関節所見ライブラリ

Vol.05[腰背部痛:解説]【医療関係者用】

<症例>30代、男性
<主訴>腰背部痛
<既往歴>左人工股関節置換術
<家族歴>特に関節リウマチ、強直性脊椎炎、乾癬、炎症性腸疾患、ぶどう膜炎、甲状腺疾患の既往なし

(症例提供・監修)    慶應義塾大学医学部 リウマチ・膠原病内科 助教 秋山 光浩 先生

診断名

強直性脊椎炎

鑑別診断

乾癬性関節炎、反応性関節炎、炎症性腸疾患に伴う脊椎関節炎、硬化性腸骨骨炎、変形性脊椎症、びまん性特発性骨増殖症

検査、原因

若年男性に発症した、運動により改善して安静により改善しない3か月以上持続する炎症性腰背部痛の所見と血清反応陰性、CRPの上昇より脊椎関節炎を疑った。単純X線では両側仙腸関節に関節裂隙全体の強直を認めgrade4の仙腸関節炎の所見であった(写真1)。また、同写真で腰椎の椎体辺縁に沿った硬化像も認めた(写真1)。追加で行った頸椎(写真2)、胸椎(写真3)、腰椎(写真4)単純X線の側面像では全脊椎の強直(竹様脊椎、bamboo spine)を認めた。以上より強直性脊椎炎と診断した。
その他の脊椎関節炎の鑑別として、乾癬性関節炎は皮疹や爪病変、家族歴もなく否定的であった。反応性関節炎は先行する上気道感染や尿道炎を認めず、下肢優位の小関節炎や指炎もなく否定的であった。また、明らかな消化器症状を認めず、便潜血も陰性であり炎症性腸疾患を示唆する所見を認めず炎症性腸疾患に伴う脊椎関節炎も否定的であった。
硬化性腸骨骨炎は画像上、腸骨側のみに境界明瞭な硬化像を認め、関節裂隙は保たれるため本症例とは合致しない。変形性脊椎症は脊椎の加齢性変化を主とした椎間板の狭小化や椎体の骨棘形成であり本症例とは合致しない。びまん性特発性骨増殖症は高齢者の脊椎、特に下部胸椎〜上部腰椎に好発し、椎体の前方および側方に突出する高度の骨棘形成が4椎体以上にわたって連続性にみられ仙腸関節炎を伴わないため本症例とは合致しない。

写真1 単純X線 骨盤正面像

Image
case005_01_2.png

両側仙腸関節にgrade4(関節裂隙全体の強直)の所見(黄色矢印)と腰椎の椎体辺縁に沿った硬化像を認める(白色矢印)

写真2 単純X線 頸椎側面像

Image
case005_02.png

椎体辺縁に沿った硬化像を認める

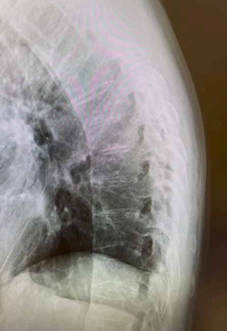
写真3 単純X線 胸椎側面像

Image
case005_03.png

椎体辺縁に沿った硬化像を認める

写真4 単純X線 腰椎側面像

Image
case005_04.png

椎体辺縁に沿った硬化像を認める

CTX00028JG0001
2023年8月作成

弊社製品についてのお問い合わせ