関節所見ライブラリ

Vol.11[足の痛みで紹介]【医療関係者用】

<症例>50代男性
<主訴>足の痛みで紹介
<既往歴>軽度の尋常性乾癬で近医皮膚科フォロー中
<家族歴>特になし(乾癬、IBD、AS、ぶどう膜炎、RAなし)

(症例提供・監修) 杏林大学医学部 腎臓・リウマチ膠原病内科 准教授 岸本 暢将 先生

現病歴
10年前に肘、膝伸側に皮疹を発症し近医皮膚科で尋常性乾癬の診断を受け局所治療にて特に問題なかった。半年前に左前足の痛みが出現し1週間ほどで自然軽快。今回1週前から同部位に疼痛があり、近医整形外科で痛風発作の診断で加療されたが軽快せず近医から紹介受診。リウマトイド因子陰性、 抗CCP抗体陰性。尿道炎症状なし。

初診時
身体診察ではBMI 23、図1に左足の所見と両足の単純X線(図2)を示す。肘関節伸側に軽度の鱗屑を伴う丘疹を認めた。

血液検査:尿酸5.1mg/dl、CRP 0.82mg/dl, ESR 35mm/hr、
ASO正常、HIV陰性。尿検査:潜血陰性、尿沈渣異常なし。尿クラミジアトラコマティスPCR陰性。 

図1 診察時

Image
画像1.png

 

左足第1指IP関節周囲から
その末梢にかけて腫脹と発赤

爪甲剥離症

 

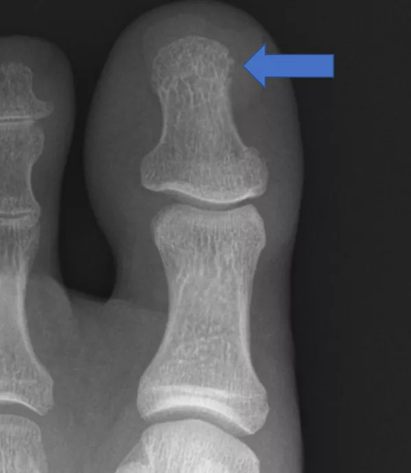
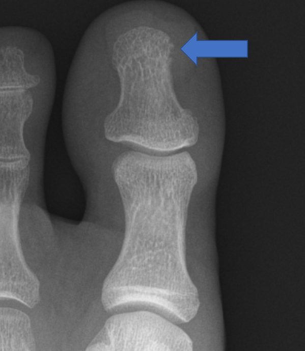
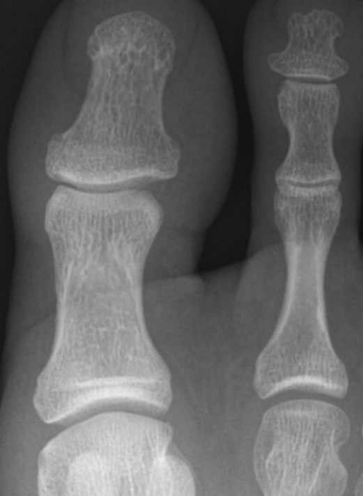
図2.足趾の単純X線

Image
画像2.png
Image
画像3.png

末節骨末端骨吸収像
と骨新生像

 

 

CTX00044JG0001
2024年12月

弊社製品についてのお問い合わせ