関節所見ライブラリ

Vol.08[左臀部痛:解説]【医療関係者用】

<症例>20代女性
<主訴>左臀部痛
<既往歴>アレルギー性鼻炎
<家族歴>特記事項なし

(症例提供・監修)    九州大学病院 整形外科 助教 藤原 稔史 先生

診断名

左腸骨骨折

鑑別診断

①体軸性脊椎関節炎、②化膿性腸骨骨髄炎、③腸骨悪性腫瘍(原発性・転移性)

検査、原因

病歴からは上記が疑われた。HLA-B52とHLA-B61が陽性であったが、当科受診時にはCRPは陰性化しており、発熱がなく、左臀部のみの痛みであったために、膠原病を含めて①は否定的であった。②の可能性もあったが、同様に発熱がなく、CRP陰性であったために可能性は低かった。画像からは明らかな腫瘍性病変はないもののEwing肉腫のような小円形細胞腫瘍や白血病の可能性も否定はできなかった。
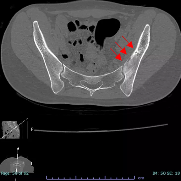
CT検査では左腸骨の骨皮質は一部欠損しており、骨びらんや骨溶解、もしくは骨折と判断できる。
MRIでは仙腸関節を超えずに腸骨のみに病変があることから①のような疾患の可能性は低かった。
画像診断のみでは難しく、左腸骨にCTガイド下生検を行った。異型細胞を認めず、正常の血球系細胞のみを認めた。また細菌培養・抗酸菌培養も陰性であった。
以上より②と③は否定的であった。若年女性で、ダンス練習という軽微ではあるが、受傷歴があり、症状は徐々に改善傾向であったために、上記診断となった。

写真4

Image
case008_04.png

CT画像所見 左腸骨の骨皮質が一部欠損している

前医にてCTはMRIと同時期に撮影していた。腸骨前方の矢印に示す骨欠損が骨折に伴うものか腫瘍による溶解像なのか、脊椎関節炎に伴う病変なのかは確定できなかった。CTガイド下生検で異常がないことを確認し、骨折の診断になった。

CTX00037JG0001
2023年11月作成

弊社製品についてのお問い合わせ