関節所見ライブラリ

Vol.04[安静時の腰痛:解説]【医療関係者用】

<症例>29歳女性
<主訴>安静時の腰痛
<既往歴>特記事項なし
<家族歴>脊椎関節炎を含めた膠原病なし、日本人家系

(症例提供・監修)    慶應義塾大学病院 リウマチ・膠原病内科 助教 平本 和音 先生

診断名

X線基準を満たさない体軸性脊椎関節炎

鑑別診断

乾癬性関節炎、反応性関節炎、SAPHO症候群、炎症性腸疾患に伴う脊椎関節炎

検査、原因

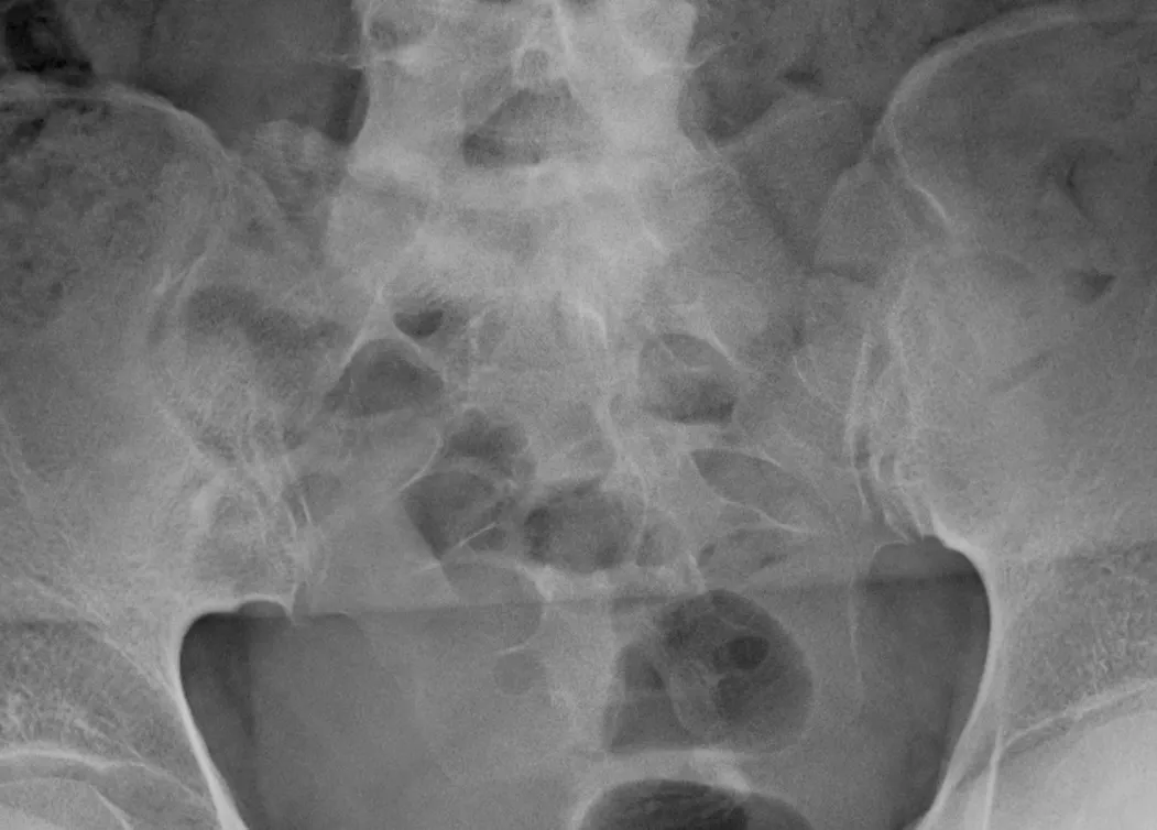
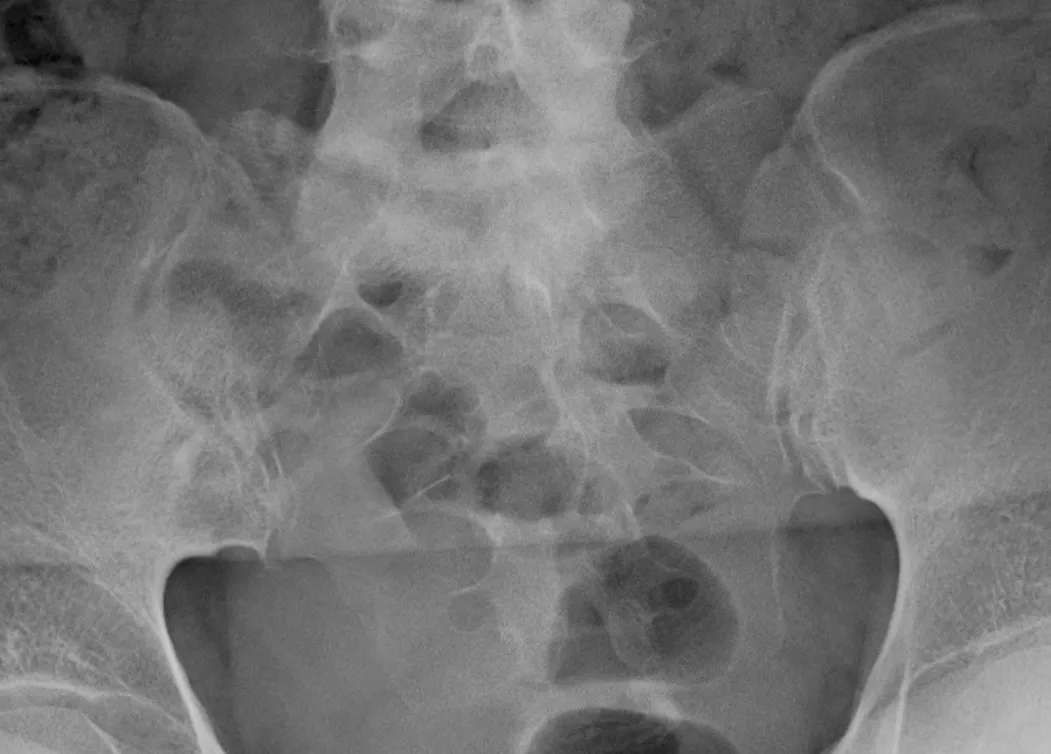
追加の病歴聴取で先行感染症歴や慢性的な下痢や血便なし。身体所見では全身に皮疹は認めず、爪の変形なし。血液検査ではリウマトイド因子陰性、抗CCP抗体陰性、抗核抗体陰性。HLA-B27は陰性。関節超音波検査で末梢関節に滑膜炎や付着部炎は認めず。単純X線で仙腸関節に明らかなびらん、骨硬化、狭小化なし(写真2)。仙腸関節CTでは右仙腸関節にびらん及び骨硬化を示唆する所見あり(写真3)。
