Image
Вторичная биопсия почек: когда без нее не обойтись?

Вторичная биопсия почек: когда без нее не обойтись?

 

Нефробиопсия остается золотым стандартом диагностики заболеваний почек, особенно при неясной клинической картине или подозрении на редкие патологии. Однако первоначальное исследование не всегда позволяет установить точный диагноз в связи с ограничениями световой микроскопии и недостаточным использованием таких методов диагностики, как иммунофлюоресценция и электронная микроскопия. В некоторых случаях необходимо проведение вторичной биопсии1.

Пожалуйста, нажмите на интересующий вас раздел, чтобы его открыть.

Особенности вторичной биопсии

Вторичная биопсия подразумевает пересмотр уже исследованного материала или повторное взятие биоптата для более детального анализа с использованием дополнительных современных методов диагностики.

Она необходима в случаях, когда:

  • первичное исследование ограничилось световой микроскопией, что затрудняет классификацию паттернов поражения;
  • клинические данные и результаты морфологического анализа не совпадают.

Важно учитывать, что развитие методов диагностики, включая иммунофлюоресценцию (ИФ) и электронную микроскопию (ЭМ), позволило значительно углубить понимание патогенеза заболеваний почек. ИФ и ЭМ, появившиеся в 1950-х годах, произвели революцию в исследованиях биоптата почек2.

Накопившийся опыт их применения к началу 2000-х годов не оставил сомнений в том, что адекватное исследование биоптата почек должно включать световую микроскопию, иммунофлюоресценцию и электронную микроскопию3.

Например, МПГН, ранее рассматриваемый как отдельная нозология, сегодня трактуется как морфологическое проявление различных патологических процессов, требующее тщательного подхода к интерпретации. Пациентам с диагнозом, поставленным только на основе данных световой микроскопии, может понадобиться дополнительное исследование, так как микроскопический паттерн МПГН не является специфичным для одного заболевания (рис.1)5.

Рисунок 1. Подход к дифференциальной диагностике мембранопролиферативного гломерулонефрита с использованием данных световой микроскопии, ЭМ и ИФ4.

Image
205331-image-1.png

ЭМ позволяет идентифицировать локализацию иммунных депозитов3:

  • Type I: Субэндотелиальные депозиты (subendothelial).
  • DDD (Dense Deposit Disease): БПД — болезнь плотных депозитов.
  • Type III: Субэндотелиальные и субэпителиальные депозиты (subendothelial & subepithelial).


Исследование иммуноглобулинов (Ig) и комплемента (C3) с помощью ИФ помогает определить тип повреждения:

  • Положительный Ig и C3: Соответствует иммунокомплексным гломерулопатиям (например, Type I и Type III).
  • Негативный Ig и положительный C3: Указывает на наличие C3-гломерулопатии, включая БПД.


C3-гломерулопатия (C3ГП):

  • Если иммуноглобулины не обнаружены, но имеется активация C3, более вероятен диагноз C3-гломерулопатии, включающей БПД и C3-гломерулонефрит. Это имеет клиническое значение, так как эти состояния связаны с гиперактивацией альтернативного пути комплемента и требуют специфического лечения.

Обновленный упрощенный подход к дифференциальной диагностике мембранопролиферативного гломерулонефрита, учитывающий доминирование отложений компонентов и иммуноглобулинов, а также их локализацию, представлен на рис.2 ниже5.

Рисунок 2. Обновленный подход к дифференциальной диагностике мембранопролиферативного гломерулонефрита с использованием данных световой микроскопии, ЭМ и ИФ5.

Image
205331-image-2.png

Клинические ситуации, требующие повторного исследования нефробиоптата

Некоторые клинические сценарии требуют обязательного пересмотра или повторного анализа нефробиоптата:

  • Неспецифические результаты первичного исследования
    В случаях когда световая микроскопия показывает лишь общие признаки повреждения клубочков, такие как утолщение базальной мембраны или увеличение клеточности, но не позволяет уточнить природу процесса, возникает необходимость в проведении вторичной биопсии.
  • Прогрессирование заболевания на фоне лечения
    Пациентам, у которых терапия не приводит к ожидаемому улучшению, часто требуется проведение повторного анализа биоптата. Это особенно важно для лечения гломерулонефритов, при котором выбор терапии зависит от точной этиологии и активности процесса.
  • Подозрение на подтип или атипичную форму заболевания
    Например, МПГН может быть вызван иммунными комплексами или активацией комплемента. Для дифференциации причин заболевания и подбора адекватной терапии требуется применение дополнительных методов анализа.

Роль вторичной биопсии в диагностике гломерулонефритов

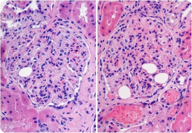
Диффузный и фокальный пролиферативный гломерулонефрит

Эти типы поражений, визуализируемые на световой микроскопии, представляют собой сложность даже для опытных диагностов, так как их морфология пересекается с различными клиническими нозологиями. Световая микроскопия в таких случаях не является достаточным методом исследования для установления точного диагноза и определения прогноза и лечебной тактики. Вторичная биопсия с адекватным морфологическим исследованием позволяет уточнить тип поражения и узнать, является ли процесс первичным (аутоиммунным) или вторичным (связанным с инфекциями или системными заболеваниями).

