ルタテラ 特徴的な症状を現すNEN(神経内分泌腫瘍)の診断

 

画像ご提供:関西電力病院 外科 部長 河本 泉 先生

 

インスリノーマ

動悸、指の震え、冷や汗、朝の起床が遅れる、空腹になり易い、間食が多い、肥る、計算間違いが多い、仕事に集中できない、記憶喪失、失神、意識喪失などを訴えて、精神疾患の受診を勧めたくなった時は、インスリノーマを疑って下さい。空腹時に血糖値と血中インスリン濃度を同時採血で調べ、低血糖状態でも血中インスリンが高い場合には診断が確定します。確定診断できない場合には、専門医にて絶食試験やCペプチド抑制試験による診断を行います。
局在診断に関しては、CTや内視鏡的超音波断層検査(EUS)で腫瘍が分かる場合もありますが、腫瘍が描出されない時には、カルシウムを用いる選択的動脈内刺激薬注入試験(SASI Test)を行います。

Image
02_img01.gif

SASI Test(インスリノーマ例)*

Image
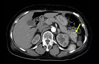
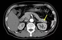
02_img02.jpg

CT画像(インスリノーマ例)**

*:脾動脈からの刺激で有意反応を認めた
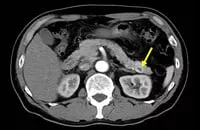
**:腫瘍を矢印で示す

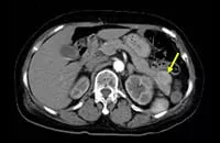
Image
02_img03.jpg

CT画像(インスリノーマ例)**

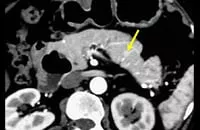
Image
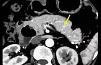
02_img04.jpg

EUS画像(インスリノーマ例)

ガストリノーマ

消化性潰瘍や逆流性食道炎が治りにくい場合、潰瘍の穿孔が繰り返される場合、プロトンポンプ阻害薬やH2受容体拮抗薬などで治療していた潰瘍が薬の服用をやめるとすぐ再発したり、潰瘍発生が繰り返される場合には、ガストリノーマを疑ってすぐ空腹時血清ガストリン濃度を測定して下さい。疑わしい場合には、セクレチン試験やカルシウム試験にて診断を確定します。局在診断には、セクレチンやカルシウムを用いるSASI Testが有用です。

 

Image
02_img05.gif

SASI Test(ガストリノーマ例)*

 

*:胃十二指腸動脈からの刺激で有意反応を認めた

 

VIP オーマ

激しい下痢が突然出現して、通常の止痢剤を増量しても全く無効の場合や、下痢が続いて血清カリウム濃度が低下している場合には、途方に暮れる前にVIPオーマを疑って血清VIP濃度を測定して下さい。VIPオーマの診断がつけば、下痢の制御がソマトスタチンアナログの注射で可能となります。症状を落ち着かせた後、CTなどの画像診断法とカルシウムを用いるSASI Testで局在診断します。

 

Image
02_img06.gif

SASI Test(VIPオーマ例)*

 

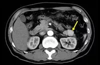
Image
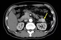
02_img07.jpg

CT画像(VIPオーマ例)**

 

*:脾動脈からの刺激で有意反応を認めた
**:腫瘍を矢印で示す

 

グルカゴノーマ

下腹部から会陰部、大腿部に痛みを伴う紅斑ができて、通常の薬で治癒せず、次々移動する場合には、グルカゴノーマを疑って、空腹時血清グルカゴン濃度を測定して下さい。血中アミノ酸値も低下しています。症状が軽い場合にも血清グルカゴン濃度を測って、CT検査をして下さい。腫瘍が描出される場合があります。局在が分からない場合には、SASI Testで局在診断します。

 

Image
02_img08.gif

SASI Test(グルカゴノーマ)*

 

Image
02_img09.jpg

CT画像(グルカゴノーマ例)**

 

*:脾動脈からの刺激で有意反応を認めた
**:腫瘍を矢印で示す

 

ソマトスタチノーマ

胆石や糖尿病の患者さんの中には、ソマトスタチノーマの患者さんが混じっています。脂肪便が続く場合や、貧血や体重減少などの場合に、空腹時血清ソマトスタチン濃度を測定して高値であれば診断が確定します。十二指腸や膵臓以外に直腸などにも発生します。

 

カルチノイド腫瘍

皮膚の異常な潮紅が見られる場合には、カルチノイド症候群を来す腫瘍が疑われます。このような症状の発現は肝転移の場合に見られます。他には、下痢や腹痛、喘息のような呼吸音、心不全なども出現します。肝転移をしていない腸管カルチノイドの場合にはこのような症状を引き起こすアミンが肝臓で代謝されるために、症状は発現しないのが普通です。肝転移した場合には、麻酔導入や侵襲的処置を受けている時に、突然カルチノイドクリーゼを来して、血圧の急変や頻脈、不整脈、喘息様呼吸など恐慌を来す場合があります。診断には、24時間尿中5-ハイドロキシインドール酢酸(5-HIAA)の測定が有用です。

 

弊社製品についてのお問い合わせ