
Сравнение медико-социальных характеристики качества жизни пациентов с прогрессирующим РС и диагностированным ВПРС*
Ведение больных с ВПРС — одна из наиболее сложных задач в современной неврологии1. Течение вторично-прогрессирующего рассеянного склероза отличается от рассеянного склероза более тяжелой неврологической симптоматикой, частыми госпитализациями, наличием когнитивных нарушений и выраженной астенией. Первично-прогрессирующий РС (ППРС) имеет особенно неблагоприятное течение, когда нарастание неврологической симптоматики отмечается с начала заболевания. Отсутствие адекватного лечения неизменно переводит течение болезни в прогрессирующее, что сопровождается ростом инвалидизации2-4.
Проблемы лечения вторично-прогрессирующего рассеянного склероза
Ранняя диагностика ВПРС затруднена вариабельностью, продолжительностью и интенсивностью симптомов ремиттирующего РС4. Было замечено — назначение высокодозных интерферонов бета позволяет значительно отсрочить переход в ВПРС5. Это послужило основанием для назначения ПИТРС на раннем этапе лечения и предупреждения прогрессирования РС6-8. Потому что развитие ВПРС влечет за собой экономические и социальные убытки9.
Без адекватного лечения ремитирующего РС, развивается ВПРС:
- у 2-3% с рассеянным склерозом в год,
- у 50% через 10-15 лет после первых проявлений болезни10.
В настоящее время для этой формы заболевания доступно лишь несколько ПИТРС. При этом, например, сипонимод имеет прямые показания для назначения при ВПРС9.
Постановка диагноза может занимать до трех лет при отсутствии четких критериев дифференциальной диагностики11. Пациенты с ВПРС имеют более длительную продолжительность болезни, они старше по возрасту и реже работают12. Также при таком течении болезни отмечаются:
Существуют разные методы постановки диагноза и оценки эффективности лечения, которые так же используют подход, учитывающий РСП (результаты, сообщаемые пациентами, от англ. Patients Reported Outcomes, PRO). РСП определяются как «любые сообщения о состоянии здоровья пациентов, которые получены непосредственно от пациентов, без интерпретации ответа пациентов клиницистами или другими лицами».
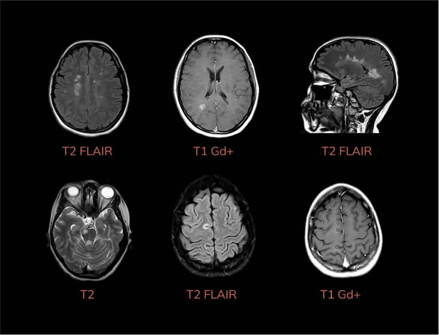
Типичные признаки РС на МРТ

Определяются множественные классические очаги демиелинизации в обоих полушариях большого мозга, мозолистом теле (симптом «пальцев Доусона»), юкстакортикально, в стволе мозга, часть из которых (стрелки) накапливают контрастное вещество.

Определяется классический очаг демиелинизации в шейном отделе спинного мозга, накапливающий контрастное вещество (стрелка).

Изучение РСП необходимо для оценки результатов лечения не только РС, но и других неврологических заболеваний22, 23. При этом учитываются другие сопутствующие заболевания, которые могут повлиять на результаты опроса24.
Методы и сравнительный анализ результатов исследования
Для изучения качества жизни пациентов при ВПРС и ППРС используют специфические и неспецифические опросники. Группа исследователей совместно с научными сотрудниками кафедры неврологии, нейрохирургии и медицинской генетики Российского НИМУ им.Н.И.Пирогова в 2008 г. разработала специфический опросник MusiQoL — Multiple sclerosis Quality of Life25, 26.
Исследование с применением оригинального медико-социального вопросника было проведено на следующей выборке: 437 пациентов с ППРС из 19 регионов РФ и 500 пациентов с ВПРС из 15 регионов РФ.
В Московском регионе было проведено дополнительное исследование качества жизни с помощью этого опросника, в нем приняли участие 437 больных ППРС и 89 пациентов с ВПРС. При этом диагноз РС имели все пациенты27. При использовании метода структурированного экспертного опроса получены сведения от 80 врачей, ведущих пациентов с ППРС, и 51 врача, курирующих больных с РС, в том числе с ВПРС.

