Image
Иммунная тромбоцитопения у взрослых

Иммунная тромбоцитопения у взрослых

  • Иммунная тромбоцитопения (ИТП) — приобретенное заболевание, опосредованное иммунными механизмами, которое встречается как у взрослых, так и у детей, и проявляется снижением уровня тромбоцитов <100 тыс/мкл.
  • Тромбоцитопения обусловлена выработкой антител к антигенам тромбоцитов.
  • ИТП относят к диагнозу исключения.
  • Большинство методов лечения направлено только на уменьшение разрушения тромбоцитов.
Image
Усиленное разрушение тромбоцитов

Эпидемиология ИТП

ИТП может встречаться у пациентов любых возрастных групп и пола3.

Image
Заболеваемость и распространенность ИТП у взрослых
Image
ИТП примерно в 1,5 раза чаще встречается у женщин

a Расчетное значение распространенности ИТП у взрослых широко варьирует в связи с отсутствием крупных эпидемиологических исследований надлежащего качества.

Заболеваемость ИТП в России

  • общая заболеваемость ИТП составляет 14 – 32 человек на 1 000 000 населения в год среди детей и взрослых;
  • ~50% — хроническое течение (чаще у взрослых);
  • 80% пациентов с хроническим течением имеют длительную ремиссию;
  • 20% пациентов имеют рецидивы;
  • хроническая ИТП входит в перечень орфанных заболеваний (МКБ D69.3).

Основное проявление ИТП — повышенная кровоточивость

Image
Легкие и умеренные кровотечения
Image
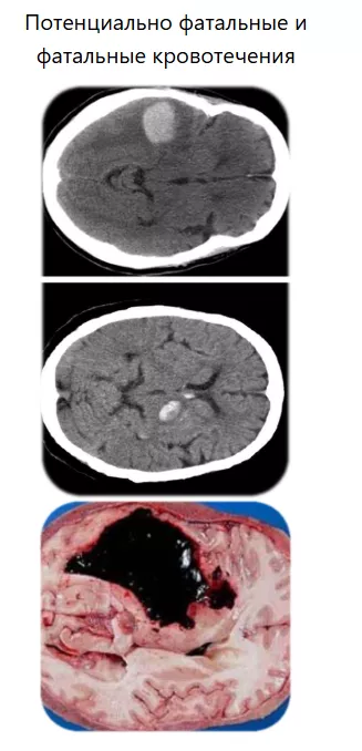
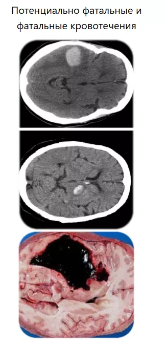
Потенциально фатальные и фатальные кровотечения

Риск кровотечений возрастает с уровня тромбоцитов менее 50 тыс/мкл8

Image
Шкала кровотечений ВОЗ

Клинические проявления ИТП

Image
Клинические проявления ИТП

У взрослых пациентов с ИТП повышена вероятность осложнений и смертельных исходов, по сравнению с общей популяцией, в особенности если не удается поддержать уровни тромбоцитов выше 30 x 109

Image
У взрослых пациентов с ИТП повышена вероятность осложнений и смертельных исходов

Современная терминология

Рекомендации Международной рабочей группы по стандартизации терминологии и критериев эффективности ИТП (International Working Group-ITP) разработали классификацию болезни.

ИТП определяется как:

  • Первичная: уровни тромбоцитов <100 x 109/л в отсутствие прочих причин или нарушений, которые могли бы привести к этому1.
  • Вторичная: ИТП в связи с прочими причинами, включая воздействие лекарственных средств или заболевания (например, вторичная ИТП на фоне вирусного гепатита C, СКВ или ВИЧ-инфекции)1,5.

Разграничение между первичной и вторичной ИТП важно, поскольку могут потребоваться различные подходы к лечению1.

Image
Фазы ИТП

СКВ — системная красная волчанка; ВИЧ — вирус иммунодефицита человека.

Вторичные тромбоцитопении

Image
Вторичные тромбоцитопении

ИТП — социально значимое заболевание

  • Качество жизни страдает сопоставимо с другими тяжелыми хроническими заболеваниями (ревматоидный артрит, сахарный диабет).
  • Общий риск летального исхода в 4 раза выше относительно общей популяции при длительно наблюдающейся тромбоцитопении (<30 тыс/мкл) в течение 2 лет после установления диагноза.
  • Летальность среди пациентов с ИТП после выполненной спленэктомии может достигать 15%.
  • При рефрактерной ИТП летальность за 10 лет болезни достигает 10%.

