Čtyři pilíře léčby srdečního selhání a jak jich dosáhnout

Krátký podcast shrnuje, pro co máme jasná data a jaký je benefit pro pacienty: O co se v léčbě srdečního selhání primárně snažit

Zapněte si prosím zvuk a klikněte na tlačítko „play“ 

euni
07 Dub 2025
41 secs
Kazuistiky z III. Cyklu - Nechme srdce bít_4_kazuistika_1_podcast_dr. Fikrle AUDIO

Druhá část podcastu: Na co v terapii srdečního selhání dále dbát

Zapněte si prosím zvuk a klikněte na tlačítko „play“ 

euni
07 Dub 2025
1 mins 31 secs
Kazuistiky z III. Cyklu - Nechme srdce bít_4_kazuistika_2_podcast_dr. Fikrle AUDIO

Medailonek autora

MUDr. Michal Fikrle, Ph.D.
Kardiologické oddělení Nemocnice Jihlava

Narozen 7. 3. 1985, po absolvování 1. lékařské fakulty UK v Praze v roce 2011 pracoval 3 roky na II. interní klinice – klinice kardiologie a angiologie Všeobecné fakultní nemocnice v Praze pod vedením prof. Linharta. Od roku 2014 působí na Kardiologickém oddělení Nemocnice Jihlava. V roce 2017 získal atestaci z oboru kardiologie. Vede ambulanci srdečního selhání v Jihlavě. V roce 2020 obhájil disertační práci v programu zobrazovací metody v lékařství a získal titul Ph.D.

Představujeme Vám pacientku narozenou v roce 1962, dosud léčenou pouze pro arteriální hypertenzi (ramipril 5 mg 1-0-0) a diabetes mellitus (gliclazid 30 mg 1-0-0). Její příběh začíná 22. června 2022. Toho rána se probudila s mírnou levostrannou hemiparézou, která rychle progredovala až do těžké hemiparézy. Urgentně po převozu do nemocnice byla diagnostikována ischemická CMP. Nález byl řešen podáním trombolýzy, naštěstí pro pacientku s úpravou stavu bez neurologického rezidua.

Vzhledem k tomu, že již od přijetí měla pacientka na monitoru přítomnou fibrilaci síní o tepové frekvenci 120–140/min, byla etiologie mozkové příhody nasnadě. Již vstupní kardiologické konzilium doporučilo zahájení antikoagulace, jakmile to bude z neurologického hlediska možné, a tak byla dle neurologů od 27. 6. 2022 zahájena antikoagulační terapie apixabanem. Krom asi jeden rok trvající námahové dušnosti při větší námaze netrpěla tato obézní pacientka (výška 175 cm, váha 125 kg, BMI 41 kg/m2) žádnými jinými subjektivními kardiologickými obtížemi.

Image
image

Obr. 1. EKG

 

Ke kontrole tepové frekvence byste použili:

Vyberte správnou odpověď:

beta-blokátor (BB)

Správná odpověď.

Vysvětlení:
Použili bychom nejlépe beta-blokátor. Vzhledem k tomu, že neznáme stáří arytmie a pacientka nebyla dosud antikoagulována, nesnažíme se primárně o verzi arytmie na sinusový rytmus. Verzi bychom plánovali s odstupem cca 3-4 týdnů účinné antikoagulační terapie. Od beta-blokátoru si slibujeme zpomalení tepové frekvence, od amiodaronu či propafenonu verzi fibrilace síní v sinusový rytmus, což z obavy před opětovnou kardioembolizací t.č. nechceme.

Pacientce jsme primárně podali metoprolol sukcinát v malé dávce 25 mg/den. Za hospitalizace bylo u pacientky provedeno echokardiografické vyšetření s překvapivým nálezem těžké systolické dysfunkce levé komory s EF 30 % při difúzní hypokinezi stěn. Příčinu této dysfunkce jsme viděli v kardiomyopatii indukované tachykardií (fibrilací síní). Z tohoto důvodu jsme chtěli tedy elektrickou kardioverzi provést co nejčasněji, a tak jsme u pacientky doplnili ještě transezofageální echokardiografické vyšetření (TEE) k vyloučení trombu ouška levé síně. V oušku však byl bohužel přítomen vláknitý trombus a od snahy o verzi arytmie bylo tedy za hospitalizace upuštěno. Pacientka byla s výhledem kontrolního TEE a elektrické kardioverze v dobrém neurologickém stavu propuštěna domů s následující terapií:

apixaban 5 mg 1-0-1, gliclazid 30 mg 1-0-0, metoprolol sukcinát 25 mg 1-0-0, rosuvastatin 20 mg 1-0-0
a
kombinovaný preparát: prestarium/indapamid/amlodipin 5/1,25/10 mg 1-0-0

