Image
Особенности выявления и мониторинга костных метастазов

Особенности выявления и мониторинга костных метастазов

Метастатическое поражение костей скелета является типичным для многих злокачественных опухолей эпителиальной природы, включая рак молочной железы. Развитие костных метастазов нередко приводит к патологическим переломам. Проявлениями данного осложнения являются неврологический дефицит при компрессии спинного мозга, ограничения движения и стойкий болевой синдром. Клинические проявления костных метастазов порой в значительной степени ухудшают качество жизни онкологического пациента. Патогенетически выделяют два основных механизма развития костных метастазов: остеолитический и остеобластический.

Image
.

Различают 3 типа костных метастазов:

Image
Остеолитические метастазы

Остеолитические метастазы представляют собой участки деструкции костной ткани. Патологические переломы являются наиболее частым осложнением остеолитических метастазов при РМЖ.

Image
Остеобластические или склеротические метастазы

Остеобластические или склеротические метастазы возникают за счёт патологического остеогенеза, в связи с чем повышается плотность вновь образующейся костной ткани (остеосклероз).

Image
Смешанные метастазы

Смешанные метастазы наиболее часто встречаются у пациенток с РМЖ. Они представлены литическим и бластическим компонентами в одном очаге поражения, то есть одновременно участками остеолизиса и остеосклероза.

 

В реальной клинической практике обычно не наблюдаются истинно остеолитические или остеобластические очагов, поскольку процессы резорбции и восстановления костной ткани идут параллельно в обоих типах метастазов, но с разной интенсивностью.

Одним из наиболее значимых клинических проявлений метастатического поражения костей является болевой синдром, возникающий у большинства онкологических пациентов, что нередко является единственной жалобой пациента. Наиболее часто костные метастазы поражают позвонки и кости таза, реже - трубчатые кости.

Image
info icon

Лабораторных тестов для диагностики метастатического поражения костей пока не создано. Возможное увеличение уровня щелочной фосфатазы (ЩФ) в сыворотке крови за счет активизации остеобластов и повышение уровня кальция в сыворотке крови не имеют выраженной корреляции с наличием метастазов в костях.

Объективная регистрация результатов лечения пациентов с метастазами в кости представляет определённые трудности. Остеолитические и остеобластические метастазы имеют принципиально разные направления развития своих состояний, что затрудняет как первичную диагностику, так и оценку результатов лечения в ближайшие и отдаленные периоды наблюдения.

В настоящее время для диагностики метастатического поражения скелета в клинической практике применяются стандартная рентгенография, рентгеновская компьютерная томография без контрастного усиления, остеосцинтиграфия, ПЭТ/КТ с туморотропным к основной опухоли веществом и, в некоторых клинических случаях, МРТ.

Остеосцинтиграфия

Остеосцинтиграфия с радиофармпрепаратом (РФП) на основе изотопа технеция (99mТс) является скрининговым методом выявления метастазов в костях скелета при большинстве злокачественных опухолей, способных метастазировать в кости.

Это обусловлено возможностью относительно быстрого одномоментного исследования всего скелета, высокой устойчивостью РФП к возможным у пациента металлическим имплантантам без формирования артефактов. Радиоактивный изотоп технеция (99mТс) активно накапливается в участках костей с повышенной остеобластической активностью, но слабо чувствителен к остеолитическим и смешанным метастазам.

Чувствительность остеосцинтиграфии находится диапазоне от 86% до 92%, а специфичность – в диапазоне от 57% до 95%. Очаги гиперфиксации технеция 99mТс требуют обязательного подтверждения рентгенографией, МРТ (при подозрении на поражение мозга), КТ или ПЭТ/КТ.

  • Если по данным остеосцинтиграфии выявлен единичный очаг накопления РФП, то достаточно его подтверждение/исключение проведением КТ без контраста этой зоны скелета
  • Если по данным остеосцинтиграфии выявлены множественные очаги накопления РФП, то методом уточняющей диагностики может являться ПЭТ/КТ с тропным к основной опухоли РФП

Остеосцинтиграфия для оценки эффективности противоопухолевого лечения в комбинации с остеомодифицирующими агентами, как правило, не рекомендуется.

Image
Остеосцинтиграфия

Показания к остеосцинтиграфии:

  • При операбельном РМЖ на первом этапе лечения остеосцинтиграфия выполняется в случае жалоб пациента на боли в костях, либо повышенном уровне ЩФ в сыворотке крови
  • Рекомендуется выполнить остеосцинтиграфию при подозрении на метастатическое поражение костей скелета для оценки степени распространенности РМЖ без выраженного болевого синдрома
  • При местно-распространенном и метастатическом РМЖ выполнение скрининговой остеосцинтиграфии показано всем пациентам

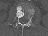
Рентгеновская компьютерная томография

Image
Рентгеновская компьютерная томография

Рентгеновская компьютерная томография (КТ) представляет собой послойное исследование структуры объекта путем измерения степени поглощения рентгеновского излучения различными тканями. По данным мета-анализа, чувствительность КТ при метастазах в костях составила 72,9%, специфичность – 94,8%. Уровень убедительности рекомендаций А. Уровень достоверности доказательств 1. Рентгеновская компьютерная томография значительно повышает качество оценки состояния костной ткани. Она достаточно давно и успешно применяется для диагностики костных метастазов.