Три категории пациентов с ИТП

  • Пациенты, которые должны получать лечение:

    • активное кровотечение;

    или

    • количество тромбоцитов <10 x 109/л.
  • Пациенты, для которых показания к терапии зависят от клинической ситуации:

    • отсутствие кровотечений или склонность к умеренным кровотечениям;

    и

    • количество тромбоцитов 10 – 30 x 109/л.
  • Пациенты, которым назначается лечение в особых ситуациях (например, операция):

    • отсутствие кровотечений или склонностей к кровотечению;

    и

    • количество тромбоцитов >30 x 109/л.

Иммунная тромбоцитопения (ИТП): Дифференциальная диагностика тромбоцитопении

Диагноз ИТП — диагноз исключения

Image
Диагноз ИТП — диагноз исключения

* Гистологическое исследование костного мозга обязательно у больных старше 60 лет, при частых рецидивах, подозрении на другой диагноз и перед плановой спленэктомией (СЭ).

** У пациентов с отягощенным анамнезом и/или клиническими проявлениями гастрита, язвенной болезни желудка и 12-перстной кишки.

*** ПЦР герпес-вирусов — при подозрении на рецидив, латентную инфекцию или персистенцию вируса.

**** При наличии тромбозов в анамнезе или подозрении на тромбоцитопению потребления.

Image
Приобретенные тромбоцитопении вследствие повышенной деструкции тромбоцитов

Этапы диагностики при синдроме тромбоцитопении:

  • анамнез заболевания;
  • семейный анамнез;
  • физикальное обследование;
  • общий анализ крови с обязательным оптическим подсчетом числа тромбоцитов («глазами», по мазку, по Фонио), оценкой морфологии тромбоцитов (микроформы и гигантские тромбоциты);
  • дополнительные исследования.

Алгоритм диагностики тромбоцитопении, основанный на исследовании мазка периферической крови

Image
Алгоритм диагностики тромбоцитопении, основанный на исследовании мазка периферической крови

Задачи лечения ИТП

Основной задачей лечения ИТП является обеспечение безопасных уровней тромбоцитов при минимальной выраженности побочных эффектов.

Безопасный уровень тромбоцитов — уровень, позволяющий предотвратить кровотечения у конкретного пациента.

Задача лечения не состоит в нормализации уровней тромбоцитов

Image
Задачи лечения на различных этапах ИТП

Факторы, учитываемые в процессе принятия решения о лечении ИТП

  • наличие активных кровотечений;
  • уровень тромбоцитов;
  • возраст пациента;
  • коморбидность;
  • образ жизни пациента и связанный с ним риск кровотечений;
  • наличие дополнительных факторов риска кровотечений (например, уремии, хронических заболеваний печени);
  • предсказуемые нежелательные эффекты предлагаемого метода терапии;
  • предпочтения самих пациентов.

Терапию всегда следует подбирать индивидуально для конкретного пациента

До недавнего времени терапия была направлена на уменьшение разрушения тромбоцитов за счет влияния на иммунную систему.

С этой целью могут использоваться:

  • стероиды;
  • иммуноглобулины (в/в Ig) и анти-D Ig;
  • ритуксимаб;
  • иммуносупрессанты (даназол, азатиоприн, Циклоспорин А);
  • спленэктомия.

В настоящее время только агонисты рецепторов ТРО нацелены на увеличение продукции тромбоцитов:

  • ромиплостим;
  • элтромбопаг.

Лечение больных ИТП

Впервые выявленная

1 линия:

  • Кортикостероиды;
  • Иммуноглобулин в/в. 

2 линия:

  • Спленэктомия (редко).

Персистирующая

1 линия:

  • Кортикостероиды; 
  • Иммуноглобулин в/в. 

2 линия: 

  • Спленэктомия; 
  • Агонисты рецепторов тромбопоэтина (Ромиплостим и Элтромбопаг)

3 линия: 

  • Ритуксимаб.

Хроническая

1 линия:

  • Кортикостероиды; 
  • Иммуноглобулин в/в. 

2 линия: 

  • Спленэктомия; 
  • Агонисты рецепторов тромбопоэтина (Ромиплостим и Элтромбопаг)

3 линия: 

  • Ритуксимаб; 
  • Иммуносупрессивная терапия.

Стимуляторы рецепторов тромбопоэтина (ТПО-миметики, агонисты рецептора тромбопоэтина)

Тромбопоэтические агенты — усиливают продукцию тромбоцитов:

  • Связываются с рецептором ТПО и активируют его (стимуляторы ТПО).
  • Стимулируют продукцию тромбоцитов.
  • Не гомологичны молекуле эндогенного ТПО.