Image
205331-image-3.png

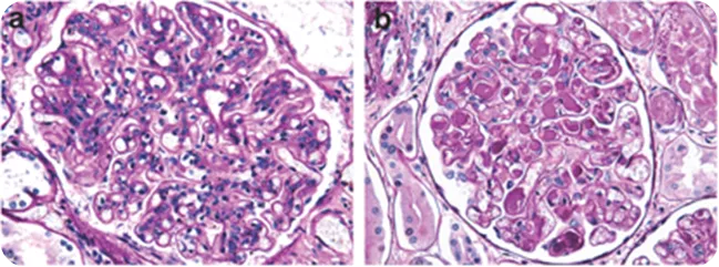
Мембранопролиферативный гломерулонефрит

Этот паттерн на уровне световой микроскопии может быть связан как с отложением иммунных комплексов (например, при инфекциях или аутоиммунных заболеваниях), так и с альтернативным путем активации комплемента. Вторичная биопсия и последующий иммунофлюоресцентный анализ помогают выявить природу отложений, а электронная микроскопия — уточнить их локализацию и структуру и определить точный морфологический диагноз.

Image
205331-image-4.png

МПГН и ценность методов диагностики

Роль и значение методов диагностики в постановке клинического диагноза и принятии решений можно представить следующим образом6.

Рисунок 3. Ценность методов диагностики при МПГН6.

Image
205331-image-5.png

Технические и профессиональные аспекты, требующие пересмотра нефробиопсий

  • Недостаточная квалификация персонала
    Отсутствие опытного нефропатолога или морфолога способно снизить точность диагностики. Такая проблема также может встретиться в учреждениях, где биопсии отправляют на анализ в неспециализированные лаборатории.
  • Ограниченность диагностических методов
    Лаборатории, где применяются только базовые методы световой микроскопии, не всегда могут предоставить полную картину заболевания. Например, отказ от использования иммунофлюоресценции приводит к невозможности постановки точного диагноза и определения причин и механизмов возникновения нарушений (иммуноглобулинов, комплемента)1.
  • Устаревшее оборудование и реактивы
    Использование старых микроскопов, не обеспечивающих достаточной детализации, и низкокачественных реактивов влияет на достоверность полученных данных.

Вторичная биопсия — это важный инструмент в арсенале нефролога, особенно при диагностике сложных или редких заболеваний. Современный подход к анализу материала должен включать использование высокотехнологичных методов, таких как иммунофлюоресценция и электронная микроскопия, а также регулярный пересмотр диагностических протоколов.

Список сокращений

МПГН — мембранопролиферативный гломерулонефрит;
ИФ — иммунофлюоресценция;
ЭМ — электронная микроскопия;
БПД — болезнь плотных депозитов;
С3ГП — С3-гломерулопатия.

Список литературы

  1. Столяревич Е.С., Жилинская Т.Р., Варясин В.В. Морфологическая структура почечной патологии: данные 7 лет наблюдения. Нефрология и диализ. 2021; 23(3):379-389.
  2. Weening, J.J., Jennette, J.C. Historical milestones in renal pathology. Virchows Arch 461, 3–11 (2012). https://doi.org/10.1007/s00428-012-1254-7.
  3. Approach to renal biopsy Fogo, Agnes B. American Journal of Kidney Diseases, Volume 42, Issue 4, 826 - 836Sethi S, Nester CM, Smith RJ. Membranoproliferative glomerulonephritis and C3 glomerulopathy: resolving the confusion. Kidney Int. 2012 Mar;81(5):434-41. doi: 10.1038/ki.2011.399. Epub 2011 Dec 7. PMID: 22157657; PMCID: PMC4428602.
  4. Sethi S, Nester CM, Smith RJ. Membranoproliferative glomerulonephritis and C3 glomerulopathy: resolving the confusion. Kidney Int. 2012 Mar;81(5):434-41. doi: 10.1038/ki.2011.399. Epub 2011 Dec 7. PMID: 22157657; PMCID: PMC4428602.
  5. Samuel Mon-Wei Yu, Margaret Deoliveira, Miriam Chung, Richard Lafayette, Membranoproliferative Glomerulonephritis Pattern of Injury, Advances in Kidney Disease and Health, Volume 31, Issue 3, 2024, Pages 216-222.
  6. Andrew S. Bomback, Vivek Charu, Fadi Fakhouri,Challenges in the Diagnosis and Management of Immune Complex-Mediated Membranoproliferative Glomerulonephritis and Complement 3 Glomerulopathy, Kidney International Reports, 2024.

Полезные материалы

Биопсия почки в практике врача-нефролога: на что обратить внимание?

Статья
30 минут

Биопсия почки в практике врача-нефролога: на что обратить внимание?

Какой метод исследования биоптатов почки является более информативным

Статья
20 минут

Какой метод исследования биоптатов почки является более информативным: световой, иммунофлюоресцентный или электронный?

Комплемент-блокирующая терапия: место и перспективы в нефрологии

Статья
15 минут

Комплемент-блокирующая терапия: место и перспективы в нефрологии

11333755/IPT/DIG/12.24

Вам также может быть интересно

Помогипочкам.рф

Сайт для пациентов о заболеваниях почек

Телеграм канал помогипочкам.рф

Путеводитель по редким заболеваниям почек для пациента