Kazuistiky z III. Cyklu - Nechme srdce bít_4_kazuistika_Video1_Transthorakální echokardiografie_videosmycka_dr. Fikrle VIDEO

Video 1. Transthorakální echokardiografie

 

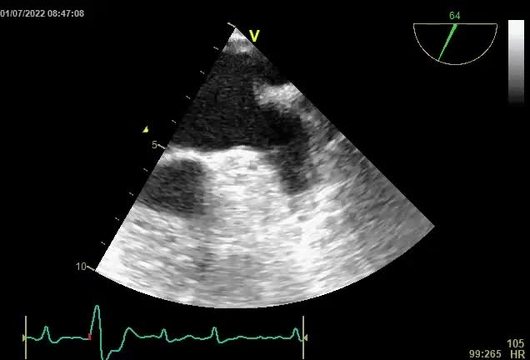
Image
image

Obr. 2. Transthorakální vyšetření s nálezem a vyznačením trombu

 

Ověřte si své znalosti a zkuste zodpovědět i další otázky. Odpovědi již nejsou interaktivní.

 

Jakou chybu v této medikaci vidíte?

1. Namísto gliclazidu měl být předepsán rovnou SGLT2i.
2. Namísto kombinovaného preparátu s amlodipinem a indapamidem měla být raději podána vyšší dávka perindoprilu.
3. Namísto metoprololu měl být raději podán bisoprolol.

Správná odpověď je 2.

Podání SGLT2i, konkrétně dapagliflozinu či empagliflozinu, by samozřejmě bylo vhodné již nyní z indikace srdečního selhání s redukovanou ejekční frakcí, nicméně pokud je možno titrovat zbylé pilíře medikace chronického srdečního selhání (ACEi, BB, antagonisté mineralokortikoidního receptoru), nebyla by zde v indikaci srdečního selhání s redukovanou ejekční frakcí úhrada zdravotní pojišťovnou. V rámci kontroly tepové frekvence i v rámci terapie srdečního selhání s redukovanou ejekční frakcí je indikován jak metoprolol sukcinát, tak bisoprolol, podání metoprololu tedy chybou není. Hlavní chybou je zde použití amlodipinu a indapamidu, které nemají prognostická data u pacientů se srdečním selháním a jejich podání nám může „zbytečně ubrat krevní tlak“, který bychom mohli „využít“ k titraci prognostické medikace.

 

Pacientka byla poučena, aby si po dimisi případně sama s ohledem na TK a TF navýšila beta-blokátor, což správně sama učinila. 5. srpna 2022 dorazila pacientka k naplánovanému kontrolnímu TEE. Na EKG měla stále fibrilaci síní nyní o TF 100-120/min. A bohužel v oušku levé síně byl stále trombus přítomen. Do medikace jsme jí tedy k antikoagulaci apixabanem přidali ještě clopidogrel ve snaze o rozpuštění intrakardiálního trombu.

 

Jaký byste zvolili další postup?

1. Pacientku objednáme ke kontrolnímu TEE v odstupu cca 1 měsíce.
2. Pacientku objednáme ke kontrolnímu TEE v odstupu cca 1 měsíce a pokusíme se jí hned nyní dále upravit terapii.

Správná odpověď je 2.

Samozřejmě se pokusíme jí hned upravit terapii. Byť se jedná „jen“ o echokardiografické vyšetření, byla by škoda terapii hned neupravit.

