関節所見ライブラリ

Vol.06[関節痛:解説]【医療関係者用】

<症例>66歳、女性
<主訴>関節痛
<既往歴>小児喘息、全身性エリテマトーデス
<家族歴>母が関節リウマチ

(症例提供・監修)    慶應義塾大学 リウマチ・膠原病内科 教授 金子 祐子 先生

診断名

全身性エリテマトーデスによるJaccoud関節炎

鑑別診断

関節リウマチによる尺側変形

検査、原因

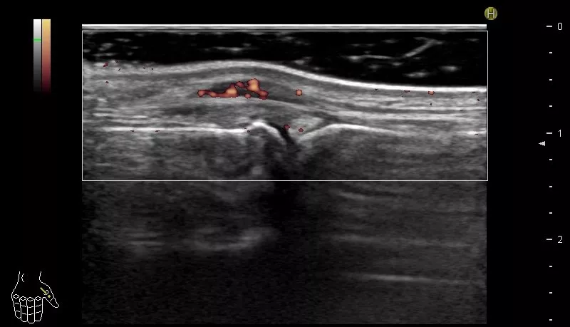
身体所見では手指関節炎、下腿浮腫、右頬部に紅斑を認めた。血液検査で抗核抗体陽性、抗DNA抗体高値、補体低下、尿たんぱく陽性、リウマチ因子陰性、抗CCP抗体陰性。手指関節X線では、2-5指中手指節間関節の掌側脱臼を認めるが、骨には異常を認めない(写真2)。関節超音波検査では、腱鞘滑膜炎を主体とする炎症を認めた(写真3)。尺側偏位や掌側亜脱臼は、関節リウマチの変形として有名であるが、全身性エリテマトーデスでも関節炎が強い症例では同様の変形を認めることがある。これをJaccoud関節炎と呼ぶが、強い亜脱臼や脱臼、腱拘縮による変形にも関わらず、骨破壊は認めないのが特徴である。本症例は、リウマチ因子陰性、抗CCP抗体陰性で、否定はできないが関節リウマチの可能性は低い。手指関節炎、抗DNA抗体上昇、補体低下、尿たんぱく陽性所見から、ループス腎炎を伴う全身性エリテマトーデスの再燃が疑われ、関節変形も、全身性エリテマトーデスによるJaccoud関節炎に起因すると診断した。

写真2

Image
case006_02.jpg

写真3

Image
case006_03.jpg

CTX00032JG0001
2023年9月作成

弊社製品についてのお問い合わせ