関節所見ライブラリ

Vol.09[腰痛、右下肢痛(鼠径部から大腿部前面)]【医療関係者用】

<症例>40代男性
<主訴>腰痛、右下肢痛(鼠径部から大腿部前面)
<既往歴>気管支喘息、アトピー性皮膚炎
<家族歴>特記事項なし

(症例提供・監修)    九州大学病院 整形外科 助教 原 大介 先生

現病歴

3ヶ月前から誘因なく、腰痛、右下肢痛が出現。疼痛持続し、近医整形外科で腰椎MRIを撮像され、L4/5の腰椎椎間板ヘルニアを指摘され、鎮痛薬開始されたが改善なく、股関節単純X線で大腿骨の透亮像を指摘され、精査加療目的で当科紹介となった。

現症

跛行著明
徒手筋力テスト:腸腰筋、中殿筋、内転筋は疼痛のため評価困難だが、それ以外の下肢筋力は低下なし
知覚低下なし
深部腱反射正常、左右差なし、病的反射なし
L4周囲の圧痛軽度あり、叩打痛なし
大腿神経伸長テスト陰性、下肢伸展挙上テスト陰性
スカルパ三角圧痛あり、Stinchfieldテスト陰性、Patrickテスト陰性、Anterior impingement sign陽性
股関節可動域は制限なし
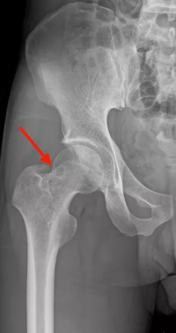
股関節単純X線正面像を示す(写真1)。

写真1

Image
case009_01.png

大腿骨頭頚部移行部に骨皮質下透亮像(赤矢印)を認める。

CTX00039JG0001
2023年12月作成

弊社製品についてのお問い合わせ