Сопоставив данные, можно увидеть уровень инвалидизации при ВПРС выше, чем при ППРС, но вовлеченность в трудовую деятельность приблизительно равная. Уровень образования у пациентов с ППРС ниже.
В обеих группах семейное положение и количество детей приблизительно одинаковое:
- 2/3 состоят в браке (зарегистрированный и незарегистрированный),
- 10% — никогда не состояли в браке,
- 20% — вдовцы и разведенные,
- 20% — не имели детей.
Актуальные медико-социальные проблемы пациентов с рассеянным склерозом
Большинство опрошенных с РС нуждаются в посторонней помощи и потребность в ней выше при ВПРС — примерно у 55%, а при ППРС — только около 44%. При этом 75-80% больных получают уход от близких людей.
При этом имеют возможность реализовать потребность в помощнике дома:
86%
При ППРС
81,5%
При ВПРС
Для обеих групп характерно постепенное ухудшение самочувствия, но пациенты с ВПРС отмечают его ухудшение в течение последнего года.
По данным статистического опроса, в первую очередь большинство больных нуждается в улучшении качества оказания медицинской помощи, бесплатных лекарственных средствах, финансовых выплатах, новаторских методах лечения. Во вторую очередь пациенты нуждаются в восстановлении социализации (технические средства реабилитации, безбарьерная среда для людей с ограниченными возможностями), чтобы ощущать себя полноценными членами общества.
Одной из актуальных проблем остается профессиональное переобучение и трудоустройство:
18%
При ППРС
15%
При ВПРС
Проблемные вопросы терапии пациентов с рассеянным склерозом
При этом пациенты с ППРС чаще обращаются в поликлинику — 82,1%, а вот среди больных с ВПРС таких только 64,7%. При этом больные с первично-прогрессирующим рассеянным склерозом чаще обращаются к урологу и проходят МРТ-обследование. Это свидетельствует о большей заинтересованности в подборе адекватной терапии и контроле за эффективностью лечения. Большинство пациентов с РС наблюдаются в специальных центрах (80% — с ППРС, 89% — с ВПРС).
Частота госпитализаций в медцентры РС — раз в 2-3 года и реже:
53%
У пациентов с ВПРС
33,3%
У пациентов с ППРС (табл.4)
Госпитализации в другие стационары составляют менее 50%:
43%
У пациентов с ВПРС
62%
У пациентов с ППРС
В специализированных центрах РС основное внимание уделяется симптоматической и сосудисто-метаболической терапии. Дополнительно при ППРС акцент делается на реабилитационной, а при ВПРС — на иммуносупрессивной и иммуномодулирующей терапии.
При ВПРС отмечаются значительные изменения психологических и физиологических показателей качества жизни пациентов. Поэтому отсутствие эффективных препаратов для лечения лежит в основе негативного отношения пациентов с ВПРС к системе здравоохранения.
Обсуждение медико-социальных характеристик и их влияние на качество жизни
В отличие от пациентов с ВПРС, больные ППРС имеют хорошую социальную поддержку со стороны семьи и друзей, что положительно влияет на их психологическое самочувствие и отношение к системе здравоохранения. При ВПРС длительность заболевания, неблагоприятное вторичное прогрессирование заболевания, ограниченность лечения отражаются на общем психологическом статусе больных и их положении в семье.
В отличие от пациентов с ВПРС, больные ППРС имеют хорошую социальную поддержку со стороны семьи и друзей, что положительно влияет на их психологическое самочувствие и отношение к системе здравоохранения. При ВПРС длительность заболевания, неблагоприятное вторичное прогрессирование заболевания, ограниченность лечения отражаются на общем психологическом статусе больных и их положении в семье.
РСП — важный оценочный компонент, характеризующий эффективность, переносимость лечения27. Он позволяет оценить с позиции пациента эффективность терапии и подобрать метод лечения28, оказывающий влияние на качество жизни, социальную адаптацию и психоэмоциональный статус больного. Внедрение новых лекарственных препаратов таких, как сипонимод, позволят улучшить качество жизни пациентов с ВПРС.
Проверочные вопросы для ответов после прочтения:
Список литературы
Статья написана на основании научной публикации Власова Я.В. «Сравнение медико-социальных характеристик и качества жизни больных с первично- и вторично- прогрессирующим рассеянным склерозом».
