Image
На что стоит обратить внимание у пациента
с C3-гломерулопатией?

На что стоит обратить внимание у пациента
с C3-гломерулопатией?

 

C3ГП — редкое заболевание почек, которое характеризуется воспалительными процессами с неопределенной этиологией. Отмечается его серьезный прогноз и медленное, но иногда острое прогрессирование, что означает риск тяжелой почечной недостаточности. Ниже представлена информация о заболевании, его этиопатогенезе и верификации диагноза через современные методы морфологической диагностики, а также алгоритм терапии и дифференцированный прогноз для пациента.

C3G_short_02 VIDEO

Пожалуйста, нажмите на интересующий вас раздел, чтобы его открыть.

C3-гломерулопатия: ключевые моменты, эпидемиология, патогенез и комплементарные аспекты

C3-гломерулопатия (C3ГП) представляет собой хроническое редкое заболевание почек, характеризующееся нарушением системы комплемента и отложением фракции C3 в биоптате почечной ткани. Это состояние включает два подтипа: болезнь плотных депозитов (БПД) и С3-гломерулонефрит (C3ГН), различающиеся по локализации отложений C3b, обнаруживаемых при электронной микроскопии.

Image
first-block-icon-1

Мировая распространенность С3ГП составляет
2–3 случая на миллион.

Image
first-block-icon-2

Показатели распространенности варьируются
от 5 случаев на миллион в США.

Image
first-block-icon-3

До 140 случаев на миллион в Европе
(например, на Кипре1).

Image
first-block-icon-4

Не отмечается значимых различий в частоте
заболеваемости между мужчинами и женщинами1, 2.

Регуляция альтернативного пути активации комплемента

Регуляция альтернативного пути активации комплемента занимает ключевое местов патогенезе C3ГП. Более 90% случаев связаны с патологией его механизма действия в жидкой фазе и гликокаликсе, покрывающем поры эндотелия клубочков. Эти нарушения могут привести к устойчивой активации компонента C3 и отложению C3b в базальной мембране. Фактор В способствует формированию С3-конвертазы и, в конечном итоге, С5-конвертазы. Активация комплемента порождает два мощных анафилатоксина: C3a и C5a1.
Эти компоненты обладают широким спектром физиологических воздействий, схожих с теми, которые реализуются при аллергической реакции немедленного типа. Часто причиной С3ГП являются моноклональные гаммапатии.

Схема 1. C-нефритические факторы17.

Image
C-нефритические факторы

Нефритический фактор (C3NeF), стабилизируя С3-конвертазу, усиливает протеолиз молекулы C3 альтернативного пути комплемента. При физиологических условиях конвертаза C3 разлагает молекулу C3 на C3a и C3b. Когда C3NeF связывается с С3-конвертазой, он препятствует ее диссоциации, продлевая ее активность и увеличивая протеолиз C3с последующим депонированием C3b4.

C3ГН и БПД: дифференциальная диагностика и ключевые показатели клинических проявлений

Клинико-патологические проявления:

C3ГН характеризуется более выраженными поражениями сосудов и гистологическими признаками хронических состояний, таких как гломерулосклероз и интерстициальный фиброз. В случае БПД вероятнее обнаружение полулунных образований5.

БПД:

Image
БПД
  • Мезангиальные и внутримембранные, протяженные, электронноплотные, осмофильные отложения6—8.
  • Наблюдается у 33% пациентов с С3ГП1.

С3ГН:

Image
С3ГН
  • Мезангиальные, субэндотелиальные, субэпителиальные и (или) внутримембранные отложения6—8.
  • Ультраструктуральные характеристики менее выражены8.
  • Наблюдается у 66% пациентов с С3ГП1.

Дифференциальная диагностика БПД и С3ГН

Таблица 1. Дифференциальная диагностика БПД и С3ГН17.

Image
Дифференциальная диагностика БПД и С3ГН

Иммунофлюоресцентная биопсия как ключ к диагнозу C3ГП

Диагностика C3ГП базируется на всесторонней оценке данных, полученных при биопсии почечной ткани, включая клинические, серологические и генетические показатели11. Она может быть осуществлена при наличии постоянной протеинурии > 500 мг/сутки, сниженной СКФ и/или необъяснимой гипертензии и гематурии1.

