アフィニトール 結節性硬化症(TSC)
監修:大野耕策 先生(鳥取大学名誉教授) |
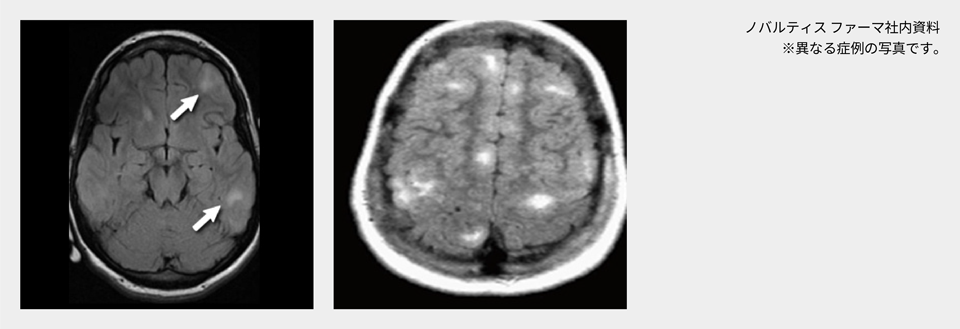
脳病変(SEGA、大脳皮質結節、SEN等)
結節性硬化症に伴う脳病変の種類
結節性硬化症患者の脳病変には、①上衣下巨細胞性星細胞腫(subependymal giant cell astrocytoma:SEGA)、②大脳皮質結節(cortical tuber)、③上衣下結節(subependymal nodule:SEN)、④放射状大脳白質神経細胞移動線があります(表1)1)~3)。
表1 結節性硬化症の脳病変(海外データ)
発現率 | 特徴 | |
---|---|---|
SEGA | 5~20% |
|
Image
![]() | ||
大脳皮質結節 | 95~100% |
|
Image
![]() | ||
SEN | 95~98% |
|
Image
![]() |
Roach ES, et al. J Child Neurol 1998; 13: 624-628
Crino PB, et al. Neurology 1999; 53: 1384-1390
疫学と発現時期
SEGAは出生後の比較的早期に認められ(図1)、発現率は調査により異なり5~15%と報告されています4)。20歳以降にあらたに発生することはないといわれています5)。大脳皮質結節は、結節性硬化症患者の約90%に認められます。SENの多くは出生時、または胎児期に認められ結節性硬化症患者の約80%に認められます(図2)。放射線状大脳白質神経細胞移動線は、結節性硬化症患者の約40%に観察されます。


日本人結節性硬化症患者におけるSEGA/SENの発現頻度
病態・症状
① 上衣下巨細胞性星細胞腫(subependymal giant cell astrocytoma:SEGA)
SEGAの発現部位は側脳室の上衣下層です。良性腫瘍であり、通常は緩徐に増大して、25歳以降になるとほとんどの患者で増大は停止します5)。十分な大きさに達するまでは臨床的に明らかとならないことが多いですが、小児期には病変が急速に増大することがあるため、特に注意が必要といわれています。
増大すると、てんかんの悪化、局所神経兆候、視力障害、認知障害の増強および行動変化などの症状を引きおこすことがあります。さらにモンロー孔の閉塞による水頭症(図4)や頭蓋内圧亢進症状(頭痛、嘔吐、両側性の乳頭浮腫など)の発生から死に至る可能性があります。また、精神遅滞を伴う患者も少なくなく、症状や体調不良を言葉で訴えられない点に注意が必要です11)。
なお、SEGAの3分の1は血管が豊富なため、急速に増大した場合には出血をきたす頻度が高くなります。 SEGAは、10~40歳に特徴的な死因として注意が必要です12)13)(図5)。


