Fenotyp srdečního selhání s nízkým krevním tlakem a jeho účinná léčba

Prezentovaný případ se závěry pro praxi shrnuje autor kazuistiky v následujícím podcastu:

Zapněte si prosím zvuk a klikněte na tlačítko „play“.

euni
07 Dub 2025
8 mins 14 secs
Kazuistiky z III. Cyklu - Nechme srdce bít_2_kazuistika_podcast_dr.Radvan AUDIO

Medailonek autora

MUDr. Martin Radvan, Ph.D.
Interní kardiologická klinika Fakultní nemocnice Brno

MUDr. Martin Radvan, Ph.D., je internista a kardiolog. Po třinácti letech věnovaných všeobecné interně a terapeutické endoskopii v Nemocnici Třebíč pracuje nyní jako vedoucí jednotky intenzivní péče Interní kardiologické kliniky Fakultní nemocnice Brno. Je vyučujícím Lékařské fakulty Masarykovy univerzity. Věnuje se problematice srdečního selhání ve všech podobách včetně zobrazovacích metod a dále tromboembolické chorobě. Je členem Emergency Medical Teamu České republiky. V posledních letech několikrát publikoval o kardiovaskulárních následcích COVID-19. Má dvě dcery.

Prognóza srdečního selhání se obecně podobá prognóze některých malignit. Pětileté přežití od stanovení diagnózy lze očekávat zhruba u poloviny pacientů, deset let přežívá přibližně čtvrtina nemocných, přičemž výsledky z devadesátých let 20. století se od těch z první dekády tisíciletí příliš neliší. Poslední roky ale přinesly nové léky s unikátním mechanismem účinku: sacubitril/valsartan, glifloziny a vericiguat. Předpokládá se, že s možnostmi moderní farmakologické i nefarmakologické léčby srdečního selhání by se výsledky mohly zlepšit a napodobit úspěch onkologie.
Vývoj terapie srdečního selhání v posledních letech a její postupné zavádění u konkrétního pacienta dokumentuje níže uvedená kazuistika.
Aktivní, astenický muž, nekuřák, ročník 1956, byl v roce 2012, tedy ve věku 56 let, z plného zdraví a bez jakékoliv chronické medikace přivezen na spádové interní pracoviště pro kolapsový stav s drobným povrchovým poraněním hlavy. Předcházelo několik dní zhoršeného dechu navazující na běžné nachlazení, byl bez bolestí na hrudi. EKG ukázalo atrioventrikulární blokádu III. stupně s náhradním komorovým rytmem s frekvencí 30/minutu. Hodnota troponinu byla na horní hranici normy, bez dynamiky, CRP negativní, iontogram i krevní obraz v normě. V akutní fázi byl pacient zajištěn dočasnou stimulací, která byla po cca 48 hodinách vyměněna za trvalý kardiostimulátor zavedený přes pravou podklíčkovou žílu. V mezidobí doplněná echokardiografie prokázala systolickou dysfunkci levé komory s nápadnou akinezí ztenčeného septa a přední stěny s přilehlou částí hrotu. Zbylé segmenty byly hyperkinetické a celková ejekční frakce byla kalkulována na 40–45 %. Byla doplněna i koronarografie, která ukázala prakticky zcela hladkostěnné koronární tepny. Pacient byl dimitován bez medikace vzhledem k habituální hypotenzi s hodnotami krevního tlaku (od mládí) do 100/65 mm Hg.
Etiologie výše uvedeného není jasná. Nabízí se stav po nepoznaném zánětu srdečního svalu, akutní myokarditida při negativním troponinu je nepravděpodobná. Pro přechodnou trombotickou okluzi v povodí RIA chybí anamnéza bolestí na hrudi.
Ambulantní péče pak u pacienta trvale ve třídě NYHA I probíhala řadu let bez pozoruhodností a byla omezena de facto jen na kontrolní echokardiografická vyšetření (velikost LK vždy bez progrese, chronická akineze v povodí RIA), dále laboratorní odběry (BNP mezi 40–80 ng/l). Byl učiněn pokus o nastavení na inhibitor angiotenzin konvertujícího enzymu, ale ani minimální dávka na noc nebyla pro symptomatickou hypotenzi tolerována. Pacient byl dependentní na stimulaci, bez extrasystol dle monitoringu, tedy ani podání beta-blokátoru u asymptomatické dysfunkce levé komory nedávalo smysl.
Na podzim roku 2018 došlo ke změně. Pacient se ozval s prosbou o neplánovanou echokardiografickou kontrolu, udával zhoršení tolerance zátěže, v práci nezvládal to, co dříve. Změnu ale nelíčil nijak dramaticky, na kontrolu přijel vlastním vozem. Bylo natočeno EKG.