Основные показания к выполнению биопсии почки18:

Image
C3ГП-icon-1

Стойкая протеинурия и (или) гематурия после исключения других причин нефритического синдрома (острый, быстропрогрессирующий, хронический).

Image
C3ГП-icon-2

Нефротический синдром.

Image
C3ГП-icon-3

Снижение СКФ необъяснимое при клиническом исследовании (острое или хроническое).

Image
C3ГП-icon-4

Уточнение характера поражения почек при системных заболеваниях (множественная миелома, AL-амилоидоз, АА-амилоидоз, системная красная волчанка, антифосфолипидный синдром, системный васкулит и др.).

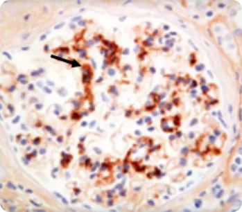
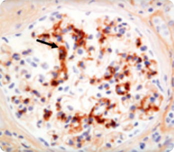
По результатам биопсии почек могут быть проведены световая микроскопия, иммунофлюоресцентная микроскопия (ИФА) и электронная микроскопия. Наиболее показательной с точки зрения подтверждения диагноза может служить биопсия с ИФА.

Image
Важно

Световая микроскопия10

Image
Световая микроскопия
  • Результаты отличаются разнообразием. Световая микроскопия не отличается специфичностью — часто не представляется возможным сформировать однозначное заключение.
  • Имеются мезангиальные и эндокапиллярные пролиферативные поражения, а также полулунные и мембранопролиферативные1.

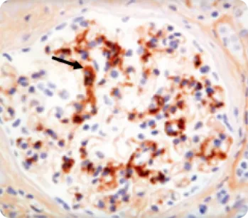
ИФА10

Image
ИФА
  • Яркое окрашивание компонента комплемента C3 более чем на два порядка по сравнению с любым другим иммунным реагентом.

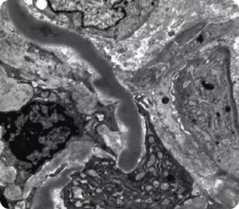
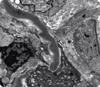
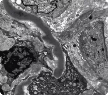
Электронная микроскопия10

Image
Электронная микроскопия
  • Электронно-плотные отложения в мезангии вдоль ГБМ.
  • Необходима электронная микроскопия для однозначного определения БПД и C3ГН1.

Путь к эффективному лечению пациента с С3ГП: стратегии и вызовы

Цели терапии C3ГП являются многогранными и включают в себя:

  • контроль воспаления;
  • сохранение почечной функции;
  • предотвращение прогрессирования хронического заболевания почек.

Основные критерии эффективности терапии гломерулонефрита19:

  • полная ремиссия: протеинурия < 300 мг/сут;
  • частичная ремиссия: снижение суточной протеинурии больше чем на 50% от исходного уровня или снижение ее абсолютного значения менее 3,5 г/сут;
  • рецидив: вновь возникшая протеинурия более 3,5 г/сут после полной ремиссии или нарастание после частичной ремиссии.

Схема 2. Краткий алгоритм лечения С3ГП, согласно KDIGO1, 14, 20.

Image
 Краткий алгоритм лечения С3ГП, согласно KDIGO

Перспективные методы лечения C3ГП и блокирование активации комплемента

Существует недостаток эффективных методов лечения C3ГП, что создает невыполненную потребность в этой области. При трансплантации почек и плазмотерапии высокая частота рецидивов и отторжений трансплантатов представляют серьезную проблему. Действующие методы лечения не изменяют ход заболевания, представлены неспецифическими подходами, такими как антигипертензивные препараты и широкий спектр иммунодепрессантов. Согласно данным клинических исследований, С3ГП имеет тенденцию к прогрессированию и демонстрирует вариабельный ответ на системную терапию, влияющую на иммуновоспалительный процесс.
Отдельно стоит отметить, что консервативная терапия демонстрирует худшие исходы по сравнению с иммунодепрессантами: удвоение уровня креатинина в сыворотке крови или почечная недостаточность16.

