何をお探しですか?
    
    
     
    
      
    
    
  
  関節所見ライブラリ
Vol.08[左臀部痛]【医療関係者用】
| <症例> | 20代女性 | 
| <主訴> | 左臀部痛 | 
| <既往歴> | アレルギー性鼻炎 | 
| <家族歴> | 特記事項なし | 
(症例提供・監修) 九州大学病院 整形外科 助教 藤原 稔史 先生
現病歴
自宅でダンスの練習中に左臀部に違和感が出現し、徐々に増悪してきた。近医整形外科や内科を受診するも特に異常を指摘されず、時々38度台の発熱があり、感染症を疑われて抗生剤を処方されたことがあるが、症状改善なかった。前医を受診時にCRP3.6mg/dL、白血球6600/μL (Neut74%)で、体温38.1℃のため、感染を疑われ、精査加療目的に当科紹介となった。
診察所見
独歩で来院。皮膚や爪などに異常所見はなく、四肢関節腫脹圧痛はなかった。体温36.7℃。左臀部に圧痛があった。
血液検査
白血球5540/μL (Neut 58%, Lymp 33%), CRP 0.07mg/dL, 血沈1h 39mm, RF<5mg/dL, MMP-3 17ng/mL
写真1
Image
									
写真2
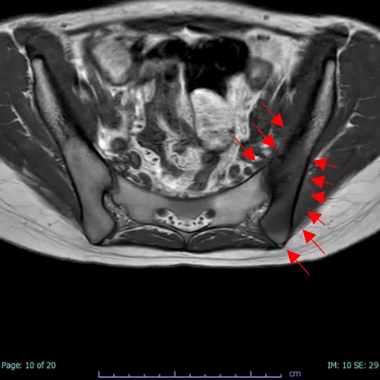
Image
									
仙腸関節のMRI画像 腸骨のみに病変あり
写真3
Image
									
仙腸関節のMRI画像 腸骨のみに病変あり
CTX00037JG0001
2023年11月作成