- Oh J., Alikhani K., Bruno T., et al. Diagnosis and management of secondary-progressive multiple sclerosis: time for change. Neurodegener Dis Manag. 2019 Dec;9(6):301-17. doi: 10.2217/nmt-2019-0024.Epub 2019 Nov 26.
- Popescu B.F., Pirko I., Lucchinetti C.F. Pathology of multiple sclerosis: where do we stand? Continuum (Minneap Minn). 2013 Aug;19(4 Multiple Sclerosis):901-21. doi: 10.1212/01.CON.0000433291.23091.65
- Tutuncu M., Tang J., Zeid N.A., et al. Onset of progressive phase is an age-dependent clinical milestone in multiple sclerosis. Mult Scler. 2013 Feb;19(2):188-98. doi: 10.1177/1352458512451510. Epub 2012 Jun 26.
- Scott T.F., Hackett C.T., Quigley M.R., Schramke C.J. Relapsing multiple sclerosis patients treated with disease modifying therapy exhibit highly variable disease progression: a predictive model. Clin Neurol Neurosurg. 2014 Dec;127:86-92. doi: 10.1016/j.clineuro. 2014.09.008. Epub 2014 Oct 2.
- Paty D.W., Boiko A.N. Beta-interferons delay the switch from relapsing-remitting to secondary progressive multiple sclerosis. Neurology.2000;54(Suppl. 3): A337.
- Giovannetti A.M., Pietrolongo E., Borreani C., et al, for the ManTra Project. Conversion to secondary progressive multiple sclerosis: Multistakeholder experiences and needs in Italy. PLoS One. 2020;15(2):e0228587. doi: 10.1371/journal.pone.0228587
- Bogosian A., Morgan M., Moss-Morris R.. Multiple challenges for people after transitioning to secondary progressive multiple sclerosis: a qualitative study. BMJ Open. 2019 Mar 8;9(3):e026421. doi: 10.1136/bmjopen-2018-026421
- O’Loughlin E., Hourihan S., Chataway J., et al. The experience of transitioning from relapsing remitting to secondary progressive multiple sclerosis: views of patients and health professionals. Disabil Rehabil. 2017 Sep;39(18):1821-8. doi: 10.1080/09638288.2016.1211760.
- Kappos L., Bar-Or A., Cree BAC, et al; EXPAND Clinical Investigators. Siponimod versus placebo in secondary progressive multiple sclerosis (EXPAND): a double-blind, randomised, phase 3 study. Lancet. 2018;391(10127):1263-73. doi: 10.1016/S0140-6736(18)30475-6
- Scalfari A., Neuhaus A., Daumer M., et al. Onset of secondary progressive phase and longterm evolution of multiple sclerosis. J Neurol Neurosurg Psychiatry. 2014;85(1):67-75. doi: 10.1136/jnnp-2012-304333
- Katz Sand I., Krieger S., Farrell C., Miller A.E.. Diagnostic uncertainty during the transition to secondary progressive multiple sclerosis. Mult Scler. 2014;20(12):1654-7 doi: 10.1177/1352458514521517
- Gross H.J., Watson C. Characteristics, burden of illness, and physical functioning of patients with relapsing-remitting and secondary progressive multiple sclerosis: a cross-sectional US survey. Neuropsychiatr Dis Treat. 2017;13:1349-57. doi: 10.2147/NDT.S132079
- Бойко О.В. Исследование качества жизни больных рассеянным склерозом. Журнал неврологии и психиатрии им. С.С.Корсакова. 2014;114(10):105-13. [Boyko O. Studies of the quality of life of multiple sclerosis patients. Zhurnal nevrologii i psikhiatrii im. S.S. Korsakova. 2014;114(10):105-13 (In Russ.)].
- Lee Mortensen G., Rasmussen P.V. The impact of quality of life on treatment references in multiple sclerosis patients. Patient Prefer Adherence. 2017 Oct 19;11:1789-96. doi: 10.2147/PPA.S142373. eCollection 2017.
- Ebers G.C. Natural history of primary progressive multiple sclerosis. Mult Scler. 2004 Jun;10 Suppl 1:S8-13; discussion S13-5. doi: 10.1191/1352458504ms1025oa
- Попова Е.В., Бойко А.Н., Барабанова М.А. и др. Первично-прогрессирующий рассеянный склероз: современное состояние проблемы своевременной постановки диагноза. Журнал неврологии и психиатрии им. С.С. Корсакова. 2017;117(10-2):35-40. [Popova E.V., Boyko A.N., Barabanova M.A., et al. Primary progressive multiple sclerosis: current issues of timely diagnosis. Zhurnal nevrologii i psikhiatrii im. S.S. Korsakova. 2017;117(10-2):35-40. doi: 10.17116/jnevro201711710235-40 (In Russ.)].
