
Diagnostic de l’arthrite psoriasique
L'anamnèse et l'examen clinique sont déterminants pour faire la distinction avec d'autres maladies rhumatismales inflammatoires. Les symptômes se chevauchent souvent avec l'ostéoarthrite, la polyarthrite rhumatoïde et d'autres spondyloarthrites.
75 à 80 % des patients atteints d’arthrite psoriasique (APs) présentent auparavant des manifestations cutanées de psoriasis (Pso). L’atteinte articulaire survient 7 à 12 ans après le diagnostic du psoriasis (classification de l’APs).
Un diagnostic et un traitement précoces sont importants, car des atteintes articulaires irréversibles peuvent apparaître dès les deux premières années après le début d'une APs.1
Par conséquent, le dépistage de routine des signes et des symptômes d’APs chez tous les patients psoriasiques est une mesure importante pour une détection précoce de la maladie. Différents instruments ont été mis au point dans ce but.1
Les patients présentant un risque accru d’APs devraient être soumis à un examen plus approfondi. Il est possible de les reconnaître grâce au questionnaire GEPARD ou PEST.
Les critères CASPAR (spécificité de 99 %) sont également pertinents en pratique clinique, cependant, en raison de leur grande sensibilité, elles sont principalement utilisées dans des études cliniques. Ils se fondent sur l’anamnèse, la présentation clinique et les preuves issues de la radiologie et du diagnostic de laboratoire. La condition préalable est l’existence d’une maladie articulaire inflammatoire. Dans le cas de l’APs, elle se manifeste par une rigidité articulaire, une sensibilité à la pression et des gonflements des articulations, une enthésite, une dactylite ou une atteinte axiale.
Le diagnostic de l’arthrite psoriasique se base donc sur
l’anamnèse
l’examen physique
le diagnostic de laboratoire
les signes radiologiques caractéristiques 2
Les aspects déterminants de l’anamnèse sont :
antécédents personnels ou familiaux de psoriasis
articulations gonflées ou sensibles à la pression
rigidité articulaire la nuit/le matin
dactylite
Vous trouverez ici les deux questionnaires à votre disposition:
Mise en évidence d’un psoriasis
La présence d'un psoriasis - actuelle ou passée - constitue un critère clé pour le diagnostic d'arthrite psoriasique en présence d'arthrite inflammatoire, d'enthésite, de dactylite ou de spondylite.1
Les antécédents familiaux peuvent également apporter des indications importantes : si le psoriasis est répandu dans la famille (1er ou 2e degré de parenté), les douleurs articulaires font suspecter une arthrite psoriasique.
Toutefois, le Psoriasis n'est pas un indicateur fiable de la présence d’une arthrite psoriasique. Environ 10 à 15 % des personnes atteintes d’arthrite psoriasique ne présentent pas de manifestations cutanées associées ou antérieures.1

Signes unguéaux
L’atteinte psoriasique unguéale (ongles ponctués, onycholyse, hyperkératose) peut également contribuer à orienter le diagnostic d’arthrite psoriasique et, parmi d’autres critères, de la distinguer de la polyarthrite rhumatoïde. 80 % des patients atteints d’arthrite psoriasique présentent des modifications unguéales.3
Inflammations des articulations, des tendons et de la colonne vertébrale
Il existe un fort soupçon d’arthrite psoriasique chez les patients psoriasiques présentant une arthrite, une enthésite, une dactylite ou une spondylarthrite à l’examen clinique.

L’enthésite, inflammation douloureuse de la base (ou enthèse) des tendons, ligaments ou capsules, peut être l’un des premiers signes d’arthrite psoriasique.1 Dans l’APs, cette modification inflammatoire des enthèses des tendons touche souvent le tendon d’Achille, le fascia plantaire du pied, ainsi que les insertions musculaires au niveau des os du bassin.4

La dactylite, c’est-à-dire le gonflement d’un doigt ou d'un orteil sur toute sa longueur, survient chez 50 % des patients atteints d’APs. Elle peut être l’un des marqueurs de la progression de la maladie.1

L’arthrite peut toucher de nombreuses articulations et se manifeste par des gonflements, des rougeurs, une sensibilité et une restriction de la mobilité. La gravité et les caractéristiques d’atteinte des articulations périphériques et axiales diffèrent selon les patients1.
Chez 80 % des patients, l’atteinte de l’arthrite psoriasique est asymétrique et moins de cinq articulations des extrémités supérieures et inférieures sont touchées. Chez environ 16 % des patients, plus de cinq articulations sont touchées.2 L’examen radiologique met en évidence des modifications articulaires typiques de l’APs. Il est essentiel de diagnostiquer et de traiter rapidement l’APs afin d’éviter une érosion, une ankylose et une destruction des articulations concernées au cours de la progression de la maladie.2