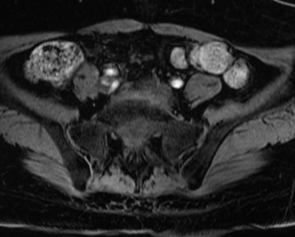
なお全身CTでは胸鎖関節や胸肋関節に骨化像なし。しかし仙腸関節MRI脂肪抑制画像では活動性炎症所見は明らかでなかった(写真4)。
一方、下位胸椎-腰椎MRIではT2 STIR画像でL5とS1の椎体に骨髄浮腫を認め、その他の椎体辺縁にもT2延長病変を認めた(写真5)。
典型的な炎症性背部痛の病歴を有していたこと、MRIで仙腸関節に活動性炎症所見はないがCTで以前の炎症を示唆する所見が示唆されたことなどから、総合的にX線基準を満たさない体軸性脊椎関節炎と診断した。NSAIDs内服は無効であったため、生物学的製剤による治療を開始した。

写真2 仙腸関節Xp

Image
case004_answer_1.jpg

写真3 仙腸関節CT 水平断 冠状断

Image
case004_answer_2.jpg

写真4 仙腸関節MRI

Image
case004_answer_3.jpg

写真5 下位胸椎-腰椎MRI

Image
case004_answer_4.jpg

CTX00027JG0001
2023年7月作成

弊社製品についてのお問い合わせ