К сожалению, применение ингибиторов фракции С5 не показало убедительных результатов в их эффективности. Важно блокировать активацию альтернативного пути комплемента — то есть необходимо наиболее проксимальное действие для подавления амплификационной петли, в рамках которой реализуется синтез фракции С3b — причины С3ГП. Текущие рекомендации по лечению опираются на экспертное мнение. Поэтому в данный момент требуются новые методы лечения для устранения симптомов заболевания и замедления прогрессирования С3ГП. Одним из таких методов может быть патогенетическая терапия, блокирующая активацию комплемента1, 13, 14.

Image
Перспективные методы лечения C3ГП и блокирование активации комплемента

Прогноз пациента в зависимости от типа С3ГП

Прогноз и перспективы в управлении течения пациентов

Чаще характерно медленное прогрессирование C3ГН. БПД проявляется остро (с прогрессирующей гломерулонефритом) у молодых пациентов, что увеличивает вероятность развития терминальной стадии хронической почечной недостаточности.

Схема 3. Анализ выживаемости почек методом кривой Каплана-Мейера в зависимости от типа С3Г5.

Image
Анализ выживаемости почек методом кривой Каплана-Мейера в зависимости от типа С3Г

Несмотря на применение нефропротективной и иммуносупрессивной терапии:

Image
first-block-icon-1

41% взрослых пациентов с БПД и 30,3% пациентов с С3ГН достигли диализ-потребной хронической почечной недостаточности в течение 10–12 лет.

Image
first-block-icon-2

Прогноз заболевания, начавшегося в детском возрасте, также тревожный — у 50% детей с БПД развилась диализ-потребная хроническая почечная недостаточность в течение 10 лет, при этом нефропротективная терапия, как правило, не уменьшает уровень протеинурии у детей.

Image
first-block-icon-3

После трансплантации возможны рецидивы и потеря аллотрансплантата, что отмечается в 50% случаев при БПД и в 75% случаев при C3ГН.

Image
first-block-icon-4

Частые рецидивы заставляют искать оптимальные стратегии лечения, учитывая высокие затраты на лечение и увеличение числа нетрудоспособных молодых людей в обществе5, 12. На текущий момент активно разрабатываются новые комплемент- блокирующие лекарственные препараты, что вселяет оптимизм в устойчивом достижении ремиссии при С3ГП.

С3ГП: вызовы для врача-нефролога и важность коллаборации специалистов здравоохранения

Тяжелый характер воспалительного поражения почек с разнообразной этиологией и серьезным прогнозом характеризует С3ГП.

Image
icon-1

Лечащему врачу важно корректно подтвердить диагноз (как морфологически, так и с помощью иммунофлюоресцентной микроскопии) и своевременно назначить релевантную терапию, так как С3ГП может быстро прогрессировать до тяжелой почечной недостаточности.

Image
icon-2

Улучшение диагностики для оптимизации лечения тесно связано с дальнейшим изучением механизмов развития этого заболевания.

Image
icon-3

Эффективная стратегия ведения пациентов с этими редкими и прогностически неблагоприятными заболеваниями зависит от тесной экспертной коллаборации между нефрологами, иммунологами, патологами и другими специалистами.

Image
icon-4

Исключительная редкость и сложность патологии C3ГП подчеркивают важность совместной работы и обмена экспертным опытом для своевременной диагностики и лечения пациентов15.

Список сокращений

C3ГП — C3-гломерулопатия;
БПД — болезнь плотных депозитов;
С3ГН — С3-гломерулонефрит;
тХБП — терминальная хроническая болезнь почек;
СД — сахарный диабет;
СКФ — скорость клубочковой фильтрации;
ИФА — иммуноферментный анализ;
ГБМ — гломерулярная базальная мембрана;
иАПФ — ингибитор ангиотензинпревращающего фермента;
БРА — блокатор рецепторов ангиотензина;
ММФ — микофенолат мофетила;
ГКС — глюкокортикостероид;
ЦФ — циклофосфамид;
СПБ — суточная потеря белка;
C3G — С3-гломерулопатия;
В/В — внутривенно;
MASP2 — 2-я маннан-связывающая лектин-серинпротеаза;
aHuS — атипичный гемолитико-уремический синдром;
C4BP — C4b-связывающий белок;
C5aR1 — 1-й рецептор комплемента C5a;
CD46 — кластер дифференциации 46;
CR1 — 1-й тип рецептора комплемента;
CR2 — 2-й тип рецептора комплемента;
DAF — фактор ускорения распада комплемента;
FH — фактор H;
MASP — маннан-связывающая лектин-серинпротеаза;
MBL — маннозосвязывающий лектин;
PNH — пароксизмальная ночная гемоглобинурия.


