

Leucemia Mieloide Crónica (LMC)
Leucemia Mieloide Crónica: Síntomas, tratamiento, y diagnóstico

Es una neoplasia mieloproliferativa crónica que es una enfermedad hematológica de baja incidencia anual de 1 por cada 100,000 habitantes. Osman
Se clasifica como una neoplasia mieloproliferativa crónica compuesta principalmente por leucocitos maduros (granulocitos) y leucocitos en diferentes estadios de maduración (bandas, metamielocitos, mielocitos, promielocitos y blastos) que puede afectar tanto la sangre periférica como la médula ósea. Eden
La característica distintiva de la leucemia mieloide crónica es la presencia de una traslocación recíproca adquirida entre los brazos largos de los cromosomas 9 y 22 [t(9;22)(q34;q11.2)], lo que puede detectarse citogenéticamente como el denominado cromosoma Filadelfia (Ph), que resulta en el gen quimérico BCR-ABL1. Osman,Cortes
La leucemia mieloide crónica tiene una tasa de incidencia mundial anual de 0.87 personas por cada 100,000, incrementa conforme aumenta la edad hasta alcanzar una cifra de 1.52 en mayores de 70 años de edad. Además, existe un ligero predominio entre los hombres, en comparación con las mujeres, y la mediana de edad al diagnóstico es de 56 años. Eden
Con respecto a las cifras en México, la leucemia mieloide crónica representa alrededor de 10% del total de leucemias. La edad promedio al diagnóstico es de 45.8 años y 57.8% de los casos ocurre en hombres. Meza


La leucemia mieloide crónica presenta distintas etapas en su progresión que se conocen como fase crónica, fase acelerada y fase blástica. De acuerdo con los criterios publicados por la Organización Mundial de la Salud (OMS), la presencia de 20% o más de blastos es indicativa de una fase blástica, mientras que la NCCN (National Comprehensive Cancer Network) utilizan el umbral de 30% o más de blastos. La fase blástica puede aparecer de manera repentina o tras un período de fase acelerada.Osman

En la actualidad, los pacientes con leucemia mieloide crónica que son tratados y monitoreados de manera adecuada, y que responden bien al tratamiento, pueden tener una expectativa de vida cercana a la normal. Entre los retos que persisten están la complejidad molecular de la enfermedad, la secuencia óptima de los tratamientos farmacológicos y el manejo de los eventos adversos.Cortes
Etiología

Aunque todavía no se ha identificado con exactitud la causa de la leucemia mieloide crónica, es sabido que la gente que ha tenido exposición a grandes dosis de radiación ionizante posee un mayor riesgo de padecer esta malignidad. Por otro lado, se ha documentado que la exposición al benceno también aumenta el riesgo de padecer leucemia mieloide crónica. Meza
Fisiopatología

El gen ABL1 (Abelson tyrosine-protein kinase 1) se expresa en todas las células del cuerpo y produce una enzima con actividad de tirosina cinasa que cataliza reacciones de fosforilación, por lo cual es importante para regular diversas funciones celulares, especialmente del ciclo celular.
Por otra parte, el gen BCR (breakpoint cluster region protein) también se expresa en todas las células del cuerpo y produce una proteína con actividad de serina/treonina cinasa, la cual activa diversas proteínas importantes en la proliferación celular, tales como NF-kB, PDGF, RAS, RAF-1, ERK1/2 y ELK1. Meza
La proteína quimérica BCR/ABL1 activa numerosas vías que conducen hacia una elevada proliferación, reducción de la apoptosis, anormalidades en la adhesión y migración, así como inestabilidad genética. La presencia de la proteína BCR/ABL1 es una condición necesaria y suficiente para el desarrollo de la leucemia mieloide crónica. Osman
Algunas de las vías y sustratos de señalización que resultan clave en la leucemia mieloide crónica incluyen la vía de la fosfatidilinositol-3 quinasa (PI3K), la vía RAS/proteína quinasa activada por mitógenos (MAPK) y las vías Janus quinasa (JAK)/transductor de señal y activador de la transcripción (STAT), entre otras. Osman
Con frecuencia, aparecen otras anormalidades moleculares cuando la enfermedad entra a una fase acelerada o blástica. En algunos casos, al hacer el diagnóstico se identifican otras mutaciones asociadas al cáncer, principalmente en ASXL1, IKZF1 y RUNX1. Si bien hay evidencia que sugiere que estas anormalidades se relacionan con un pronóstico malo, no existe consenso al respecto. Cortes

Manifestaciones clínicas

Alrededor de 50% de los pacientes cursan de manera asintomática y son diagnosticados de manera circunstancial cuando se les realiza una biometría hemática completa de rutina.
La mayoría de los pacientes se encuentran en la fase crónica de la enfermedad, que con mayor frecuencia se presenta con síntomas relacionados a la anemia y esplenomegalia. Cuando se manifiesta, la anemia ocasiona síntomas como fatiga y malestar. La esplenomegalia puede causar saciedad rápida, sensación de llenura del cuadrante superior izquierdo o dolor. También puede ocurrir trombocitopenia o disfunción plaquetaria, que genera hemorragias; trombocitosis, que provoca trombosis o priapismo; o basofilia, lo que resulta en la liberación de histamina y aparición de úlceras del tracto gastrointestinal superior. Eden
Conforme la leucemia progresa hacia la fase acelerada o blástica, se tornan más comunes los síntomas como cefaleas, dolor óseo, fiebre, dolor articular, hemorragias, infecciones y linfadenopatía. Eden