Image
image

Obr. 1. EKG

Na EKG je patrná:

Vyberte správnou odpověď:

Sinusová tachykardie

Nesprávná odpověď

Supraventrikulární tachykardie s aberovaným vedením

Nesprávná odpověď

Nejspíše komorová tachykardie

Správná odpověď

Vysvětlení:
Tachykardie se širokým komplexem QRS u pacientů se známým organickým onemocněním srdce jsou zpravidla komorové a rozhodně by tak měly být léčeny, dokud se neprokáže opak.

Image
image

Obr. 2. Transmitrální toky při běžící komorové tachykardii.

 

Komorová tachykardie na EKG s frekvencí 185/minutu tak byla docela překvapením. Pacient byl hospitalizován, laboratoř neukázala zásadní patologii, v krátké anestezii byla provedena kardioverze. Ultrazvuk srdce prokázal poruchy kinetiky levé komory podobnou předchozí době, posttachykardicky ale byla ejekční frakce 35 %. Byla doplněna kontrolní koronarografie, znovu s negativním nálezem. Stávající stimulační systém byl ponechán in situ a byl přidán zleva resynchronizační systém včetně defibrilátoru a domácího monitoringu. Stranou nezůstala ani farmakologická terapie. Pacient dostal 12,5 mg spironolaktonu, 20 mg furosemidu a pochopitelně beta-blokátor: retardovaný metoprolol v dávce 25 mg. Systolický tlak při této medikaci nepřesáhl 105 mm Hg s polohovou nejistotou vždy jen ráno a po rychlém postavení. S touto terapií byl propuštěn. V ambulantní péči byl pacient stabilní, bez výboje, dle monitoringu z přístroje nebyly zachyceny komorové tachykardie. Přes výše uvedené hraniční tlaky byla s opatrností měsíc po dimisi zahájena terapie sacubitrilem/valsartanem v úvodní minimální dávce 24/26 mg dvakrát denně a přes přechodné cca týdenní období s měřenými hodnotami krevního tlaku 95/55 mm Hg se tuto terapii podařilo udržet, pacient se tlakově stabilizoval. Nedošlo k poklesu renálních funkcí ani k hyperkalémii. Pacient se vrátil k obvyklé bohaté pracovní činnosti, denně 45 minut plave. Na podzim 2021 byl ke stávající terapii přidán i empagliflozin, který pacient rovněž dobře toleruje. Furosemid užívá v režimu 1–2× týdně 20 mg, ostatní terapie zůstala nezměněna.
Výše uvedená kazuistika dobře dokumentuje rozmanité projevy dysfunkce levé komory a možnosti moderní farmakoterapie. Fenotyp srdečního selhání s nízkým krevním tlakem a s často přidruženou renální insuficiencí představuje terapeutickou výzvu. I u těchto jedinců by měla být vyzkoušena byť i minimální dávka farmakoterapie a její postupná titrace, ideálně pak s využitím všech terapeutických skupin. Při nastavování terapie se nevyhneme častějším návštěvám včetně laboratorních kontrol, zejména v období po propuštění z hospitalizace. Pomoci mohou i telefonické kontroly. Klíčová je pochopitelně spolupráce dobře edukovaného pacienta.