② 大脳皮質結節(cortical tuber)
大脳皮質結節は、本疾患の病名Tuberous Sclerosisの由来となった病変で、大脳皮質にできる直径1cm程度から5cm程度までの限局した結節性の病変です。
大脳皮質結節は、結節性硬化症の精神神経学的症状(てんかん、精神遅滞、自閉症など)と関与しており、結節数が多いほどてんかん発作をおこしやすく発達への影響が強いとされる報告もあります。
③ 上衣下結節(subependymal nodule:SEN)
SENは、側脳室の上衣下壁に多発する過誤腫病変です。通常は無症状で3)、一般的に精神神経学的症状とは無関係と考えられています。
加齢とともに線維性グリオーシスと石灰化が明らかになるとされています。また、発現部位がモンロー孔の近くであることから、5mm以上になって完全な石灰化を認めない場合は、SEGAに進展する可能性が高まります。
④ 放射状大脳白質神経細胞移動線
大脳白質に生じる病変で、放射状の白質のバンドはMRIやCTなどの画像検査で可視化できます。 これらの画像所見は、神経細胞の移動障害とグリア細胞の発達の分化の異常を示しています。
脳病変はTSC1、TSC2遺伝子の変異のタイプによって症状の発現傾向に関連がみられるという報告7)14)もあります。
検査・診断
SEGA等の脳病変の疑いがある場合や確定診断の検査には、CTまたはMRI検査が行われます。また、SENは5〜10㎜未満で通常造影されませんが11)、SEGAに進展する可能性があるため、定期的な画像検査で観察を継続して、増大を早期に発見する必要があります。
SENは治療の必要がないのに対して、SEGAは場合によっては病変の増大に伴い、頭蓋内圧亢進や水頭症の原因となり治療が必要なため、臨床上SENとSEGAの鑑別が重要です。しかし、臨床および画像診断上の基準に関してはまだ議論の余地が残されています15)(表2)。
結節性硬化症の診断に用いられる基準16)において、SEGA、大脳皮質結節、SENが大症状(結節性硬化症に特異性が高い症状)に、放射状大脳白質神経細胞移動線が小症状に挙げられています。診断基準の詳細はこちらよりご覧下さい。
表2 SENとSEGAの臨床および画像診断上の基準
基準 | SEN | SEGA |
臨床症状 | ・無症状 | ・頭蓋内圧の上昇 ・てんかんの悪化 ・局所神経兆候 ・視力障害 ・認知障害の増強および行動変化 |
発現年齢 | ・無症状のまま | ・21歳以上で発見されるのは例外的 |
CT画像 | ・高吸収域 ・石灰化 | ・低吸収域あるいはわずかに高吸収域 ・まれに薄い石灰化 |
MRI画像 | ・緩和時間に応じ様々な所見 ・コントラスト増強はわずか | ・T1強調画像 高信号 ・T2強調画像 高信号 ・コントラスト増強が顕著 |
経時的な増大 | ・なし | ・3~4mm/年 |
直径 | ・5mm以下 | ・5mmを超える |
脳室 | ・正常 | ・水頭症がよくみられる |
好発部位 | ・側脳室壁 | ・モンロー孔付近 |
SEN:上衣下結節、SEGA:上衣下巨細胞性星細胞腫
文献15)より引用
治療
SEGAに対する治療は、病変の管理と症状の予防を目的としており、外科的切除が第一選択とされています15)17)(図6)。 症状が現れてから手術を行うと、片麻痺や記憶障害などの合併症が生じやすくなるため、増大傾向がある場合や脳室の増大が認められる場合は症状がなくても早期に外科的切除を行うことが望ましいとされています。完全切除ができた場合は予後が極めて良いものの、一部残存した場合には再発の頻度が高いとされています4)17)。
また、結節性硬化症の治療薬として、mTOR阻害剤アフィニトール®が使用可能です。アフィニトール®のSEGAに対する有効性・安全性については、こちらをご覧ください。
なお、日本小児神経外科学会・日本結節性硬化症学会・日本臨床腫瘍学会の「上衣下巨細胞性星細胞腫(SEGA)診療ガイドライン」 では、SEGAの診療について解説されています。詳細については、こちらをご覧ください。

文献
1) Roach ES, et al. J Child Neurol 1998; 13: 624-628
2) Crino PB and Henske EP. Neurology 1999; 53: 1384-1390
3) Curatolo P, et al. Lancet 2008; 372: 657-668
4) 金田眞理, 他. 日皮会誌 2018; 128: 1-16
5)結節性硬化症の診断と治療最前線.日本結節性硬化症学会編.診断と治療社、2016
6) Wataya-Kaneda M, et al. PLoS ONE 2013; 8: e63910
7) Dabora SL, et al. Am J Hum Genet 2001; 68 :64-80
8) Sancak O, et al. Eur J Hum Genet 2005; 13: 731-741
9) Chopra M, et al.J Paediatr Child Health 2011; 47: 711-716
10) Hallett L, et al.Curr Med Res Opin 2011; 27:1571-1583
11)脳腫瘍診療ガイドライン2019年版.特定非営利活動法人日本脳腫瘍学会編、一般社団法人日本神経外科学会監修.金原出版、2019
12) Umeoka S, et al. Radiographics 2008; 28: e32
13) Shepherd CW, et al. Mayo Clin Proc 1991; 66: 792-796
14) 大野耕策. 日小児会誌 2002; 106: 1556-1565
15) Berhouma M. World J Pediatr 2010; 6: 103-110
16) Northrup H, et al. Pediatr Neurol. 2013 Oct; 49(4): 243–254.
17) 金田眞理. 皮膚病診療 2011; 33: 183-191
18) 金田眞理, 他. 日皮会誌 2008; 118: 1667-1676