- Kutzelnigg A. Cortical demyelination and diffuse white matter injury in multiple sclerosis. Brain. 2005;128(11):2705-12. doi: 10.1093/brain/awh641
- Food and Drug Administration. Guidance for industry: patient-reported outcome measures: use in medical product development to support labeling claims. Dec 2009. Available from:
- Apolone G., De Carli G., Brunetti M., Garattini S. Health-related quality of life (HR-QOL) and regulatory issues: an assessment of the European Agency for the Evaluation of Medicinal Products (EMEA) recommendations on the use of HR-QOL measures in drug approval. Pharmacoeconomics. 2001;19(2):187-95. doi: 10.2165/00019053-200119020-00005
- Tur C., Moccia M., Barkhof F., et al. Assessing treatment outcomes in multiple sclerosis trials and in the clinical setting. Nat Rev Neurol. 2018;14(2):75-93. doi: 10.1038/nrneurol. 2017.171
- Fiest K.M., Greenfield J., Metz L.M., et al. Discriminative ability of quality of life measures in multiple sclerosis. Health Qual Life Outcomes. 2017 Dec 21;15(1):246. doi: 10.1186/s12955-017-0828-0
- Warren S., Turpin K.V., Warren K.G. Healthrelated quality of life in MS: issues and interventions. Can J Neurol Sci. 2009;36(5):540-1. doi: 10.1017/S0317167100008003
- Ионова Т.И., Новик А.А., Сухонос И.А. Качество жизни онкологических больных. Вопросы онкологии. 1998;44(6):749-52. [Ionova TI, Novik AA, Zuchonos IA. Quality of life of patients with cancer. Voprosy oncologii.1998;44(6):749-52 (In Russ.)].
- Татаринова М.Ю., Фокин И.В., Бойко А.Н. Качество жизни больных рассеянным склерозе и некоторые подходы к фармакоэкономическим исследованиям. Журнал неврологии и психиатрии. 2002;(2-2):76-80. [Tatarinova MYu, Fokin IV, Boyko AN. Quality of life in multiple sclerosis and pharmaco-economic studies. Zhurnal nevrologii i psikhiatrii im. S.S. Korsakova. 2002;(2-2):76-80 (In Russ.)].
- Simeoni M., Auquier P., Fernandez O., et al; MusiQol study group. Validation of the multiple sclerosis international quality of life questionnaire. Mult Scler. 2008 Mar;14(2):219-30. doi: 10.1177/1352458507080733. Epub 2007 Oct 17.
- Fernandez O., Baumstarck-Barrau K., Simeoni M.C., Auquier P.; MusiQoL study group. Patient characteristics and determinants of quality of life in an international population with multiple sclerosis: assessment using the MusiQoL and SF-36 questionnaires. Mult Scler. 2011;17(10): 1238-49. doi: 10.1177/1352458511407951
- Малыгин В.Л., Бойко А.Н., Коновалова О.Е. и др. Влияние психопатологических факторов и особенностей личности на результаты исследования качества жизни больных рассеянным склерозом. Журнал неврологии и психиатрии им. С.С.Корсакова. 2019;119(2-2):42-8. [Malygin VL, Boyko AN, Konovalova OE, et al. Influence of psychopathological factors and personality traits on the results of the study of quality of life in patients with multiple sclerosis. Zhurnal nevrologii i psikhiatrii im. S.S. Korsakova. 2019;119(2-2):42-8. doi: 10.17116/jnevro20191192242 (In Russ.)].
- Власов Я.В., Полярная Н.В., Фомина Т.А. и др. Вторично-прогрессирующий склероз в России, медико-социальная характеристика пациентов и актуальные задачи терапии. Медицинский алфавит. Неврология и психиатрия. 2021;(3):7-13. doi: 10.33667/2078-5631-2021-3-7-13.
Эта ссылка может привести вас на ресурс, который не использует нашу политику безопасности. Мы не несём ответственности за контент, размещенный на стороннем сайте.
11258783/OFA/DIG/08.24/0