Image
Дифференциальная диагностика СпА

Дифференциальная диагностика СпА

Трудности и этапы дифференциальной диагностики СпА

Во врачебной практике больные с заболеваниями опорно-двигательного аппарата встречаются очень часто. МКБ-10 включает более 150 различных нозологических форм ревматических заболеваний. Поражение суставов встречается также при неревматических заболеваниях:

  • болезнях легких;
  • системы крови;
  • эндокринных заболеваниях;
  • инфекционных болезнях;
  • онкопатологии и др.

Дифференциальная диагностика — в медицине способ диагностики, исключающий не подходящие по каким-либо фактам или симптомам заболевания, возможные у больного, что в конечном счете должно свести диагноз к единственно вероятной болезни.

Дифференциальную диагностику в медицине можно разделить на три этапа:
  • В первый этап входит сбор анамнеза заболевания, то есть тщательное изучение истории данного заболевания у больного, выяснение причин его появления.
  • Во второй этап входит осмотр больного и симптоматика.
  • Третий этап дифференциальной диагностики является заключительным. Сюда входят лабораторные и инструментальные исследования для подтверждения правильности поставленного диагноза1.

Для того чтобы понять, как лучше проводить дифференциальную диагностику , рассмотрим подробнее некоторые патогенетические и физиологические особенности этой группы заболеваний.

Спондилоартриты (СпА) — группа хронических воспалительных заболеваний позвоночника, суставов, энтезисов, характеризующаяся общими клиническими, рентгенологическими и генетическими особенностями.

Image
Современная концепция спондилоартритов
Общие клинические особенности:
  • синовит (асимметричный с преимущественным поражением суставов нижних конечностей);
  • дактилит;
  • боли в местах прикрепления сухожилий, суставных капсул, связок к кости (энтезит);
  • поражение кожи ();
  • поражение глаз (передний увеит);
  • хроническое воспалительное заболевание кишечника.
Общие рентгенологические особенности:
  • сакроилиит по данным рентгенографии (по Kelgren) или магнитно-резонансной томографии (активные воспалительные изменения в крестцово-подвздошных суставах с достоверным отеком костного мозга (остеитом), характерным для сакроилиита при СпА — рекомендации ASAS);
  • пролиферация костной ткани в области суставов и энтезисов.
Общие генетические особенности:
  • Повышенная ассоциация с различными генами, из которых наиболее часто встречающимся является HLA-B27.
  • Наличие у родственников 1-й или 2-й степени родства любого заболевания из нижеследующих:

    • анкилозирующий спондилит;
    • псориаз (подтвержденный дерматологом);
    • увеит (подтвержденный окулистом);
    • хроническое воспалительное заболевание кишечника (документально подтвержденное);
    • недифференцированный спондилоартрит.

Существуют трудности с дифференциальной диагностикой аксиального спондилоартрита и псориатического артрита при вовлечении позвоночника и сопутствующем псориазе.

Диагностические критерии не всегда позволяют четко дифференцировать одно заболевание от другого.
Image
Frame 24062079 (1).png
Схожие клинические проявления могут быть у пациентов как с аксСпА, так и с ПсА (сакроилиит, ВБС, псориаз и т. д.).
Image
Frame 24062081.png
HLA-B27 обуславливает патогенетическое сходство АС и ПсА14.
Image
Frame 24062082.png
Существуют демографические и генетические различия между аксПсА и АС и АС с псориазом.

Данные сравнения когорт АС и ПсА (n = 2069 пациентов).

На момент выявления заболевания пациенты с АС моложе, преобладает мужской пол, HLA‑B*27‑положительные.

Image
Frame 24062049.png

Примечание.

Адаптировано из Feld 2019 Rheumatology doi:10.1093/rheumatology/kez457.

Дифдиагностика спондилоартритов

Для выявления больных с подозрением на СпА необходимо знать основные признаки, указывающие на воспалительный характер боли в спине:

  • возраст 3 мес.;
  • постепенное начало;
  • утренняя скованность > 30 мин.;
  • улучшение при физической нагрузке;
  • отсутствие улучшения в покое;
  • пробуждение от боли, особенно во второй половине ночи, и уменьшение боли при вставании с постели;
  • перемежающаяся боль в ягодицах.

У каждого пациента с ранним артритом, направленного к ревматологу, следует оценить предикторы персистенции активности болезни, определив число припухших и болезненных суставов, СОЭ, уровень СРБ, РФ, АЦЦП, АНФ и выполнив рентгенографию крестцово-подвздошных сочленений, мелких суставов кистей и стоп. МРТ-диагностика поможет выявить воспалительные и дегенеративные изменения, которые не видны на рентгенограмме16.

Далее подробно рассмотрим изменения в опорно-двигательном аппарате при патологиях, которые возможно спутать в процессе инструментальной диагностики спондилоартритов.