* Результаты клинических исследований оказались неоптимальными, и «Алексион» решил прекратить разработку ALXN2040
для лечения C3G.

Список литературы

  1. Smith RJH et al. Nat Rev Nephrol. 2019;15:129-143.
  2. Доступ по ссылке: https://rarediseases.org/rare-diseases/c3-glomerulopathy-dense-deposit-d... Дата последнего доступа: 14.12.2023.
  3. Caravaca-Fontán F, et al. Nephron 2020;144(6):272–80.
  4. Corvillo F, López-Trascasa M. Acquired partial lipodystrophy and C3 glomerulopathy: Dysregulation of the complement system as a common pathogenic mechanism. Nefrologia (Engl Ed). 2018 May-Jun;38(3):258-266. English, Spanish. doi: 10.1016/j.nefro.2017.10.002. Epub 2017 Dec 24. PMID: 29279276.
  5. Medjeral-Thomas et al. Clin J Am Soc Nephrol. 2014;9(1):46-53.
  6. Thomas S et al. Indian J Nephrol. 2014;24:339-48. 
  7. D'Agati VD, Bomback AS. Kidney Int. 2012;82:379-81.
  8. Barbour TD et al. Semin Nephrol 2013;33:493-507; микроснимки от Бэрбура и соавт.
  9. Ito N et al. Clin Exp Nephrol 2017;21:541–551.
  10. Sethi S et al. Kidney Int. 2009;75:952-960.
  11. Schena FP, et al. Int J Mol Sci. 2020;21(2):525.
  12. Захарова Е.В., Зыкова А.С. С3 гломерулопатия: путь от световой микроскопии до таргетной терапии. Нефрология и диализ.
2023. 25(3):345-359. doi: 10.28996/2618-9801-2023-3-345-359.
  13. Mastellos DC et al. Semin Hematol. 2018;55.
  14. Goodship TH et al. Kidney Int. 2017;91(3):539-551.
  15. Добронравов В.А., Смирнов А.В. Мембранопролиферативный гломерулонефрит в российской популяции // Терапевтический архив.
- 2018. - Т. 90. - №12. - C. 39-47. doi: 10.26442/00403660.2018.12.000007.
  16. Ravindran A et al. Mayo Clin Proc. 2018;93(8):991–1008.
  17. Viola A, Munari F, Sánchez-Rodríguez R, Scolaro T, Castegna A. The Metabolic Signature of Macrophage Responses. Front Immunol.
2019 Jul 3;10:1462. doi: 10.3389/fimmu.2019.01462. PMID: 31333642; PMCID: PMC6618143.
  18. Клинические рекомендации «Хроническая болезнь почек (ХБП)». Рубрикатор клинических рекомендаций. [Электронный ресурс].
URL: https://cr.minzdrav.gov.ru/recomend/469_2 Last accessed January 2024.
  19. Карунная А.В., Добронравов В.А. Ремиссии и прогрессирование С3-гломерулопатии. Терапевтический архив.2022;94(6):718–724.
  20. KDIGO. Kidney Int 2021;100:S1–S276.

Полезные материалы

IgA-нефропатия: о чем стоит помнить врачу-нефрологу?

Статья
20 минут

IgA-нефропатия: о чем стоит помнить врачу-нефрологу

Оптимизация ведения пациента с аГУС: есть ли перспективы таблетированных препаратов?

Статья
20 минут

Оптимизация ведения пациента с аГУС: есть ли перспективы таблетированных препаратов?

C3-гломерулопатия

Статья
2 минуты

C3-гломерулопатия

Статья
- 19 июн 2025
2 минуты

11376906/IPT/DIG/03.25/1

Вам также может быть интересно

Помогипочкам.рф

Сайт для пациентов о заболеваниях почек

Телеграм канал помогипочкам.рф

Путеводитель по редким заболеваниям почек для пациента