 

Pacientce byl tedy vysazen kombinovaný antihypertenzní preparát a byl nahrazen monoterapií perindoprilem v dávce 10 mg 1-0-0, jak jsme rozebrali již v předminulé otázce. Vzhledem k vyšší tepové frekvenci jsme dále navýšili dávku metoprololu z 50 mg 1-0-0 na 2-0-0. Pacientku jsme objednali ke kontrolnímu TEE a zároveň ve zprávě poprosili ošetřujícího diabetologa, zdali by z diabetologického hlediska nebylo už nyní možno předepsat SGLT2i s úhradou zdravotní pojišťovnou. Ten byl skutečně diabetologem namísto gliclazidu předepsán, konkrétně dapagliflozin 10 mg 1-0-0. A po tomto setkání je pacientka léčena následovně:

apixaban 5 mg 1-0-1, dapagliflozin 10 mg 1-0-0, metoprolol sukcinát 50 mg 2-0-0, rosuvastatin 20 mg 1-0-0, perindopril 10 mg 1-0-0, clopidogrel 75 mg 1-0-0

Pacientka má již tedy v tuto chvíli zavedeny tři ze čtyř základních pilířů terapie srdečního selhání s redukovanou ejekční frakcí.

Při opětovném jícnovém echokardiografickém vyšetření již trombus v oušku levé síně prokázán nebyl. Proto byla pacientka odeslána k elektrické kardioverzi. Nicméně i po dvou výbojích elektrické kardioverze trvá fibrilace síní. Z toho důvodu jsme zahájili podávání amiodaronu a i nyní jsme se snažili dále uptitrovat prognostickou medikaci chronického srdečního selhání. Metoprolol jsme navýšili na 150 mg/den a do medikace přidali zbývající 4. pilíř terapie – antagonistu mineralokortikoidního receptoru – spironolakton v dávce 25 mg/den a vysadili jsme clopidogrel. Pacientku jsme poučili, aby si za 2 týdny sama navýšila spironolakton na 0-2-0.

Pacientka tedy odchází po elektrické kardioverzi s medikací:

apixaban 5 mg 1-0-1, dapagliflozin 10 mg 1-0-0, metoprolol sukcinát 50 mg 2-0-1, rosuvastatin 20 mg 1-0-0, perindopril 10 mg 1-0-0, clopidogrel 75 mg 1-0-0, amiodaron v sytící dávce 200 mg týden 1-1-1, následně týden 1-0-1, následně již 1-0-0, spironolakton 25 mg 0-1-0

Při dalším setkání s pacientkou k opětovnému pokusu o elektrickou kardioverzi byla provedena i kontrola laboratoře. Zde byla zjištěna mírná hyperkalémie 5,3 mmol/l, nadhraniční hodnota TK 146/95 mm Hg, subjektivně stále trvá námahová dušnost NYHA II. Elektrickou kardioverzí bylo tentokrát po nasycení amiodaronem již dosaženo restituce SR.

 

Jaký je další optimální postup?

1. Vyčkáme efektu elektrické kardioverze.
2. Snížíme zpět dávku spironolaktonu, s cílem normalizovat hladinu kalia.
3. Pacientku převedeme z ACEi na sacubitril-valsartan.
4. Pacientku převedeme z ACEi na sacubitril-valsartan a současně zkusíme optimalizovat hladinu kalia jinak než snížením spironolaktonu.

Správná odpověď je 4.

U pacientky je indikováno převedení z ACEi na sacubitril-valsartan (pacientka je stále symptomatická, NYHA II při terapii ACEi, EF 30 %, normální renální parametry), současně je jistě vhodné zkusit optimalizovat hladinu kalémie. Snižovat dávku spironolaktonu by však bylo škoda, zaprvé bychom mohli po jeho snížení očekávat další zvýšení TK, ale hlavně bychom snížili dávku prognosticky důležitého léku u pacientů se srdečním selháním s redukovanou ejekční frakcí.

 

My jsme tedy volili vysazení ACEi a s odstupem 36 hodin od posledního užití ACEi jsme nasadili sacubitril-valsartan v dávce 49/51 mg 1-0-1 a nově jsme do medikace přidali malou dávku indapamidu s očekáváním snížení hladiny kalia a efektem k normalizaci TK. Domluvili jsme kontrolní odběr krve v odstupu 14 dní s telefonickou konzultací ambulance srdečního selhání. Tyto laboratorní výsledky byly následně zcela v normě. Klinicky snad pacientka již pociťovala mírné zlepšení dechu, nicméně stále udávala dušnost hodnocenou jako stadium NYHA II, tlakově i pulzově byla pacientka v normě (z domácího měření TK 115–130/80 mm Hg, P 65–75/min).