 

Визуализационные методы дифференциальной диагностики

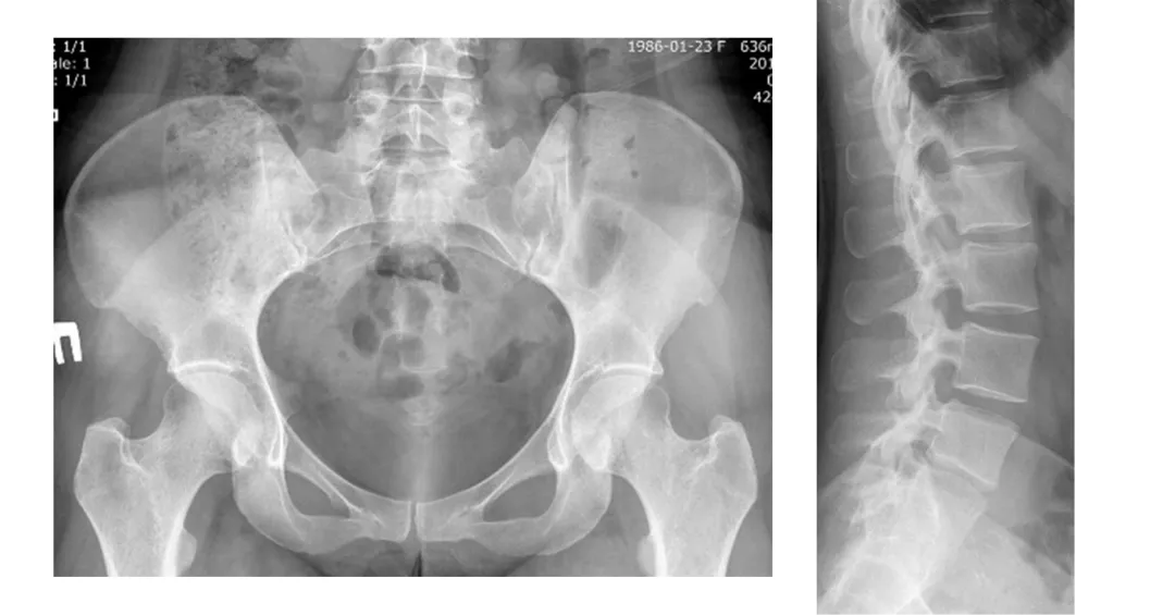
Анкилозирующий спондилит2

Анкилозирующий спондилит (АС) — хроническое воспалительное заболевание, характеризующееся преимущественным поражением энтезисов КПС и позвоночника, приводящее к остеопролиферации и структурной прогрессии позвоночника. К сожалению, на сегодняшний момент в РФ средний путь пациента от первых симптомов к диагнозу занимает около 7 лет. В большинстве случаев пациенты попадают к врачу-ревматологу в стадии, при которой уже произошли необратимые повреждения позвоночника, которых можно было бы избежать в случае более ранней постановки верного диагноза и назначения адекватного лечения. Пациенты вынуждены страдать от ограничений подвижности позвоночника, боли, повышенной утомляемости, не могут выполнять стандартные бытовые действия, например завязать шнурки. Именно поэтому крайне важно своевременно провести верную рентген‑/МРТ‑диагностику у данных пациентов. А после правильной постановки диагноза важно регулярно (не реже раза в 2 года) оценивать рентгенологическое прогрессирование2.

Image
Frame 24061577.png
Image
Frame 24061578.png
Image
Frame 24061580.png
Image
 МРТ крестцово-подвздошных суставов

Нерентгенологический аксиальный спондилоартрит2

Нерентгенологический аксиальный спондилоартрит, как и АС, является заболеванием, в основе которого лежат воспалительные процессы в энтезисах (преимущественно КПС и позвоночника). Однако в отличие от АС на рентгене у таких пациентов вы не увидите сакроилиита. Это является дополнительным барьером для своевременной постановки диагноза у данных пациентов. При этом тяжесть симптомов у таких пациентов сопоставима с пациентами с АС. В связи с этим для выявления нр-аксСпА крайне важно проводить своевременную МРТ-диагностику2,8.

Image
Frame 24062082 (1).png
Image
Frame 24062083.png
Image
Frame 24062084.png

Псориатический артрит3

Псориатический артрит — заболевание, при котором в процесс могут вовлекаться как мелкие, так и крупные суставы, а также позвоночник. Структурные повреждения при ПсА являются основной причиной инвалидизации больных. Вот, к примеру, такой пациент с мутилирующим артритом не сможет выполнить элементарных движений — взять в руки ложку или мобильный телефон, застегнуть пуговицы или завязать шнурки. Все это, конечно, приносит большие страдания пациентам3,9.

Image
Frame 24061577 (1).png
Image
Frame 24061577 (1).png
Image
Frame 24061578 (1).png

Типичные рентгенологические проявления ПсА — костные пролиферации и эрозии4

Image
Frame 24062082 (2).png

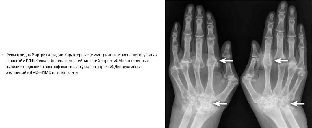
Ревматоидный артрит17

На практике ПсА часто путают с ревматоидным артритом, поскольку при обоих заболеваниях могут поражаться мелкие суставы кистей, характерны костные эрозии. В то же время для РА помимо характерных клинических симптомов есть ряд рентгенологических признаков7.

