関節所見ライブラリ

Vol.11[足の痛みで紹介:解説]【医療関係者用】

<症例>50代男性
<主訴>足の痛みで紹介
<既往歴>軽度の尋常性乾癬で近医皮膚科フォロー中
<家族歴>特になし(乾癬、IBD、AS、ぶどう膜炎、RAなし)

(症例提供・監修) 杏林大学医学部 腎臓・リウマチ膠原病内科 准教授 岸本 暢将 先生

診断名
体軸性乾癬性関節炎

鑑別診断
痛風性関節炎、反応性関節炎、RA

検査、原因
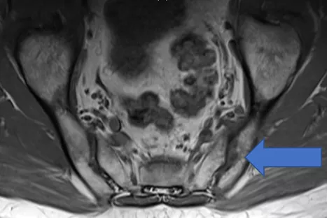
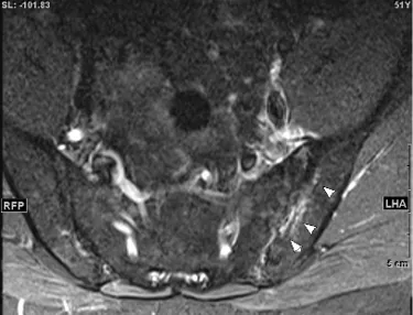
中年男性に発症した、単関節炎とその周囲炎(Psoriatic onycho-pachydermo periostitis:POPP)。血清反応陰性で、尿酸値は正常。尋常性乾癬あり、足趾に爪病変をみとめた。また詳細な病歴聴取にて2週間前から炎症性腰背部痛を認めたため、脊椎の側面および骨盤正面単純X線検査を行うも異常なし。その後仙腸関節および全脊椎MRIを施行し(図3a:T2FS, b:T2FS, c:T1)、左仙腸関節に骨髄浮腫の所見を数スライスにわたりみとめ、X線基準を満たさない体軸性脊椎関節炎(体軸性乾癬性関節炎)と診断した。

痛風も鑑別にあがるが、乾癬を認め、足趾の炎症部に爪病変およびX線では骨新生像をみとめ、体軸病変の合併も考えるとPsAで合致。

ASAS/SPARTANから、2024年体軸性脊椎関節炎を疑ったときに施行するMRI撮像法についての標準化の提案があった(4つの撮像法:1.S2椎体の背側骨皮質に平行した斜冠状断でT1強調画像, 2.同部位でSTIR or T2強調脂肪抑制像、3.同部位のT1強調3Dグラデーションエコー(T1強調脂肪抑制)、4.左記斜冠状断に垂直な斜軸断でSTIR or T2強調脂肪抑制像)(参考文献)

図3a,b,c 仙腸関節MRI

Image
画像4.png

 

Image
画像6.png

 

 

Image
画像5.png

 

参考文献:Ann Rheum Dis. 2024 Aug 6:ard-2024-225882.

CTX00044JG0001
2024年12月

弊社製品についてのお問い合わせ