関節所見ライブラリ

Vol.01 [両足の痛み]【医療関係者用】

<症例>40代男性
<主訴>両足の痛み
<既往歴>高尿酸血症、2型糖尿病
<家族歴>特に関節リウマチ、強直性脊椎炎、乾癬、IBD、ぶどう膜炎、甲状腺疾患の既往なし

(症例提供・監修)    杏林大学医学部 腎臓・リウマチ膠原病内科 准教授 岸本 暢将 先生

現病歴

軽度の糖尿病と高尿酸血症(3年前~)で近医内科通院中。2週間前から左足首の痛みで歩行困難となり近医内科受診。非ステロイド性消炎鎮痛薬(NSAIDs)無効。37度台の微熱 夜間寝返りにて首の痛みあり寝違えかと思っていた。両足首痛となり、疼痛軽減せず近医整形外科受診。リウマトイド因子陰性、(血液)尿酸値5.9mg/dl。原因不明の関節炎として当院紹介となる。

初診時

皮膚には爪異常や乾癬はなし。血液検査:尿酸5.8mg/dl, CRP12mg/dl, リウマトイド陰性、抗CCP抗体陰性、TSPOT陰性、ASO陰性、尿検査:尿C.トラコマティスPCR陰性(写真1)。

化膿性関節炎および痛風性関節炎を疑い、左足首から関節穿刺。NSAIDs変更し継続。3日後関節液細菌培養検査陰性、結晶検出されなかったため、症状軽減目的に関節内ステロイド注射施行するも1週後足首痛軽快せず再診(写真2)。単純X線踵骨側面像を示す(写真3)

写真1 初診時

Image
case001_01_rev.png

左足足首周囲の腫脹と発赤炎症は中足部まで及ぶ
左足第2趾に指趾炎

写真2 右足首関節注射1週後

Image
case001_02_rev.png

両側アキレス腱付着部周囲の腫脹と圧痛(上)
右足首の軽度腫脹と圧痛、左足首は圧痛残存(下)

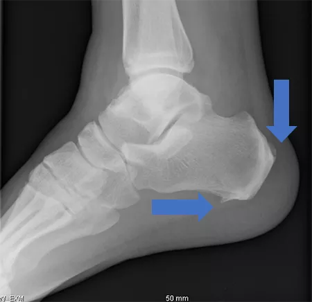
写真3 単純X線踵骨側面像

Image
case001_03_rev.png

踵骨のアキレス腱および足底腱膜付着部に靭帯骨棘形成あり

CTX00014JG0001
2023年4月作成

弊社製品についてのお問い合わせ