関節所見ライブラリ

Vol.09[腰痛、右下肢痛(鼠径部から大腿部前面):解説]【医療関係者用】

<症例>40代男性
<主訴>腰痛、右下肢痛(鼠径部から大腿部前面)
<既往歴>気管支喘息、アトピー性皮膚炎
<家族歴>特記事項なし

(症例提供・監修)    九州大学病院 整形外科 助教 原 大介 先生

診断名

大腿骨寛骨臼インピンジメント

鑑別診断

類骨骨腫、大腿骨頭壊死症、大腿骨頭軟骨下脆弱性骨折、腰椎疾患

検査、原因

股関節X線正面像では寛骨臼形成不全および関節裂隙狭小化は認めず、寛骨臼にはcross over sign、posterior wall signを認め、大腿骨頭頚部移行部に骨皮質下透亮像を認めた(写真2左)。
Dunn viewではα角増大と大腿骨頭頚部移行部の肥厚を認め、Head-neck offset ratioの減少を認めた(写真2右)。
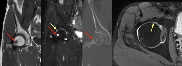
股関節MRIでは骨皮質下透亮像に一致した部位にT1強調画像でlow、STIR画像でhighの信号変化を認め、前上方の股関節唇に損傷を認めた。骨頭荷重面には信号変化を認めなかった(写真3)。
単純CTでは、骨皮質下透亮像の部位には皮質骨の破壊や肥厚は認めず(写真3)、腫瘍性病変ではなく、herniation pitであると考えられた1)
診断的治療目的で右股関節にステロイド剤と局所麻酔薬を注射すると、鼠径部痛のみでなく、大腿前面の疼痛、腰痛も改善し、疼痛の原因として腰椎由来の病変よりも股関節内由来の病変が疑われた。
注射の效果は一時的であったが、経過中に疼痛が右鼠径部に限局し、mixed typeの大腿骨寛骨臼インピンジメント2)の診断となり、保存的加療継続の後に手術加療を施行した。

写真2

Image
case009_02.png

左 骨皮質下透亮像(赤矢印)、寛骨臼前壁(青)と後壁(黄)が交差するcross-over sign陽性で寛骨臼後捻が示唆される、骨頭中心(赤点)は寛骨臼後壁(黄)よりも外側でposterior wall sign陽性で後方の被覆不全が示唆される。
右 骨頭中心と頚部最狭部を結ぶ線と前方骨頭頚部移行部の曲率変化点と骨頭中心を結部線からなるα角の増大あり。骨頭と頚部のオフセット(青矢印)の減少を認める。

写真3

Image
case009_03.png

MRIとCTでHerniation pitを認める(赤矢印)。股関節唇内に信号変化(黄矢印)を認め、損傷が示唆される。

1)Gao ZH, Yin JQ, Ma L, Wang J, Meng QF. Clinical imaging characteristics of herniation pits of the femoral neck. Orthop Surg. 2009 Aug;1(3):189-95.
2)日本股関節学会FAIワーキンググループ. 大腿骨寛骨臼インピンジメント(FAI)の診断について(日本股関節学会指針). Hip Joint. 2015 41: 1-7.

CTX00039JG0001
2023年12月作成

弊社製品についてのお問い合わせ