L’arthrite axiale et la spondylarthrite ankylosante (SA) partagent des signes cliniques. Jusqu’à un quart des patients atteints d’APs ou de SA remplissent les critères des deux maladies.5 Toutefois, l’APs axiale se distingue de la SA, surtout par ses signes radiologiques 5-9 .
Les lésions symétriques sont caractéristiques de la SpA axiale, tandis que la sacro-iliite asymétrique est fréquente en cas d’APs2
Une distribution asymétrique des syndesmophytes est fréquente lors d’APs8
Le degré de gravité axial radiologique peut être plus élevé pour la SA que pour l’APs5
Il est plus probable de voir apparaître une ankylose et des syndesmophytes en pont en cas de SA5
L’atteinte de la colonne cervicale et la fusion des facettes articulaires sont plus fréquentes10
Diagnostic de laboratoire de l’arthrite psoriasique
Les examens sanguins menés chez les patients atteints d’arthrite psoriasique servent en premier lieu à exclure d’autres maladies et à contrôler le traitement.1
Il n'existe aucun paramètre de laboratoire pour diagnostiquer l'APs.
L’arthrite psoriasique est une maladie séronégative des articulations. Chez ces patients, le facteur rhumatoïde est donc généralement négatif. Chez environ 5 à 9 % des patients, il est mis en évidence dans le sang. Comme le test du facteur rhumatoïde donne souvent lieu à un résultat faux positif, la positivité du facteur rhumatoïde ne permet pas d’exclure un diagnostic d’APs.2 L’absence d’anticorps dirigés contre les peptides cycliques citrullinés (PCC), qui peuvent généralement être mis en évidence en cas de polyarthrite rhumatoïde (PR), est l’un des critères permettant de distinguer une arthrite psoriasique d’une polyarthrite rhumatoïde.11 Toutefois, jusqu’à 13 % des patients atteints d’APs peuvent présenter des anticorps anti-PCC.1
HLA-B27 est le seul facteur de risque génétique commun aux deux maladies. Cependant, en cas d’arthrite psoriasique, les atteintes axiales sont plus souvent associées à d’autres gènes HLA qu’au gène HLA-B27.6
La vitesse de sédimentation (VS) et la protéine C réactive (CRP) sont augmentées chez environ la moitié des patients atteints d’APs. Des valeurs faibles de VS sont associées à un risque moindre de progression de la maladie. Toutefois, une VS et des valeurs de CRP normales ne devraient pas exclure un diagnostic d’APs.11
Imagerie caractéristique de l’arthrite psoriasique
Examen radiographique
Les examens d’imagerie sont utiles pour évaluer les patients en cas de suspicion d’arthrite psoriasique. La méthode principale est l’examen radiologique.2
En cas d’arthrite psoriasique, on observe des modifications typiques sur les radiographies:2
érosions articulaires
rétrécissement de l’interligne articulaire
ostéoprolifération
ostéolyse (p. ex. aspect en cupule)
acro-ostéolyse, ankylose
formation d’épines
spondylite
Les signes radiologiques se distinguent nettement de ceux de la polyarthrite rhumatoïde.2
IRM, TDM et scintigraphie
La tomodensitométrie (TDM) et l’imagerie par résonance magnétique (IRM) occupent une place particulière dans la représentation de la sacro-iliite et de la spondylarthropathie.
La scintigraphie osseuse peut contribuer à caractériser le mode de répartition des lésions.4
Échographie