 

Jaký byste zvolili další postup?

1. Navýšit beta-blokátor.
2. Navýšit sacubitril-valsartan.
3. Navýšit beta-blokátor i sacubitril-valsartan.
4. Vyčkat, nebude-li se pacientčin stav dále postupně zlepšovat.

Správná odpověď je 3.

Optimální je snažit se dosáhnout u všech prognostických medikamentů (ARNI, beta-blokátor, antagonista mineralokortikoidních receptorů, SGLT2i) maximálních dávek. Proto jsme zkusili rovnou dále navýšit sacubitril-valsartan a pacientku jsme opět instruovali, za jakých podmínek si může sama s odstupem 14 dní navýšit beta-blokátor.

 

Při telefonické kontrole za 5 týdnů udává pacientka již výraznější zlepšení dechu. Je nyní na terapii:

dapagliflozin 10 mg 1-0-0
spironolakton 25 mg 0-2-0
metoprolol sukcinát 200 mg 1-0-0
sacubitril-valsartan 97/103 mg 1-0-1

indapamid 2,5 mg 1/2-0-0
apixaban 5 mg 1-0-1
amiodaron 200 mg 1-0-0
rosuvastatin 20 mg 1-0-0

U pacientky jsme postupnými úpravami medikace dosáhli cílových dávek všech prognostických medikamentů, tj. 4 pilířů. Při kontrolním echokardiografickém vyšetření v lednu 2023 nacházíme již normální ejekční frakci levé komory 55–60 %.

 

Jaký je další optimální postup?

1. Doplnit kontrolní EKG Holter.
2. Vzhledem k normalizaci EF vysadit SGLT2i i sacubitril-valsartan.
3. Pacientku referovat arytmologovi k rozvaze stran RFA fibrilace síní.

Správná odpověď je 3.

EKG Holter můžeme samozřejmě jistě doplnit, nicméně vzhledem k tomu, že po úpravě rytmu došlo k normalizaci EF levé komory, a etiologicky je tedy hlavní podezření na dysfunkci levé komory vyvolanou fibrilací síní, je jistě vhodné u pacientky zvážit rovnou provedení radiofrekvenční ablace fibrilace síní. To jsme také udělali, a pokud bude pacientka souhlasit (zatím si zákrok rozmýšlí), ablaci doplníme. Vysazování medikace po úpravě ejekční frakce se obecně nedoporučuje.

 

Kazuistika se snaží demonstrovat nutnou snahu o postupnou uptitraci prognostické medikace všemi čtyřmi pilíři či chcete-li čtyřmi farmakologickými skupinami léčiv, tedy 1) ACEi/ARNI, 2) BB, 3) antagonisté mineralokortikoidních receptorů, 4) SGLT2i). Tuto titraci bychom se měli snažit provést při každém setkání s pacientem, tedy nejen při kontrole v ambulanci srdečního selhání, ale při každém setkání s lékařem kardiologem (včetně echokardiografického vyšetření, provádění elektrické kardioverze atp.), ostatními lékaři pečujícími o pacienta (např. praktický lékař, internista, diabetolog) a též se samostatně dobře poučeným a spolupracujícím pacientem. Tento časově náročný úkol však může být korunován vynikajícími výsledky, jak dokládá i tento případ.

amiodaron

Nesprávná odpověď.

propafenon

Nesprávná odpověď.

 Znalosti zde získané můžete zúročit získáním 2 kreditů ČLK do systému celoživotního vzdělávání po správném zodpovězení alespoň 16 otázek z 20 zde: EUNI.cz/Kazuistiky z kardiologie ‑ Nechme srdce bít III

Reference

.

Nechme srdce bít III ‑ Kazuistiky v kardiologii

Zveme Vás k prostudování třetí série akreditovaných edukačních kazuistik zaměřených na problematiku léčby chronického srdečního selhání. Případy zahrnují praktické návody, ukázky EKG a echokardiografie, a přibližují diagnostiku a léčbu srdečního selhání v klinické praxi.

entresto
Kardiologie
Entresto™ - sacubitril/valsartan
Image
HTML

Zkrácená informace o přípravku ENTRESTO™

Web Link

Jak nás můžete kontaktovat

V případě odborných dotazů, hlášení nežádoucích účinků nebo stížností se obraťte, prosím, na společnost Novartis.