Показания для проведения КТ без контрастного усиления:

  • выявление метастазов в кости;
  • оценка эффективности лечения при метастазах в кости;
  • навигация при проведении биопсии метастаза в кость.
Image
!

Биопсия опухолевого очага в кости может быть проведена только по строгим показаниям и под контролем КТ.

ПЭТ/КТ всего тела с 18-ФДГ является адекватным и высокоинформативным методом первичной диагностики и мониторинга изменений в скелете при опухолях, тропных к 18F-ФДГ. При оценке эффективности противоопухолевого лекарственного лечения методом ПЭТ/КТ с 18F-ФДГ особенно у пациентов с множественными метастазами не только в костях, но и в различных органах, рекомендуется использовать критерии PERSIST и вывод о прогрессировании со стороны метастазов в скелете делать только при выявлении новых очагов в сочетании с повышением уровня накопления РФП на ПЭТ в прогрессирующем очаге по данным КТ. Критериями ПЭТ-ответа при солидных опухолях (по критериям PERCIST) является снижение метаболической активности максимально активного метастаза в кости на 30% и более.

Если по результатам ПЭТ/КТ определяется изолированное изменение активности накопления РФП в ранее имевшихся очагах, то возможно интерпретировать это как процессы репарации.

ПЭТ/КТ всего тела с 18-ФДГ является адекватным и высокоинформативным методом первичной диагностики и мониторинга изменений в скелете при опухолях, тропных к 18F-ФДГ.

Image
ПЭТ КТ всего тела с 18-ФДГ

При оценке эффективности противоопухолевого лекарственного лечения методом ПЭТ/КТ с 18F-ФДГ особенно у пациентов с множественными метастазами не только в костях, но и в различных органах, рекомендуется использовать критерии PERSIST и вывод о прогрессировании со стороны метастазов в скелете делать только при выявлении новых очагов в сочетании с повышением уровня накопления РФП на ПЭТ в прогрессирующем очаге по данным КТ. Критериями ПЭТ-ответа при солидных опухолях (по критериям PERCIST) является снижение метаболической активности максимально активного метастаза в кости на 30% и более.

Рентгенография

Рентгенография – малочувствительный метод, поскольку способен распознать деструктивное поражение губчатой кости при размере очага >1 см в диаметре в сочетании с потерей не менее 50% минеральной плотности. Около 20% видимых при остеосцинтиграфии метастатических очагов остаются негативными на рентгенограммах в течение 4–6 месяцев. Значимость традиционной рентгенографии в диагностическом алгоритме костных метастазов снижается. Причина этого, в первую очередь, заключается в достаточно низкой чувствительности метода: продолжительная по времени рентген-негативная фаза не способствует раннему выявлению метастатических поражений костей. Рентгенография может проводиться экстренно и в плановом порядке. Специальной подготовки пациента с подозрением на метастазы в кость не требует.

Преимущество рентгенографии заключается в широкой доступности метода, простоте проведения исследования и возможности быстро получить общую информацию об области последующих исследований, что бывает необходимо при некоторых тяжелых состояниях пациента, в том числе при выраженном болевом синдроме.

Image
Рентгенография

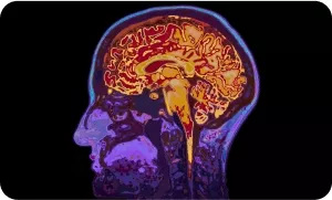
Магнитно-резонансная томография (МРТ)

Имеет клиническое значение для пациентов с переломами позвонков и компрессией спинного мозга, подозрением на наличие метастазов в головной мозг. Однако, многочисленные противопоказания к проведению МРТ требуют их первоочередного исключения у каждого, планируемого на МРТ пациента. Диагностические возможности МРТ в оценке костно-деструктивных изменений, в большинстве случаев, уступают КТ и ПЭТ/КТ.

Image
МРТ
Image
info icon

Метастатические очаги в костях не оцениваются по критериям RECIST 1.1. Появление признаков остеосклероза литических метастазов следует расценивать как положительную динамику. Появление новых остеосклеротических участков также не должно классифицироваться как прогрессирование, поскольку склероз в области, которая ранее была «нормальной», может означать репарацию очага поражения, который присутствовал в начале лечения и был рентген-негативным.

Для оценки метастатического поражения костей используются отдельные критерии ответа на лечение, которые основаны на происходящих изменениях в кости, а не на изменении объема опухоли. Процессы репарации костной ткани развиваются медленно: только через 3–6 месяцев от начала лечения возможно заметить динамику, а для полной реализации эффекта требуется около года.

Трудности интерпретации визуальных исследований в дифференциальной диагностике могут возникнуть и у пациентов с наличием дегенеративных заболеваний костей, суставов и остеопороза.