    • Элтромбопаг (Револейд, Novartis);
    • Ромиплостим (Энплейт, Amgen).

Новое поколение агонистов TPO-R

Image
Новое поколение агонистов TPO-R

Неиммуногенная молекула, стимулирующая продукцию тромбоцитов путем связывания с TPO-R на уровне одного из двух связывающих участков (сайтов)26:

  • TPO связывающий участок26,27;
    • Связывающий участок для пептидных миметиков TPO и антител к агонисту TPO. 
  • Трансмембранный домен TPO-R27.
    • Связывающий участок для орально биодоступных непептидных TPO-миметиков.
    • Дополняет нативный TPO, а не конкурирует с ним26.

Агонисты ТРО способны восстанавливать баланс тромбоцитов за счет увеличения их продукции.

Механизм действия ТПО-миметиков

Image
Механизм действия ТПО-миметиков

Обзор основных характеристик агонистов TPO-R

Image
Обзор основных характеристик агонистов TPO-R

Представлено на III Конгрессе Гематологов России, Prof Gregory Cheng, Апрель 2016, Москва

Список литературы

  1. Rodeghiero F et al. Blood. 2009;113(11):2386-2393;
  2. Stasi R et al. Thromb Haemost. 2008;99(1):4-13;
  3. Bennett D et al. Adv Ther. 2011;28(12):1096-1104;
  4. Terrell DR et al. Am J Hematol. 2010;85(3):174-180;
  5. Kistangari G, McCrae KR. Hematol Oncol Clin North Am. 2013;27(3):495-520;
  6. httр://www.еmedicine.com/emerg/TOPIC282.HTM;
  7. httр://www.mеdlinks.ru/article.php?sid=23252;
  8. Lacy et al, Semin Thromb Haemost 3, 160-4 (1977);
  9. Dorland's Illustrated Medical Dictionary. 32nd ed. Philadelphia, PA: Elsevier Saunders; 2012;
  10. Sarpatwari A et al. Haematologica. 2010;95(7):1167-1175;
  11. Stasi R, et al. Mayo Clin Proc 2004; 79: 504–22;
  12. British Committee for Standards in Haematology General Haematology Task Force. Br J Haematol 2003; 120: 574–96;
  13. Kumar M, et al. Am J Hematol 2005; 78: 181–7;
  14. Cines DB, et al. Blood 2005; 106: 2244–51;
  15. George JN, et al. Blood 1996; 88: 3–40;
  16. Cohen YC, et al. Arch Intern Med 2000; 160: 1630–8;
  17. Cines DB, et al. N Engl J Med 2002; 346(13): 995–1008;
  18. Национальные клинические рекомендации по диагностике и лечению идиопатической тромбоцитопенической пурпуры (первичной имунной тромбоцитопении) у взрослых, 2016;
  19. Cines DB, et al. Blood. 2009;113: 6511-6521;
  20. Benjamin Djulbegovic, Yael Cohen. Blood 20, 01;97:2549–2554;
  21. Tanaka E, Hayashi Sh, Fujimaki K et al. Blood (ASH Annual Meeting Abstracts) 2006; 108 (11): abstract 1077;
  22. Berchtold P., McMillan R. Blood 1989; 74:2309–17.9;
  23. Bourgeois E., et al. Br. J. Haematol. 2003;120:1079–88.10;
  24. McMillan R., Durette C. Blood 2004;104:956–60;
  25. EHRLICH ET AL. U.S. Food and Drug Administration approval summary: Eltrombopag for the treatment of pediatric patients with chronic immune (idiopathic)thrombocytopenia Pediatr Blood Cancer. 2017;e26657;
  26. Kuter DJ. Blood 2007; 109(11): 4607–16;
  27. Bussel JB, et al. N Engl J Med 2007; 357(22): 2237–47;
  28. Bussel J, et al. Lancet 2009; 373: 641–8
  29. Kuter DJ, et al. Lancet. 2008; 371:395-403
  30. Revolade summary of product characteristics, Nplate summary of product characteristics;
  31. Cheng G, et al. Lancet 2011; 377: 393–402;
  32. Erratum in Lancet 2011; 377: 382;
  33. Saleh M et al. Poster at the 53rd Annual Meeting of the American Society of Hematology, San Diego, USA, December 10–13, 2011;
  34. Kuter DJ, et al. N Engl J Med 2010; 363: 1889-99;
  35. Bussel J, Blood Vol 113, 2009, p 2161-2171;

11213603/REV/WEB/07.24/0


Теги