関節所見ライブラリ

Vol.10[乾癬性関節炎疑いで紹介]【医療関係者用】

<症例>50代男性
<主訴>乾癬性関節炎疑いで紹介
<既往歴>高血圧、高脂血症、肥満、慢性腎障害あり近医でフォロー中
<家族歴>特になし(乾癬、IBD、AS、ぶどう膜炎、RAなし)

(症例提供・監修) 杏林大学医学部 腎臓・リウマチ膠原病内科 准教授 岸本 暢将 先生

現病歴
1年前に右足首の痛み、半年前に右前足の痛みが出現し、近医整形外科でNSAIDs処方されともに1週間ほどで経過していた。今回1週前から手指の腫脹と疼痛があり、NSAIDsでも軽快せず近医から紹介受診。リウマトイド因子陰性、 抗CCP抗体陰性。

初診時
身体診察ではBMI 28、図1に右手の所見を示す(両手指に多関節炎を認める)。(図1)頭皮に鱗屑を伴う軽度掻痒感をみとめる皮疹を認めた。爪病変なし。

血液検査:尿酸7.8mg/dl、
CRP1.85mg/dl, ESR 45mm/hr、
TSPOT陰性、ASO正常、尿検査:潜血陰性、WBC 5-10/HPF

単純XP:図2(図2)

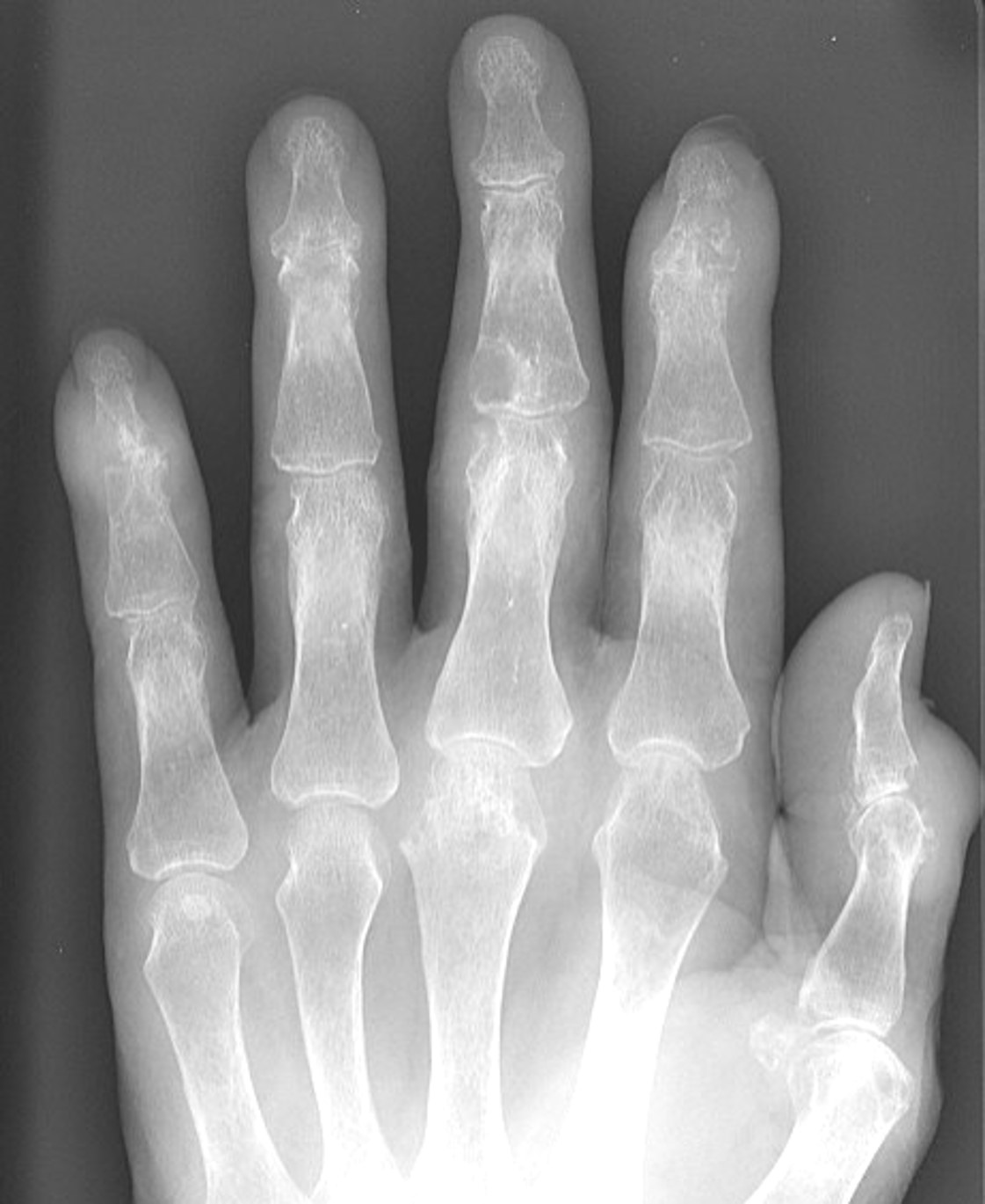
図 1 右手

Image
画像1.jpg

 

所見︓右 1MCP/IP 関節、2MCP・PIP 関節、3MCP 関節に関節炎あり

 

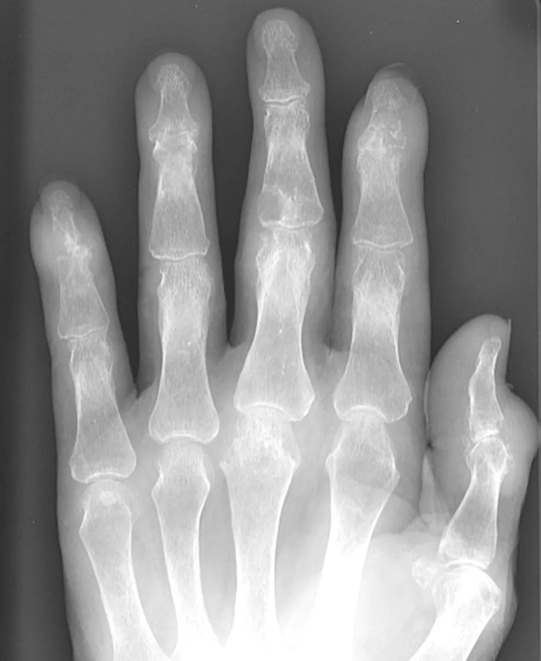
図 2.左手指単純 XP

Image
画像2.jpg

 

所見︓左第 3 中節骨に関節の辺縁から少し離れたところに “overhanging edge” とよばれる痛風結節による浸食像をみとめる
 

 


 

CTX00042JG0002
2024年10月作成

弊社製品についてのお問い合わせ