Image
image

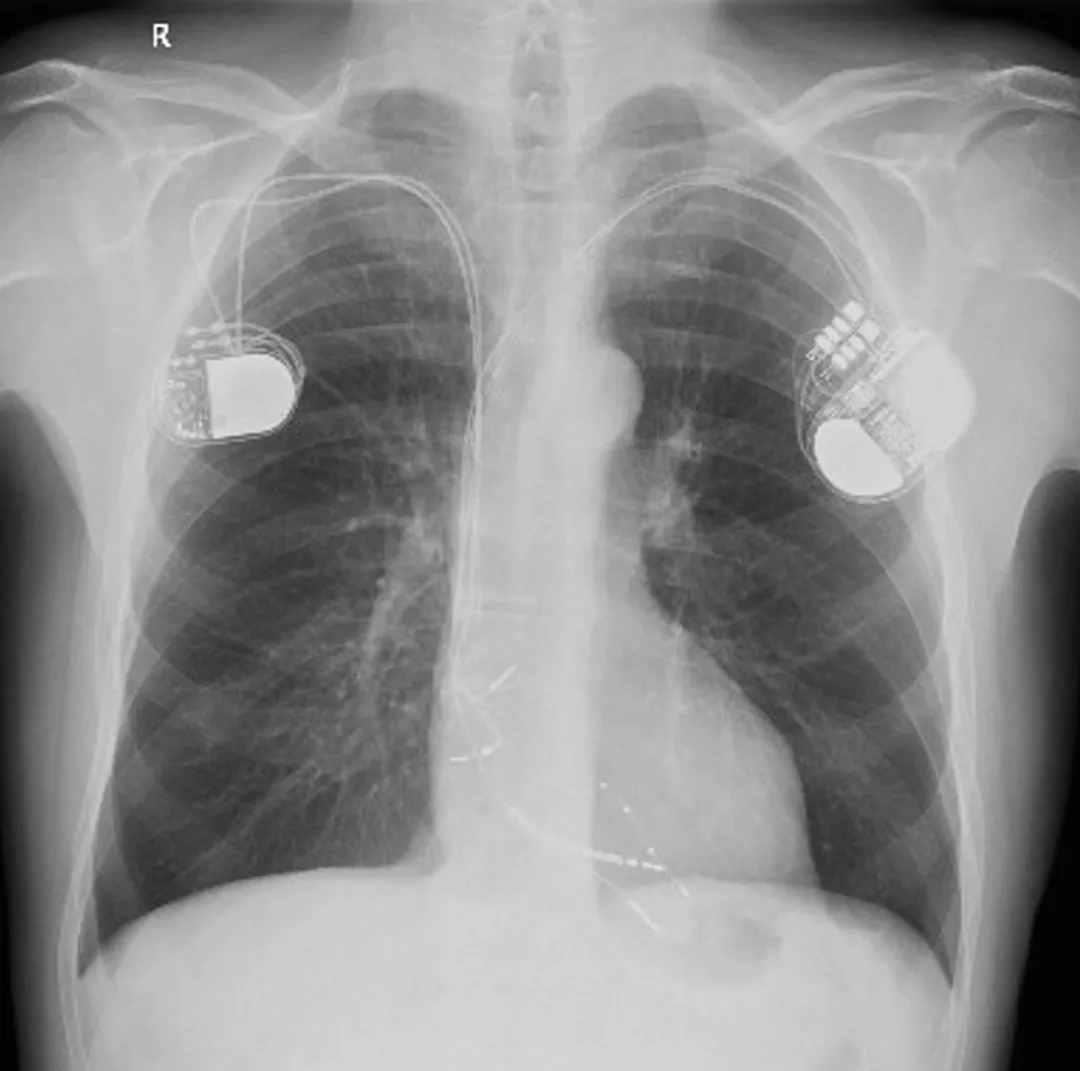
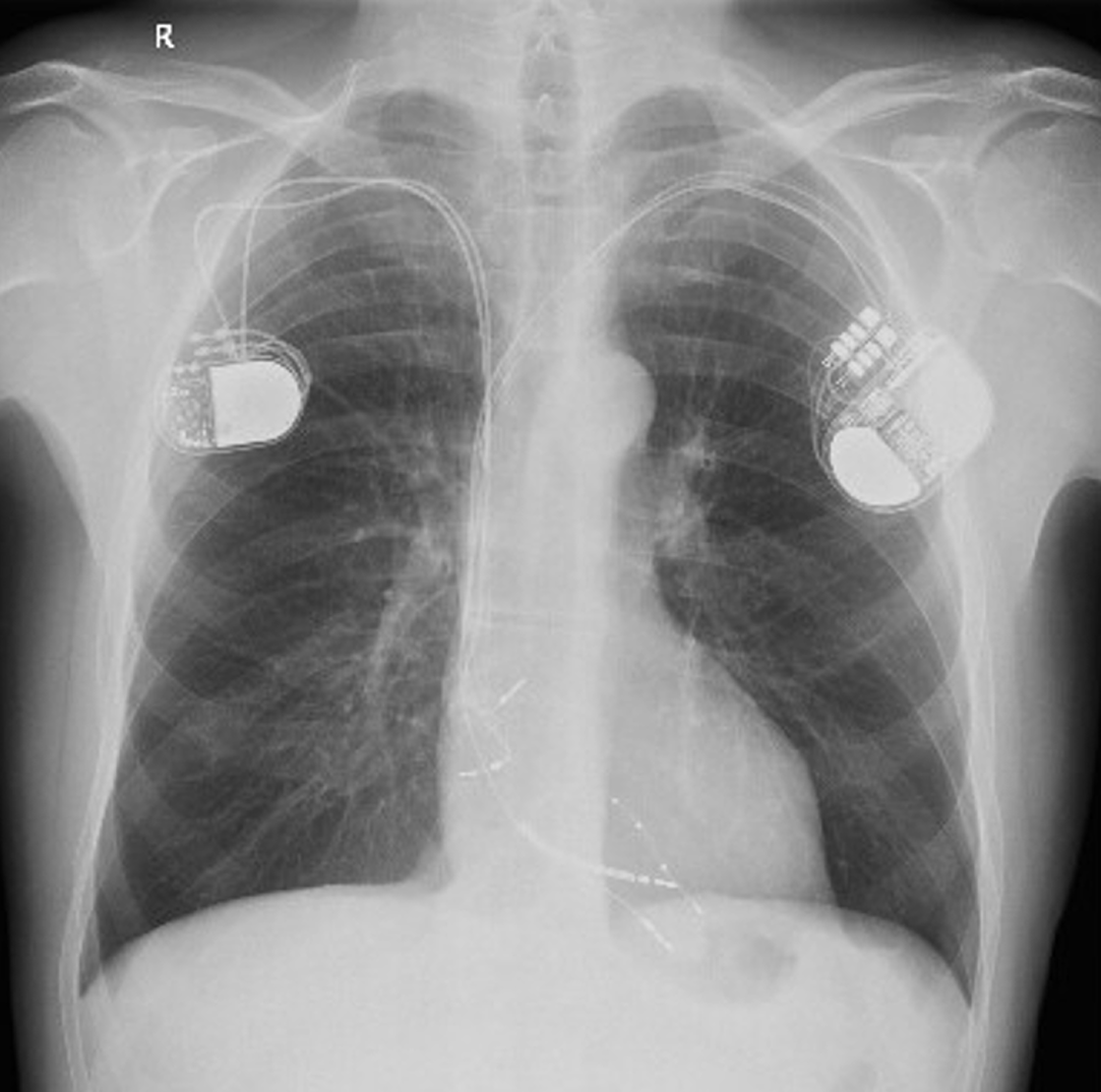
Obr. 3. Zatím definitivní stav: původní stimulační systém DDD zprava, z levé strany CRT-D.