El examen físico debe incluir la evaluación del bazo mediante palpación. El hallazgo más común en el examen físico es la esplenomegalia. De hecho, en más de la mitad de los pacientes, el bazo se extiende más allá de 5 centímetros por debajo del margen costal izquierdo al momento del diagnóstico. Un bazo de tamaño muy grande suele ser indicio de la transformación hacia una crisis blástica.Eden

Por otra parte, se puede detectar hepatomegalia como consecuencia de la hematopoyesis extramedular del bazo. Otros posibles hallazgos incluyen signos de hiperviscosidad, así como papiledema, obstrucción venosa y hemorragias que se pueden observar en una fundoscopia. Eden
Diagnóstico

En los países desarrollados, el diagnóstico se alcanza cada vez más de manera incidental, al realizar una biometría hemática no relacionada con la leucemia. Entre los hallazgos más destacables encontramos: Osman

Leucocitosis

Eosinofilia moderada

Trombocitosis

El frotis de sangre periférica suele mostrar desviación hacia la izquierda

Anemia moderada

Granulopoyesis que abraca todo el espectro de de precursores granulocíticos, incluidos promielocitos y blastos

Basofilia

La función celular es mayoritariamente normal en los pacientes con leucemia mieloide
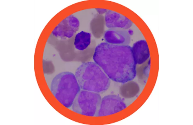
En el examen morfológico de la médula ósea es frecuente observar hipercelularidad con predominio mieloide, desviación hacia la izquierda, y suele detectarse basofilia. Un hallazgo típico de la leucemia mieloide crónica son los megacariocitos anormalmente pequeños y no lobados (micromegacariocitos). También puede haber células pseudo-Gaucher y eosinófilos displásicos con gránulos metacromáticos, llamados como células de arlequín.Osman
Para establecer el diagnóstico, se requiere identificar la presencia del cromosoma Filadelfia. Aunque se puede establecer el diagnóstico a partir de sangre periférica, se requiere un aspirado de médula ósea (y una biopsia, en caso de punción seca) para determinar la etapa de la malignidad y determinar la presencia de otras anormalidades cromosómicas. Se recomienda realizar al menos una prueba cualitativa de PCR para BCR/ABL1, para así confirmar que se presenta la transcripción típica. Los transcritos atípicos como e13a3, e14a3 o e19a2 no pueden detectarse por PCR estándar. Un paciente con cromosoma Filadelfia y transcritos indetectables puede tener proteínas atípicas.Cortes
La citometría de flujo está indicada si se sospecha fase blástica o fase acelerada. En el caso de discrepancias entre los recuentos de blastos morfológicos e inmunofenotípicos basados en la expresión de CD34, los recuentos de blastos morfológicos deben tener prioridad sobre la citometría de flujo.Osman

Tratamiento

El objetivo del tratamiento siempre debe ser alcanzar la mejoría clínica, junto con la remisión hematológica, citogenética y molecular, lo que permite elevar la posibilidad de lograr un estado de remisión libre de tratamiento. Teniendo eso en la mira, resulta crucial vigilar la remisión molecular del paciente a mediano y largo plazo.Meza
Actualmente, se recomienda usar un inhibidor de tirosina cinasa (ITK) como terapia de primera línea, los cuales han demostrado tener buena respuesta molecular y supervivencia a largo plazo.Meza
Pronóstico

En el siglo pasado, la mayoría de los casos de leucemia mieloide crónica progresaban hacia la fase blástica y los pacientes no vivían más de 5 años. Pero la llegada de los inhibidores de tirosina cinasa, y su posicionamiento como terapia de primera línea, ha permitido que la tasa de sobrevida a 5 años ascienda de 33% a más de 90%.
Asimismo, la sobrevida a 10 años ha aumentado desde 11% a 84%, mientras que la respuesta citogenética completa se alcanza en 70 a 90% de los pacientes. De hecho, cuando el diagnóstico se establece en fase crónica de la enfermedad, los pacientes pueden tener una esperanza de vida normal o casi normal.Eden
La presencia de anormalidades genéticas adicionales a la translocación clásica también influye en el pronóstico. Actualmente, sabemos que algunas anormalidades adicionales que aparecen solas no empeoran las expectativas, como es el caso de la trisomía 8, la pérdida del cromosoma Y, y la presencia de una copia extra del cromosoma Filadelfia. Pero el pronóstico es malo cuando existen dos o más anormalidades adicionales, o una sola que incluya alteraciones en i(17)(q10), pérdida de un cromosoma 7, deleción de 7q y reordenamientos de 3q26.2.Eden
Otro factor que impacta en el pronóstico es el análisis de las mutaciones en BCR-ABL1. Se han identificado más de 100 mutaciones puntuales en pacientes con resistencia al tratamiento con imatinib.Eden

Infografía
Referencias
- Osman AEG, Deininger MW. Chronic Myeloid Leukemia: Modern therapies, current challenges and future directions. Blood Rev. 2021 Sep;49:100825.
- Eden RE, Coviello JM. Chronic Myelogenous Leukemia. 2023 Jan 16. In: StatPearls [Internet]. Treasure Island (FL): StatPearls Publishing; 2023 Jan–. PMID: 30285354.
- Cortes J, Pavlovsky C, Saußele S. Chronic myeloid leukaemia. Lancet. 2021 Nov 20;398(10314):1914-1926.
- Meza-Espinoza JP, González-García JR, Contreras-Gutiérrez JA, Picos-Cárdenas VJ. Leucemia mieloide crónica: Un artículo de divulgación científica. Rev Med UAS, 2022;(12)3:257-71.