášení nežádoucích účinků nebo stížností se obraťte, prosím, na společnost Novartis.