Image
Frame 24062090.png
Image
Frame 24061577 (2).png

Аксиальный ПсА3

Аксиальное поражение при целенаправленном обследовании пациентов с ПсА выявляется достаточно часто — до 70% случаев; задержка в диагностике связана, как правило, с непостоянным характером воспалительной боли в спине. При вовлечении осевого скелета в воспалительный процесс при ПсА наблюдается более тяжелое течение заболевания, более высокая активность, чем у пациентов, имеющих только периферическое поражение, при этом наблюдаются более грубые структурные изменения.

В соответствии с Национальными клиническими рекомендациями по ПсА рентгенография таза и позвоночника для диагностики аксиального поражения показана всем пациентам с ПсА7.

Поражения осевого скелета при ПсА имеют свои особенности3.

Асимметричные синдесмофиты, часто малочисленны, имеют больший размер и объемную форму.

Image
Frame 24061581.png

Характерными для ПсА являются паравертебральные оссификаты (см. рис.). Они имеют вытянутую форму, расположены в мягких тканях вдоль оси позвоночника, по одной из латеральных поверхностей тел позвонков и межпозвонковых дисков. В начальной стадии они не связаны костным основанием с телами позвонков. В более поздние сроки оссификаты соединяются с телами позвонков в местах прикрепления передней продольной связки позвоночника.

Image
Frame 24061578 (2).png

Сакроилиит при ПсА3

Сакроилиит при рентгенографии диагностируется примерно у 30% больных ПсА, при этом каждый четвертый (26%) пациент не жаловался на боль в спине. Поэтому наличие аксиальных поражений при ПсА необходимо активно выявлять3.

Image
Frame 24062083 (1).png
У пациентов с ПсА молчащий сакроилиит. Нужно активно выявлять ВБС!3,18
Image
Frame 24062084 (1).png
В соответствии с Национальными клиническими рекомендациями по ПсА всем пациентам рекомендуется проведение рентгенографического исследования5:
Image
Frame 24062085.png

Список литературы

  1. Галушко Е. А., Гордеев А. В., Лила А. М. Ранний артрит и заболевания органов пищеварения. Взгляд ревматолога //Экспериментальная и клиническая гастроэнтерология. – 2021. – №. 3. – С. 186-193.
  2. Смирнов А. В. Атлас рентгенологической диагностики анкилозирующего спондилита (болезни Бехтерева). – 2014
  3. Смирнов А. В. Атлас рентгенологической диагностики псориатического артрита. – 2020
  4. Ying-Ying Leung, Lai-Shan Tam, Emily Wai-Lin Kun, Edmund Kwok-Ming LiHong Kong Bull Rheum Dis 2008;8:1-11
  5. Федеральные клинические рекомендации по ведению больных псориатическим артритом. https://rheumatolog.su/media/media/2018/07/18/clinrec_psorart.pdf
  6. Смирнов А. В. Атлас рентгенологической диагностики ревматоидного артрита. – 2014.
  7. Губарь Е.Е., Логинова Е.Ю., Коротаева Т.В. и др. Сравнительная характеристика раннего псориатического артрита с поражением и без поражения осевого скелета (субанализ общероссийского регистра пациентов с псориатическим артритом). Научно-практическая ревматология. 2019;57(6):636-641
  8. Lapshina S. et al. AB0696 THE PATH OF A PATIENT WITH AXIAL SPONDYLOARTHRITIS TO DIAGNOSIS IN RUSSIA, DATA FROM THE EMAS SURVEY. – 2020.
  9. Deodhar A. et al. Secukinumab improves signs and symptoms of non‐radiographic axial spondyloarthritis: primary results of a randomized controlled phase III study //Arthritis & Rheumatology. – 2020.
  10. Feld J, et al. Nat Rev Rheumatol 2018;14:363–71.
  11. Protopopov M, Poddubnyy D, Expert Rev Clin Immunol. 2018;14:525–533.
  12. Poddubnyy D, et al. Ann Rheum Dis. 2011;70:1369–1374.
  13. Sieper J, van der Heijde D, Arthritis Rheum. 2013;65:543–51.
  14. Joy Feld et al. Axial disease in psoriatic arthritis and ankylosing spondylitis: a critical comparison. Nature reviews. Rheumatology | 13 May 2018.
  15. Jadon DR, Sengupta R, Nightingale A, et al. Ann Rheum Dis 2017;76:701–707.
  16. Чичасова НВ. Дифференциальная диагностика при поражении суставов и позвоночника. Современная ревматология. 2020;14(2):14–19. DOI: 10.14412/1996-7012-2020-2-14-19.
  17. Смирнов А. В. Атлас рентгенологической диагностики ревматоидного артрита. – 2020.
  18. Jadon, D. R. et al. Axial disease in psoriatic arthritis study: defining the clinical and radiographic phenotype of psoriatic spondyloarthritis. Ann. Rheum. Dis. 76, 701–707 (2017).

11561506/SEC/web/12.25


Теги