При длительном применении остеомодифицирующих лекарственных препаратов существует риск развития редкого, однако, весьма серьезного осложнения со стороны костной ткани — лекарственного (препарат-ассоциированного) остеонекроза челюсти (ОНЧ). Оптимальными методами диагностики ОНЧ является: стоматологический осмотр, спирально-конусная КТ (позволяет получать высококачественное цифровое изображение челюстно-лицевой области, в частности зубочелюстной системы) и/или ортопантомография.

NOTA BENE:

  • Остеосцинтиграфия скрининговой метод выявления костных метастазов при большинстве злокачественных опухолей, за исключением множественной миеломы.
  • Результаты остеосцинтиграфии не являются основанием для установления диагноза "Метастазы в кости" и требуют уточняющей диагностики.
  • Если по данным остеосцинтиграфии выявлен единичный очаг накопления РФП, то достаточно его подтверждение/исключение проведением КТ без контраста этой зоны скелета.
  • Если по данным остеосцинтиграфии выявлены множественные очаги накопления РФП, то методом уточняющей диагностики может являться ПЭТ/КТ с тропным к основной опухоли РФП.
  • КТ без динамического контрастного усиления высокоинформативный метод для диагностики, оценки эффективности лечения единичных метастазов только в костях и для навигации (по строгим показаниям) биопсии очага в костях.
  • ПЭТ/КТ всего тела диагностический выбор при множественных метастазах.
  • Высокая информативность ПЭТ/КТ при костных метастазах РМЖ обусловлена патогенезом их развития.

Список литературы

  1. Багрова С.Г., Басин Е.М., Валиев А. К., Деньгина Н. В., Копп М.В., Кутукова С. И. и соавт. Профилактика и лечение патологии костной ткани при злокачественных новообразованиях. Злокачественные опухоли: Практические рекомендации RUSSCO #3s2, 2021 (том 11). 38
  2. Сергеев Н. И. Роль и место современных методов визуализации в диагностике и оценке результатов консервативного лечения больных с метастатическим поражением скелета. Диссертация на соискание ученой степени доктора медицинских наук. Москва, 2016.
  3. Клинические рекомендации МЗ РФ "Рак молочной железы", 2021.
  4. Бухаров А.В., Ерин Д.А., Державин В.А., Ядрина А.В. Вопросы диагностики и лечения метастазов в позвоночник и длинные кости. Сибирский онкологический журнал. 2022; 21(2): 96–108. – doi: 10.21294/1814–4861- 2022-21-2-96-108
  5. Gradishar W.J., Anderson B.O., Blair S.L. et al. Breast cancer version 3.2014. J Natl Compr Canc Netw 2014;12(4):542–590.
  6. Shie P., Cardarelli R., Brandon D., Erdman W., Abdulrahim N. Meta-analysis: Comparison of F-18 fluorodeoxyglucose-positron emission tomography and bone scintigraphy in the detection of bone metastases in patients with breast cancer. Clin Nucl Med. 2008; 33:97–101. DOI: 10.1097/RLU.0b013e31815f23b7
  7. Chang MC, Chen JH, Liang JA, Lin CC, Yang KT, Cheng KY, Yeh JJ, Kao CH. Meta-analysis: comparison of F-18 fluorodeoxyglucose-positron emission tomography and bone scintigraphy in the detection of bone metastasis in patients with lung cancer. Acad Radiol. 2012 Mar;19(3):349-57. doi: 10.1016/j.acra.2011.10.018.
  8. Zhou J, Gou Z, Wu R, Yuan Y, Yu G, Zhao Y.Comparison of PSMA-PET/CT, choline-PET/CT, NaF-PET/CT, MRI, and bone scintigraphy in the diagnosis of bone metastases in patients with prostate cancer: a systematic review and meta-analysis. Skeletal Radiol.
  9. Woolf D.K., Padhani A.R., Makris A. Assessing response to treatment of bone metastases from breast cancer: what should be the standard of care? Annals of Oncology 26: 1048– 1057, 2015 DOI: https://doi.org/10.1093/annonc/mdu558
  10. Citrin D.L., Bessent R.G., Greig W.R. A comparison of the sensitivity and accuracy of the 99m Tc-phosphate bone scan and skeletal radiograph in the diagnosis of bone metastases // Clin Radiol. — 1977. — Vol. 28. —P. 107-117
  11. Yang HL, Liu T, Wang XM, Xu Y, Deng SM. Diagnosis of bone metastases: a meta-analysis comparing 18FDG PET, CT, MRI and bone scintigraphy. European Radiology 2011; 21(12): 2604-2617. DOI: 10.1007/s00330-011-2221-4
  12. Hamaoka T, Costelloe CM, Madewell 8JE et al. Tumour response interpretation with new tumour response criteria vs the World Health Organization criteria in patients with bone only metastatic breast cancer. Br J Cancer 2010; 102: 651–657

11328225/RIB/web/12.24/0


Теги