 

Ověřte si své znalosti a zkuste zodpovědět i další otázku. Odpovědi již nejsou interaktivní.

Při recidivujících komorových tachykardiích v rámci srdečního selhání u pacienta s implantovaným defibrilátorem a po selhání beta-blokátoru je metodou volby:

A) ablace
B) amiodaron
C) transplantace srdce
D) navýšení bazální frekvence stimulace
E) substituce hořčíku
F) vše uvedené může mít za jistých okolností smysl

Správná odpověď je F)

 Znalosti zde získané můžete zúročit získáním 2 kreditů ČLK do systému celoživotního vzdělávání po správném zodpovězení alespoň 16 otázek z 20 zde: EUNI.cz/Kazuistiky z kardiologie ‑ Nechme srdce bít III

Reference

.

Nechme srdce bít III ‑ Kazuistiky v kardiologii

Zveme Vás k prostudování třetí série akreditovaných edukačních kazuistik zaměřených na problematiku léčby chronického srdečního selhání. Případy zahrnují praktické návody, ukázky EKG a echokardiografie, a přibližují diagnostiku a léčbu srdečního selhání v klinické praxi.

entresto
Kardiologie
Entresto™ - sacubitril/valsartan
Image
HTML

Zkrácená informace o přípravku ENTRESTO™

Web Link

Jak nás můžete kontaktovat

V případě odborných dotazů, hlášení nežádoucích účinků nebo stížností se obraťte, prosím, na společnost Novartis.