Il est recommandé d’utiliser l’échographie articulaire pour le diagnostic différentiel d’une enthésite/dactylite.4
L'échographie est une méthode d'imagerie hautement sensible et non invasive. Elle permet de mettre en évidence l'atteinte des tissus mous chez les patients atteints de spondyloarthropathies.
Comparée à l'IRM, l'échographie présente une sensibilité supérieure pour détecter les signes précoces d'enthésite.12
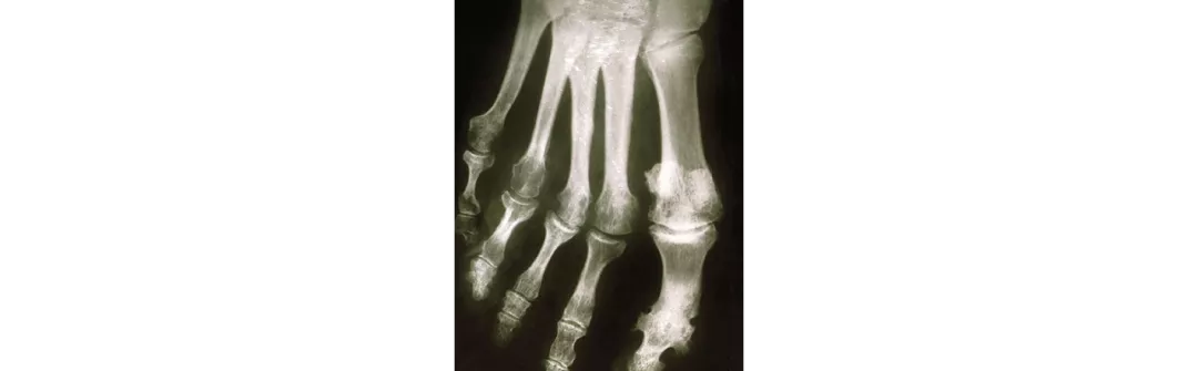
Modifications radiologiques typiques dans le cadre de l’arthrite psoriasique 4
Atteinte articulaire périphérique:
Atteinte des articulations IPD
Erosion asymétrique des articulations IPD/ atteinte des articulations IPP (en saucisse)
Survenue concomitante de manifestations radiologiques ostéolytiques et ostéoprolifératives
Ostéolyses marquées et en longueur (aspect en cupule, doigts/ orteils en lorgnette)
Tendance à l’ankylose
Périostite des régions osseuses extra-articulaires
Enthésite calcifiante
IPD = (articulation) interphalangienne distale; IPP = (articulation) interphalangienne proximale
Aperçu modifié selon la référence 4.
Types d’évolution dans les spondylarthropathies:
Sacro-ilite unilatérale
Syndesmophytes asymétriques
Dislocation atlanto-occipitale
Références :
Mease PJ, Armstrong AW. Managing patients with psoriatic disease: the diagnosis and pharmacologic treatment of psoriatic arthritis in patients with psoriasis. Drugs. 2014 Mar;74(4):423-41. doi: 10.1007/s40265-014-0191-y.
Mease P et al. Diagnosis and treatment of psoriatic arthritis J Am Acad Dermatol., 2005; 52(1):1-19. https://doi.org/10.1016/j.jaad.2004.06.013.
Williamson L et al, Extended report: nail disease in psoriatic arthritis clinically important, potentially treatable and often overlooked. Rheumatology (Oxford), 2004: 43(6):790-794.
Boencke WH et al. Psoriasis-Arthritis – eine interdisziplinäre Herausforderung. Dtsch Arztebl. 2006; 103(21): A-1455 / B-1242 / C-1193.
Jadon DR et al. Axial Disease in Psoriatic Arthritis study: defining the clinical and radiographic phenotype of psoriatic spondyloarthritis. Ann Rheum Dis, 2017; 76: 701-707. doi:10.1136/annrheumdis-2016-209853.
Feld J et al. Axial disease in psoriatic arthritis and ankylosing spondylitis: a critical comparison. Nat Rev Rheumatol. 2018;14(6):363-371. doi: 10.1038/s41584-018-0006-8.
Sudoł-Szopińska I et al. Diagnostic imaging of psoriatic arthritis. Part I: etiopathogenesis, classifications and radiographic features. J Ultrason. 2016; 16(64): 65-77. doi: 10.15557/JoU.2016.0007.
Baraliakos X, Coates LC, Braun J. The involvement of the spine in psoriatic arthritis. Clin Exp Rheumatol. 2015;33(7):31-35. PMID: 26471338.
Sieper J, Braun J, Rudwaleit M, Boonen A et al. Ankylosing spondylitis: an overview. Ann Rheum Dis. 2002;61 (Supplement 3): 8iii-18. doi: 10.1136/ard.61.suppl_3.iii8.
Ward MM & Tan S. Better Quantification of syndesmophyte growth in axial spondyloarthritis. Current Rheumatology Reports. 2018:20:46. doi: 10.1007/s11926-018-0759-8.
Boencke WH et al. Diagnosing and Treating psoriatic arthritis: an update. Br J Dermatol. 2014;170(4):772-86. doi: 10.1111/bjd.12748.
Cantini F et al. Psoriatic arthritis: a systematic review. Int J Rheum Dis. 2010;13(4):300-17. doi: 10.1111/j.1756-185X.2010.01540.x.
Novartis fournit les références listées sur demande.